Skip to main content

BTN1A1/Butyrophilin Antibody (OTI7B5) - Azide and BSA Free

Novus Biologicals, part of Bio-Techne | Catalog # NBP2-70299

Novus Biologicals, part of Bio-Techne
Catalog #
Availability
Size / Price
Qty
Loading...
NBP2-70299

Key Product Details

Species Reactivity

Human, Canine

Applications

Immunohistochemistry, Immunohistochemistry-Paraffin, Western Blot, Flow Cytometry, Immunocytochemistry/ Immunofluorescence, CyTOF-ready

Label

Unconjugated

Antibody Source

Monoclonal Mouse IgG2A Clone # OTI7B5

Format

Azide and BSA Free

Concentration

LYOPH mg/ml

Product Specifications

Immunogen

Full length human recombinant protein of human BTN1A1 (NP_001723) produced in HEK293T cell.

Clonality

Monoclonal

Host

Mouse

Isotype

IgG2A

Theoretical MW

58.8 kDa.
Disclaimer note: The observed molecular weight of the protein may vary from the listed predicted molecular weight due to post translational modifications, post translation cleavages, relative charges, and other experimental factors.

Description

Novus Biologicals Mouse BTN1A1/Butyrophilin Antibody (OTI7B5) - Azide and BSA Free (NBP2-02864) is a monoclonal antibody validated for use in IHC, WB, Flow and ICC/IF. All Novus Biologicals antibodies are covered by our 100% guarantee.

Scientific Data Images for BTN1A1/Butyrophilin Antibody (OTI7B5) - Azide and BSA Free

Western Blot: BTN1A1/Butyrophilin Antibody (OTI7B5)Azide and BSA Free [NBP2-70299]

Western Blot: BTN1A1/Butyrophilin Antibody (OTI7B5)Azide and BSA Free [NBP2-70299]

Western Blot: BTN1A1/Butyrophilin Antibody (OTI7B5) - Azide and BSA Free [NBP2-70299] - HEK293T cells were transfected with the pCMV6-ENTRY control (Left lane) or pCMV6-ENTRY BTN1A1 (Right lane) cDNA for 48 hrs and lysed. Equivalent amounts of cell lysates (5 ug per lane) were separated by SDS-PAGE and immunoblotted with anti-BTN1A1.
Immunocytochemistry/ Immunofluorescence: BTN1A1/Butyrophilin Antibody (OTI7B5) - Azide and BSA Free [NBP2-70299]

Immunocytochemistry/ Immunofluorescence: BTN1A1/Butyrophilin Antibody (OTI7B5) - Azide and BSA Free [NBP2-70299]

Immunocytochemistry/Immunofluorescence: BTN1A1/Butyrophilin Antibody (OTI7B5) - Azide and BSA Free [NBP2-70299] - Staining of COS7 cells transiently transfected by pCMV6-ENTRY BTN1A1.
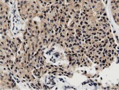
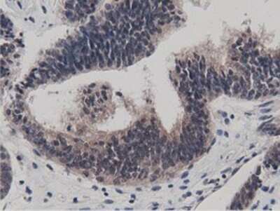
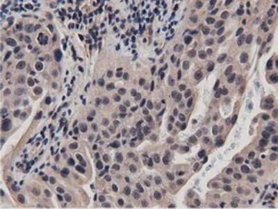
Immunohistochemistry: BTN1A1/Butyrophilin Antibody (OTI7B5) - Azide and BSA Free [NBP2-70299]

Immunohistochemistry: BTN1A1/Butyrophilin Antibody (OTI7B5) - Azide and BSA Free [NBP2-70299]

Immunohistochemistry: BTN1A1/Butyrophilin Antibody (OTI7B5) - Azide and BSA Free [NBP2-70299] - Staining of paraffin-embedded Human colon tissue using anti-BTN1A1 mouse monoclonal antibody.

Applications for BTN1A1/Butyrophilin Antibody (OTI7B5) - Azide and BSA Free

Application
Recommended Usage

Flow Cytometry

1:100

Immunocytochemistry/ Immunofluorescence

1:100

Immunohistochemistry

1:150

Western Blot

1:200-500

Formulation, Preparation, and Storage

Purification

Immunogen affinity purified

Reconstitution

we recommend adding 100uL distilled water to a final antibody concentration of about 1 mg/mL. To use this carrier-free antibody for conjugation experiment, we strongly recommend performing another round of desalting process.

Formulation

Lyophilized from PBS (pH 7.3) with 8% Trehalose

Format

Azide and BSA Free

Preservative

No Preservative

Concentration

LYOPH mg/ml

Shipping

The product is shipped with polar packs. Upon receipt, store it immediately at the temperature recommended below.

Stability & Storage

Store at -20C. Avoid freeze-thaw cycles.

Background: BTN1A1/Butyrophilin

Butyrophilin is the major protein associated with fat droplets in the milk. It is a member of the immunoglobulin superfamily. It may have a cell surface receptor function. The human butyrophilin gene is localized in the major histocompatibility complex (MHC) class I region of 6p and may have arisen relatively recently in evolution by the shuffling of exons between 2 ancestral gene families [provided by RefSeq]

Alternate Names

BTN, BTN1A1

Gene Symbol

BTN1A1

Additional BTN1A1/Butyrophilin Products

Product Documents for BTN1A1/Butyrophilin Antibody (OTI7B5) - Azide and BSA Free

Certificate of Analysis

To download a Certificate of Analysis, please enter a lot number in the search box below.

Product Specific Notices for BTN1A1/Butyrophilin Antibody (OTI7B5) - Azide and BSA Free

This product is for research use only and is not approved for use in humans or in clinical diagnosis. Primary Antibodies are guaranteed for 1 year from date of receipt.

Loading...
Loading...
Loading...
Loading...
Loading...
Loading...