Skip to main content

BNIP3 Antibody (JA71-10)

Novus Biologicals, part of Bio-Techne | Catalog # NBP2-67192

Recombinant Monoclonal Antibody.
Novus Biologicals, part of Bio-Techne
Catalog #
Availability
Size / Price
Qty
Loading...
NBP2-67192

Key Product Details

Species Reactivity

Human, Mouse, Rat

Applications

Immunohistochemistry, Immunohistochemistry-Paraffin, Western Blot, Immunocytochemistry/ Immunofluorescence

Label

Unconjugated

Antibody Source

Recombinant Monoclonal Rabbit IgG Clone # JA71-10 expressed in HEK293

Concentration

1 mg/ml

Product Specifications

Immunogen

Synthetic peptide within human BNIP3 aa 90-130. (SwissProt: Q12983 Human; SwissProt: O55003 Mouse; Entrez Gene:84480 Rat)

Localization

Membrane, Mitochondrion, Mitochondrion outer membrane.

Clonality

Monoclonal

Host

Rabbit

Isotype

IgG

Description

Novus Biologicals Rabbit BNIP3 Antibody (JA71-10) (NBP2-67192) is a recombinant monoclonal antibody validated for use in IHC, WB and ICC/IF. All Novus Biologicals antibodies are covered by our 100% guarantee.

Scientific Data Images for BNIP3 Antibody (JA71-10)

Western Blot: BNIP3 Antibody (JA71-10) [NBP2-67192]

Western Blot: BNIP3 Antibody (JA71-10) [NBP2-67192]

Western Blot: BNIP3 Antibody (JA71-10) [NBP2-67192] - Analysis of BNIP3 on mouse kidney tissue lysates. Proteins were transferred to a PVDF membrane and blocked with 5% BSA in PBS for 1 hour at room temperature. The primary antibody (1/500) was used in 5% BSA at room temperature for 2 hours. Goat Anti-Rabbit IgG - HRP Secondary Antibody at 1:5,000 dilution was used for 1 hour at room temperature.
Immunocytochemistry/ Immunofluorescence: BNIP3 Antibody (JA71-10) [NBP2-67192]

Immunocytochemistry/ Immunofluorescence: BNIP3 Antibody (JA71-10) [NBP2-67192]

Immunocytochemistry/Immunofluorescence: BNIP3 Antibody (JA71-10) [NBP2-67192] - Staining BNIP3 in NIH-3T3 cells (green). The nuclear counter stain is DAPI (blue). Cells were fixed in paraformaldehyde, permeabilised with 0.25% Triton X100/PBS.
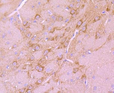
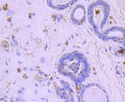
Immunohistochemistry-Paraffin: BNIP3 Antibody (JA71-10) [NBP2-67192]

Immunohistochemistry-Paraffin: BNIP3 Antibody (JA71-10) [NBP2-67192]

Immunohistochemistry-Paraffin: BNIP3 Antibody (JA71-10) [NBP2-67192] - Analysis of paraffin-embedded mouse brain tissue using anti-BNIP3 antibody. Counter stained with hematoxylin.

Applications for BNIP3 Antibody (JA71-10)

Application
Recommended Usage

Immunocytochemistry/ Immunofluorescence

1:50-1:200

Immunohistochemistry-Paraffin

1:50-1:200

Western Blot

1:500-1:1000

Formulation, Preparation, and Storage

Purification

Protein A purified

Formulation

TBS (pH7.4), 0.05% BSA, 40% Glycerol

Preservative

0.05% Sodium Azide

Concentration

1 mg/ml

Shipping

The product is shipped with polar packs. Upon receipt, store it immediately at the temperature recommended below.

Stability & Storage

Store at 4C short term. Aliquot and store at -20C long term. Avoid freeze-thaw cycles.

Background: BNIP3

BCL2/adenovirus E1B 19kD protein-interacting protein 3 (BNIP3) is a mitochondrial protein critical for apoptotic events in response to adenovirus infection. It has been implicated in causing a necrotic-like cell death pattern in cells, induced by CD47. This effect has been seen in many cancer cells, and its mis-regulation causes tumor cells to be impervious to normal autophagic events. The tumor suppressor p53 represses the expression of BNIP3, often as a consequence of hypoxic micro-environments as seen in tumors. When BNIP3 is correctly expressed and activated, it translocates to the mitochondria and instigates apoptosis.

Long Name

BCL2/Adenovirus E1B 19 Kda Protein-Interacting Protein 3-Like

Alternate Names

Nip3

Gene Symbol

BNIP3

Additional BNIP3 Products

Product Documents for BNIP3 Antibody (JA71-10)

Certificate of Analysis

To download a Certificate of Analysis, please enter a lot number in the search box below.

Product Specific Notices for BNIP3 Antibody (JA71-10)

This product is for research use only and is not approved for use in humans or in clinical diagnosis. Primary Antibodies are guaranteed for 1 year from date of receipt.

Loading...
Loading...
Loading...
Loading...