Skip to main content

Key Product Details

Species Reactivity

Multi-Species

Applications

Immunohistochemistry, Western Blot, Flow Cytometry, Immunocytochemistry, Simple Western

Label

Unconjugated

Antibody Source

Recombinant Monoclonal Rabbit IgG Clone # 2758A

Product Specifications

Immunogen

Biotin compound

Specificity

Detects Biotin in direct ELISAs.

Clonality

Monoclonal

Host

Rabbit

Isotype

IgG

Scientific Data Images for Biotin Antibody

Detection of Human Biotin by Western Blot.

Western blot shows recombinant Human VEGF 165 aa1-191/Avitag, biotinylated via BirA (AVI293). PVDF membrane was probed with 2 µg/mL of Rabbit Anti-Biotin Monoclonal Antibody (Catalog # MAB10915) followed by HRP-conjugated Anti-Rabbit IgG Secondary Antibody (HAF008). Specific bands were detected for Biotin at approximately various kDa (as indicated). This experiment was conducted under reducing conditions.

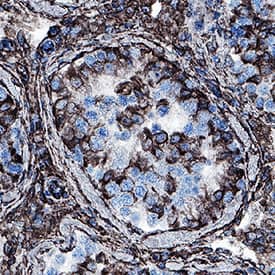
Detection of Biotin in Human Testis.

Biotin was detected in immersion fixed paraffin-embedded sections of human testis using Rabbit Anti-Biotin Monoclonal Antibody (Catalog # MAB10915) at 3 µg/mL for 1 hour at room temperature followed by incubation with the Anti-Rabbit IgG VisUCyte™ HRP Polymer Antibody (Catalog # VC003). Before incubation with the primary antibody, tissue was subjected to heat-induced epitope retrieval using Antigen Retrieval Reagent-Basic (Catalog # CTS013). Tissue was stained using DAB (brown) and counterstained with hematoxylin (blue). Specific staining was localized to cytoplasm in Vimentin stained cells. View our protocol for IHC Staining with VisUCyte HRP Polymer Detection Reagents.

Detection of Mouse Biotin by Simple WesternTM.

Simple Western lane view shows lysates of biotinylated mouse IgG, loaded at 0.2 mg/mL. Specific bands were detected for Biotin at various kDa (as indicated) using 20 µg/mL of Rabbit Anti-Biotin Monoclonal Antibody (Catalog # MAB10915) . This experiment was conducted under reducing conditions and using the 12-230 kDa separation system.

Applications for Biotin Antibody

Application
Recommended Usage

Flow Cytometry

0.25 µg/106 cells
Sample: Human PBMC stained with biotinylated antibody

Immunocytochemistry

1-8 µg/mL
Sample: Immersion fixed HeLa cells

Immunohistochemistry

1-3 µg/mL
Sample: Immersion fixed paraffin-embedded sections of human testis

Simple Western

20 µg/mL
Sample: Biotinylated mouse IgG

Western Blot

2 µg/mL
Sample: Recombinant Human VEGF 165 aa1-191/Avitag, biotinylated via BirA

Reviewed Applications

Read 1 review rated 5 using MAB10915 in the following applications:

Formulation, Preparation, and Storage

Purification

Protein A or G purified from cell culture supernatant

Reconstitution

Reconstitute at 0.5 mg/mL in sterile PBS. For liquid material, refer to CoA for concentration.

Formulation

Lyophilized from a 0.2 μm filtered solution in PBS with Trehalose. *Small pack size (SP) is supplied either lyophilized or as a 0.2 µm filtered solution in PBS.

Shipping

Lyophilized product is shipped at ambient temperature. Liquid small pack size (-SP) is shipped with polar packs. Upon receipt, store immediately at the temperature recommended below.

Stability & Storage

Use a manual defrost freezer and avoid repeated freeze-thaw cycles.
  • 12 months from date of receipt, -20 to -70 °C as supplied.
  • 1 month, 2 to 8 °C under sterile conditions after reconstitution.
  • 6 months, -20 to -70 °C under sterile conditions after reconstitution.

Background: Biotin

Biotin is a water soluble vitamin, generally classified as a B complex vitamin, also called vitamin B4. After the initial discovery of biotin, nearly forty years of research were required to establish it as a vitamin. Biotin is required by all organisms but can only be synthesized by bacteria, yeasts, molds, algae, and some plant species. Biotin is required as prosthetic group of enzymes involved in incorporation of carbon dioxide into organic compounds. Biotin has a MW of 244 Da.

Long Name

Biotin

Alternate Names

Vitamin B4

Additional Biotin Products

Product Documents for Biotin Antibody

Certificate of Analysis

To download a Certificate of Analysis, please enter a lot number in the search box below.

Note: Certificate of Analysis not available for kit components.

Product Specific Notices for Biotin Antibody

For research use only

Loading...
Loading...
Loading...
Loading...
Loading...