Skip to main content

c-Abl Antibody

Novus Biologicals, part of Bio-Techne | Catalog # NBP2-15631

Novus Biologicals, part of Bio-Techne
Catalog #
Availability
Size / Price
Qty
Loading...
NBP2-15631

Key Product Details

Species Reactivity

Human

Applications

Immunohistochemistry, Immunohistochemistry-Paraffin, Western Blot, Immunocytochemistry/ Immunofluorescence

Label

Unconjugated

Antibody Source

Polyclonal Rabbit IgG

Concentration

Concentrations vary lot to lot. See vial label for concentration. If unlisted please contact technical services.

Product Specifications

Immunogen

Recombinant protein encompassing a sequence within the C-terminus region of human c-Abl. The exact sequence is proprietary.

Reactivity Notes

Immunogen displays the following percentage of sequence identity for non-tested species: Mouse (83%), Rat (84%).

Localization

Cytoplasm; cytoskeleton; Nucleus

Clonality

Polyclonal

Host

Rabbit

Isotype

IgG

Theoretical MW

123 kDa.
Disclaimer note: The observed molecular weight of the protein may vary from the listed predicted molecular weight due to post translational modifications, post translation cleavages, relative charges, and other experimental factors.

Description

Novus Biologicals Rabbit c-Abl Antibody (NBP2-15631) is a polyclonal antibody validated for use in IHC, WB and ICC/IF. All Novus Biologicals antibodies are covered by our 100% guarantee.

Scientific Data Images for c-Abl Antibody

Western Blot: c-Abl Antibody [NBP2-15631]

Western Blot: c-Abl Antibody [NBP2-15631]

Western Blot: c-Abl Antibody [NBP2-15631] - Various whole cell extracts (30 ug) were separated by 5% SDS-PAGE, and the membrane was blotted with c-Abl antibody diluted at 1:1000. The HRP-conjugated anti-rabbit IgG antibody (NBP2-19301) was used to detect the primary antibody.
Immunocytochemistry/ Immunofluorescence: c-Abl Antibody [NBP2-15631]

Immunocytochemistry/ Immunofluorescence: c-Abl Antibody [NBP2-15631]

Immunocytochemistry/Immunofluorescence: c-Abl Antibody [NBP2-15631] - HeLa cells were fixed in 4% paraformaldehyde at RT for 15 min. Green: c-Abl protein stained by c-Abl antibody diluted at 1:100. Blue: Hoechst 33342 staining. Scale bar = 10 um.
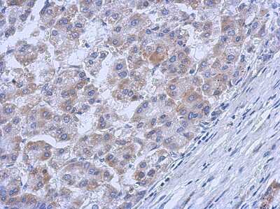
Immunohistochemistry-Paraffin: c-Abl Antibody [NBP2-15631]

Immunohistochemistry-Paraffin: c-Abl Antibody [NBP2-15631]

Immunohistochemistry-Paraffin: c-Abl Antibody [NBP2-15631] - Human hepatoma, using c-Abl antibody at 1:500 dilution. Antigen Retrieval: Trilogy™ (EDTA based, pH 8.0) buffer, 15min.

Applications for c-Abl Antibody

Application
Recommended Usage

Immunocytochemistry/ Immunofluorescence

1:100-1:1000

Immunohistochemistry

1:100-1:1000

Immunohistochemistry-Paraffin

1:100-1:1000

Western Blot

1:500-1:3000

Formulation, Preparation, and Storage

Purification

Antigen Affinity-purified

Formulation

PBS, 1% BSA, 20% Glycerol

Preservative

0.01% Thimerosal

Concentration

Concentrations vary lot to lot. See vial label for concentration. If unlisted please contact technical services.

Shipping

The product is shipped with polar packs. Upon receipt, store it immediately at the temperature recommended below.

Stability & Storage

Aliquot and store at -20C or -80C. Avoid freeze-thaw cycles.

Background: c-Abl

The ABL1 protooncogene encodes a cytoplasmic and nuclear protein tyrosine kinase that has been implicated in processes of cell differentiation, cell division, cell adhesion, and stress response. Activity of c-Abl protein is negatively regulated by its SH3 domain, and deletion of the SH3 domain turns ABL1 into an oncogene. The t(9;22) translocation results in the head-to-tail fusion of the BCR (MIM:151410) and ABL1 genes present in many cases of chronic myelogeneous leukemia. The DNA-binding activity of the ubiquitously expressed ABL1 tyrosine kinase is regulated by CDC2-mediated phosphorylation, suggesting a cell cycle function for ABL1. The ABL1 gene is expressed as either a 6- or 7-kb mRNA transcript, with alternatively spliced first exons spliced to the common exons 2-11. [provided by RefSeq]

Long Name

Abelson Murine Leukemia Viral Oncogene Homolog 1

Alternate Names

ABL1, BCR-ABL1, bcr/abl, cAbl, JTK7

Gene Symbol

ABL1

UniProt

Additional c-Abl Products

Product Documents for c-Abl Antibody

Certificate of Analysis

To download a Certificate of Analysis, please enter a lot number in the search box below.

Product Specific Notices for c-Abl Antibody

This product is for research use only and is not approved for use in humans or in clinical diagnosis. Primary Antibodies are guaranteed for 1 year from date of receipt.

Loading...
Loading...
Loading...
Loading...

⚠ WARNING: This product can expose you to chemicals including mercury, which is known to the State of California to cause reproductive toxicity with developmental effects.  For more information go to www.P65Warnings.ca.gov.