Skip to main content

BMP-3 Antibody - BSA Free

Novus Biologicals, part of Bio-Techne | Catalog # NBP2-92799

Novus Biologicals, part of Bio-Techne
Catalog #
Availability
Size / Price
Qty
Loading...
NBP2-92799-0.02ml
NBP2-92799-0.1ml

Key Product Details

Species Reactivity

Human, Mouse, Rat

Applications

Immunohistochemistry, Immunohistochemistry-Paraffin, Western Blot, ELISA

Label

Unconjugated

Antibody Source

Polyclonal Rabbit IgG

Format

BSA Free

Concentration

Please see the vial label for concentration. If unlisted please contact technical services.

Product Specifications

Immunogen

Recombinant fusion protein containing a sequence corresponding to amino acids 243-472 of human BMP3 (NP_001192.2). YANDAAISEPESVVSSLQGHRNFPTGTVPKWDSHIRAALSIERRKKRSTGVLLPLQNNELPGAEYQYKKDEVWEERKPYKTLQAQAPEKSKNKKKQRKGPHRKSQTLQFDEQTLKKARRKQWIEPRNCARRYLKVDFADIGWSEWIISPKSFDAYYCSGACQFPMPKSLKPSNHATIQSIVRAVGVVPGIPEPCCVPEKMSSLSILFFDENKNVVLKVYPNMTVESCACR

Clonality

Polyclonal

Host

Rabbit

Isotype

IgG

Theoretical MW

53 kDa.
Disclaimer note: The observed molecular weight of the protein may vary from the listed predicted molecular weight due to post translational modifications, post translation cleavages, relative charges, and other experimental factors.

Description

Novus Biologicals Rabbit BMP-3 Antibody - BSA Free (NBP2-92799) is a polyclonal antibody validated for use in IHC and WB. All Novus Biologicals antibodies are covered by our 100% guarantee.

Scientific Data Images for BMP-3 Antibody - BSA Free

Western Blot: BMP-3 AntibodyBSA Free [NBP2-92799]

Western Blot: BMP-3 AntibodyBSA Free [NBP2-92799]

Western Blot: BMP-3 Antibody [NBP2-92799] - Analysis of extracts of various cell lines, using BMP-3 at 1:1000 dilution.Secondary antibody: HRP Goat Anti-Rabbit IgG (H+L) at 1:10000 dilution.Lysates/proteins: 25ug per lane.Blocking buffer: 3% nonfat dry milk in TBST.Detection: ECL Basic Kit .Exposure time: 60s.
Immunohistochemistry-Paraffin: BMP-3 Antibody - BSA Free [NBP2-92799]

Immunohistochemistry-Paraffin: BMP-3 Antibody - BSA Free [NBP2-92799]

Immunohistochemistry-Paraffin: BMP-3 Antibody [NBP2-92799] - Paraffin-embedded rat kidney using BMP-3 .
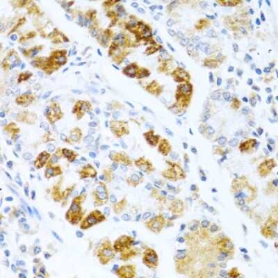
Immunohistochemistry-Paraffin: BMP-3 Antibody - BSA Free [NBP2-92799]

Immunohistochemistry-Paraffin: BMP-3 Antibody - BSA Free [NBP2-92799]

Immunohistochemistry-Paraffin: BMP-3 Antibody [NBP2-92799] - Paraffin-embedded human stomach using BMP-3 .

Applications for BMP-3 Antibody - BSA Free

Application
Recommended Usage

ELISA

Recommended starting concentration is 1 μg/mL.

Immunohistochemistry

1:100-1:200

Western Blot

1:500-1:2000

Formulation, Preparation, and Storage

Purification

Affinity purified

Formulation

PBS (pH 7.3), 50% glycerol

Format

BSA Free

Preservative

0.02% Sodium Azide

Concentration

Please see the vial label for concentration. If unlisted please contact technical services.

Shipping

The product is shipped with polar packs. Upon receipt, store it immediately at the temperature recommended below.

Stability & Storage

Store at -20C. Avoid freeze-thaw cycles.

Background: BMP-3

Bone morphogenetic protein 3 (BMP3) is a 472 amino acid member of the bone morphogenetic protein (BMP) family. BMP3 negatively regulates bone density and is a member of the TGF beta superfamily. It is highly expressed in fracture tissue, predominantly in osteoblasts, osteoclasts and chondroblasts. It may play a role in otosclerosis, osteosarcoma, osteogenesis imperfecta, osteomalacia and periodontitis.

Long Name

Bone Morphogenetic Protein 3

Alternate Names

BMP3, Osteogenin

Gene Symbol

BMP3

Additional BMP-3 Products

Product Documents for BMP-3 Antibody - BSA Free

Certificate of Analysis

To download a Certificate of Analysis, please enter a lot number in the search box below.

Product Specific Notices for BMP-3 Antibody - BSA Free

This product is for research use only and is not approved for use in humans or in clinical diagnosis. Primary Antibodies are guaranteed for 1 year from date of receipt.

Loading...
Loading...
Loading...
Loading...