Skip to main content

beta-III Tubulin Antibody (AA10) - Azide Free

Novus Biologicals, part of Bio-Techne | Catalog # NBP1-30048

Novus Biologicals, part of Bio-Techne
Catalog #
Availability
Size / Price
Qty
Loading...
NBP1-30048

Key Product Details

Species Reactivity

Validated:

Mouse, Rat

Cited:

Mouse

Predicted:

Bovine (100%), Canine (100%), Equine (100%), Feline (100%), Goat (100%), Guinea Pig (100%), Hamster (100%), Human (100%), Primate (100%), Rabbit (100%), Sheep (100%), Vole (100%). Backed by our 100% Guarantee.

Applications

Validated:

Immunohistochemistry, Western Blot, Immunocytochemistry/ Immunofluorescence

Cited:

Immunocytochemistry/ Immunofluorescence

Label

Unconjugated

Antibody Source

Monoclonal Mouse IgG Clone # AA10

Format

Azide Free

Concentration

Please see the vial label for concentration. If unlisted please contact technical services.

Product Specifications

Immunogen

Synthetic peptide corresponding to amino acid residues specific to beta III tubulin conjugated to KLH. Accession # Q4QRB4

Reactivity Notes

This antibody has been directly tested for reactivity in rat. It is expected that this antibody will have wide species cross reactivity.

Specificity

Specific for the ~55kDa beta III tubulin protein. This clone is similar to the monoclonal antibody Tuj1.

Marker

Neuronal Marker

Clonality

Monoclonal

Host

Mouse

Isotype

IgG

Theoretical MW

55 kDa.
Disclaimer note: The observed molecular weight of the protein may vary from the listed predicted molecular weight due to post translational modifications, post translation cleavages, relative charges, and other experimental factors.

Description

Novus Biologicals Mouse beta-III Tubulin Antibody (AA10) - Azide Free (NBP1-30048) is a monoclonal antibody validated for use in IHC, WB and ICC/IF. Anti-beta-III Tubulin Antibody: Cited in 1 publication. All Novus Biologicals antibodies are covered by our 100% guarantee.

Scientific Data Images for beta-III Tubulin Antibody (AA10) - Azide Free

Western Blot: beta-III Tubulin Antibody (AA10) [NBP1-30048]

Western Blot: beta-III Tubulin Antibody (AA10) [NBP1-30048]

Western Blot: beta-III Tubulin Antibody (AA10) [NBP1-30048] - Rat cortex lysate showing specific immunolabeling of the ~55k beta III tubulin protein.
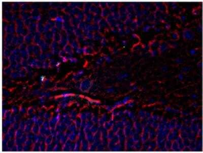
Immunohistochemistry: beta-III Tubulin Antibody (AA10) [NBP1-30048]

Immunohistochemistry: beta-III Tubulin Antibody (AA10) [NBP1-30048]

Immunohistochemistry: beta-III Tubulin Antibody (AA10) [NBP1-30048] - Immunostaining of mouse dentate gyrus showing beta III tubulin in red and nuclei in blue. Photo courtesy of Robert Wine.

Applications for beta-III Tubulin Antibody (AA10) - Azide Free

Application
Recommended Usage

Immunohistochemistry

1:10-1:500

Western Blot

1:10000

Formulation, Preparation, and Storage

Purification

Protein G purified

Formulation

10mM HEPES (pH 7.5), 0.15M NaCl, 0.1 mg/ml BSA and 50% Glycerol

Format

Azide Free

Preservative

No Preservative

Concentration

Please see the vial label for concentration. If unlisted please contact technical services.

Shipping

The product is shipped with polar packs. Upon receipt, store it immediately at the temperature recommended below.

Stability & Storage

Store at -20C. Avoid freeze-thaw cycles.

Background: beta-III Tubulin

Tubulin is the major building block of microtubules. This intracellular cylindrical filamentous structure is present in almost all eukaryotic cells. Microtubules function as structural and mobile elements in mitosis, intracellular transport, flagellar movement, and the cytoskeleton. Except in the simplest eukaryotes, tubulin exists in all cells as a mixture of similar, but not identical, sets of alpha and beta tubulin polypeptides. Within either set of polypeptides, individual subunits diverge from each other (both within and across species) at less than 10% of the amino acid positions. The most extreme diversity is localized to the 15 residues of the carboxy terminal. For beta tubulin five evolutionarily conserved isotype clones have been identified. These are almost totally conserved in the subunits utilized in the same cell types of different species, with the exception of the hematopoietic beta tubulin which is the most highly divergent in sequence and is not conserved between species. Research has been centered around the hypothesis that these beta tubulin isotypes contribute to unique functional properties. It has been reported that the different isotypes of tubulin differ from each other in their ability to polymerize into microtubules. The monoclonal antibody from hybridoma SDL.3D10 can stimulate microtubule assembly when reconstituted with tubulin, tau or MAP2

Alternate Names

beta-Tubulin III, Beta3-tubulin, betaIII Tubulin, Class III beta-tubulin, TUBB3, Tubulin Beta 3, Tubulin beta-4, Tubulin beta-III

Gene Symbol

TUBB3

UniProt

Additional beta-III Tubulin Products

Product Documents for beta-III Tubulin Antibody (AA10) - Azide Free

Certificate of Analysis

To download a Certificate of Analysis, please enter a lot number in the search box below.

Product Specific Notices for beta-III Tubulin Antibody (AA10) - Azide Free

This product is for research use only and is not approved for use in humans or in clinical diagnosis. Primary Antibodies are guaranteed for 1 year from date of receipt.

Loading...
Loading...
Loading...
Loading...