Skip to main content

c-jun [p Ser63] Antibody (SY0297)

Novus Biologicals, part of Bio-Techne | Catalog # NBP2-67471

Recombinant Monoclonal Antibody.
Novus Biologicals, part of Bio-Techne
Catalog #
Availability
Size / Price
Qty
Loading...
NBP2-67471

Key Product Details

Validated by

Biological Validation

Species Reactivity

Validated:

Human, Mouse, Rat

Cited:

Mouse

Applications

Validated:

Immunohistochemistry, Immunohistochemistry-Paraffin, Western Blot, Immunocytochemistry/ Immunofluorescence

Cited:

IF/IHC

Label

Unconjugated

Antibody Source

Recombinant Monoclonal Rabbit IgG Clone # SY0297 expressed in HEK293

Concentration

1 mg/ml

Product Specifications

Immunogen

Synthetic phospho-peptide corresponding to residues surrounding c-jun aa 31-80 / 331. (SwissProt: P05412 Human; SwissProt: P05627 Mouse; SwissProt: P17325 Rat)

Modification

p Ser63

Localization

Nucleus.

Clonality

Monoclonal

Host

Rabbit

Isotype

IgG

Description

Novus Biologicals Rabbit c-jun [p Ser63] Antibody (SY0297) (NBP2-67471) is a recombinant monoclonal antibody validated for use in IHC, WB and ICC/IF. Anti-c-jun Antibody: Cited in 1 publication. All Novus Biologicals antibodies are covered by our 100% guarantee.

Scientific Data Images for c-jun [p Ser63] Antibody (SY0297)

Western Blot: c-jun [p Ser63] Antibody (SY0297) [NBP2-67471] - Analysis of c-Jun [p Ser63] (whole cell lysate, 10 ug /lane. Lane 2: NIH/3T3 cells were treated with 250 ng/ml anisomycin for 30 minutes, whole cell lysates, 10 ug/lane. Proteins were transferred to a PVDF membrane and blocked with 5% BSA in PBS for 1 hour at room temperature. The primary antibody Anti-c-Jun [p Ser63] (1/500) , Anti-c-Jun antibody (1/2000) and Anti-GAPDH antibody (1/10,000)was used in 5% BSA at room temperature for 2 hours. Goat Anti-Rabbit IgG H&L (HRP) Secondary Antibody at 1:200,000 dilution was used for 1 hour at room temperature. Predicted band size: 36 kDa Observed band size: 40 kDa Exposure time: 3 minutes 43 seconds
Immunocytochemistry/Immunofluorescence: c-jun [p Ser63] Antibody (SY0297) [NBP2-67471] - Staining Phospho-c-Jun(S63) in PC-3M cells (green). The nuclear counter stain is DAPI (blue). Cells were fixed in paraformaldehyde, permeabilised with 0.25% Triton X100/PBS.
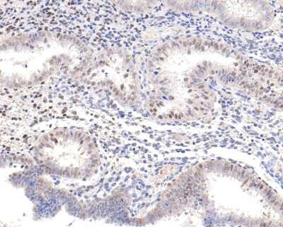
Immunohistochemistry-Paraffin: c-jun [p Ser63] Antibody (SY0297) [NBP2-67471] - Analysis of paraffin-embedded human endometrial tissue with Rabbit anti-c-jun [p Ser63] antibody washed with ddH2O and PBS, and then probed with the primary antibody at 1/500 dilution for 1 hour at room temperature. The detection was performed using an HRP conjugated compact polymer system. DAB was used as the chromogen. Tissues were counterstained with hematoxylin and mounted with DPX.

Applications for c-jun [p Ser63] Antibody (SY0297)

Application
Recommended Usage

Immunocytochemistry/ Immunofluorescence

1:50-1:200

Immunohistochemistry-Paraffin

1:50-1:500

Western Blot

1:500-1:2000

Reviewed Applications

Read 1 review rated 5 using NBP2-67471 in the following applications:

Formulation, Preparation, and Storage

Purification

Protein A purified

Formulation

TBS (pH7.4), 0.05% BSA, 40% Glycerol

Preservative

0.05% Sodium Azide

Concentration

1 mg/ml

Shipping

The product is shipped with polar packs. Upon receipt, store it immediately at the temperature recommended below.

Stability & Storage

Store at 4C short term. Aliquot and store at -20C long term. Avoid freeze-thaw cycles.

Background: c-Jun

The human protooncogene JUN is the putative transforming gene of avian sarcoma virus 17, and it encodes a protein which is highly homologous to the viral protein. cJun (previously known as the Fos binding protein p39) and c Fos form a complex in the nucleus. AP 1 (activating protein 1) is a collective term referring to these dimeric transcription factors composed of Jun, Fos or ATF subunits that bind to a common DNA site, the AP1 binding site. AP 1 proteins, mostly the Jun group, regulate the expression and function of cell cycle regulators such as Cyclin D1, p53, p21 (cip1/waf1), p19 (ARF) and p16. Fos and Jun proto oncogene expression is induced transiently by a variety of extracellular stimuli associated with mitogenesis, differentiation processes or depolarization of neurons. JUN has been mapped to 1p32 to p31, a chromosomal region involved in both translocations and deletions in human malignancies.

Long Name

Cellular Repressor of E1A-stimulated Genes/Transcription Factor AP-1

Alternate Names

cJun, JUN

Gene Symbol

JUN

Additional c-Jun Products

Product Documents for c-jun [p Ser63] Antibody (SY0297)

Certificate of Analysis

To download a Certificate of Analysis, please enter a lot number in the search box below.

Product Specific Notices for c-jun [p Ser63] Antibody (SY0297)

This product is for research use only and is not approved for use in humans or in clinical diagnosis. Primary Antibodies are guaranteed for 1 year from date of receipt.

Loading...
Loading...
Loading...
Loading...