Skip to main content

beta-III Tubulin Antibody (S02-4G7)

Novus Biologicals, part of Bio-Techne | Catalog # NBP3-19582

Recombinant Monoclonal Antibody
Novus Biologicals, part of Bio-Techne
Catalog #
Availability
Size / Price
Qty
Loading...
NBP3-19582-50ul
NBP3-19582-100ul

Key Product Details

Species Reactivity

Human, Mouse, Rat

Applications

Immunohistochemistry, Immunohistochemistry-Paraffin, Western Blot, Immunocytochemistry/ Immunofluorescence

Label

Unconjugated

Antibody Source

Recombinant Monoclonal Rabbit IgG Clone # S02-4G7 expressed in HEK293

Concentration

0.3 mg/ml

Product Specifications

Immunogen

A synthetic peptide of human beta-III Tubulin (Uniprot # Q13509)

Clonality

Monoclonal

Host

Rabbit

Isotype

IgG

Theoretical MW

50 kDa.
Disclaimer note: The observed molecular weight of the protein may vary from the listed predicted molecular weight due to post translational modifications, post translation cleavages, relative charges, and other experimental factors.

Description

Novus Biologicals Rabbit beta-III Tubulin Antibody (S02-4G7) (NBP3-19582) is a recombinant monoclonal antibody validated for use in IHC, WB and ICC/IF. All Novus Biologicals antibodies are covered by our 100% guarantee.

Scientific Data Images for beta-III Tubulin Antibody (S02-4G7)

Western Blot: beta-III Tubulin Antibody (S02-4G7) [NBP3-19582]

Western Blot: beta-III Tubulin Antibody (S02-4G7) [NBP3-19582]

Western Blot: beta-III Tubulin Antibody (S02-4G7) [NBP3-19582] - Western blot detection of beta-III Tubulin in Rat Brain, Hela cell lysates using NBP3-19582 (1:1000 diluted). Predicted band size: 50kDa. Observed band size: 50kDa.
Immunocytochemistry/ Immunofluorescence: beta-III Tubulin Antibody (S02-4G7) [NBP3-19582]

Immunocytochemistry/ Immunofluorescence: beta-III Tubulin Antibody (S02-4G7) [NBP3-19582]

Immunocytochemistry/Immunofluorescence: beta-III Tubulin Antibody (S02-4G7) [NBP3-19582] - Immunofluorescence of beta-III Tubulin (green) in Hela using NBP3-19582 at dilution 1/5, and DAPI (blue)
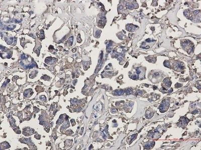
Immunohistochemistry-Paraffin: beta-III Tubulin Antibody (S02-4G7) [NBP3-19582]

Immunohistochemistry-Paraffin: beta-III Tubulin Antibody (S02-4G7) [NBP3-19582]

Immunohistochemistry-Paraffin: beta-III Tubulin Antibody (S02-4G7) [NBP3-19582] - Immunohistochemistry of beta-III Tubulin in paraffin-embedded Human Cholangiocarcinoma using NBP3-19582 at dilution 1/50

Applications for beta-III Tubulin Antibody (S02-4G7)

Application
Recommended Usage

Immunocytochemistry/ Immunofluorescence

1/20

Immunohistochemistry

1/50

Western Blot

1/5000

Formulation, Preparation, and Storage

Purification

Affinity purified

Formulation

50mM Tris-Glycine(pH 7.4), 0.15M NaCl, 40% Glycerol, 0.05% BSA

Preservative

0.02% Sodium Azide

Concentration

0.3 mg/ml

Shipping

The product is shipped with polar packs. Upon receipt, store it immediately at the temperature recommended below.

Stability & Storage

Store at 4C short term. Aliquot and store at -20C long term. Avoid freeze-thaw cycles.

Background: beta-III Tubulin

Beta-III Tubulin is abundant in the central and peripheral nervous systems where it is prominently expressed during fetal and postnatal development. Beta III Tubulin is often referred to as TUJ1 because Tuj-1 is the clone name of the original monoclonal antibody. The Tuj1 clone is such a popular neuronal marker that Tuj-1 is now used as a synonym for beta III tubulin. The distribution of Tubulin Beta 3 is neuron-associated, exhibiting distinct temporospatial gradients according to the regional neuroepithelia of origin. However, transient expression of the Tubulin Beta 3 protein is also present in the subventricular zones of the CNS comprising putative neuronal- and/or glial precursor cells, as well as in Kulchitsky neuroendocrine cells of the fetal respiratory epithelium. This temporally restricted, potentially non-neuronal expression may have implications in the identification of presumptive neurons derived from embryonic stem cells. Mutation on beta-tubulin has been linked to anti-cancer drug resistance in lung cancers.

Alternate Names

beta-Tubulin III, Beta3-tubulin, betaIII Tubulin, Class III beta-tubulin, TUBB3, Tubulin Beta 3, Tubulin beta-4, Tubulin beta-III

Gene Symbol

TUBB3

Additional beta-III Tubulin Products

Product Documents for beta-III Tubulin Antibody (S02-4G7)

Certificate of Analysis

To download a Certificate of Analysis, please enter a lot number in the search box below.

Product Specific Notices for beta-III Tubulin Antibody (S02-4G7)

This product is for research use only and is not approved for use in humans or in clinical diagnosis. Primary Antibodies are guaranteed for 1 year from date of receipt.

Loading...
Loading...
Loading...
Loading...