Skip to main content

beta II Tubulin A Antibody (1R3R9)

Novus Biologicals, part of Bio-Techne | Catalog # NBP3-16484

Recombinant Monoclonal Antibody
Novus Biologicals, part of Bio-Techne
Catalog #
Availability
Size / Price
Qty
Loading...
NBP3-16484-100ul
NBP3-16484-20ul

Key Product Details

Species Reactivity

Human, Mouse, Rat

Applications

ELISA, Immunocytochemistry/ Immunofluorescence, Immunohistochemistry, Immunohistochemistry-Paraffin, Western Blot

Label

Unconjugated

Antibody Source

Recombinant Monoclonal Rabbit IgG Clone # 1R3R9 expressed in HEK293

Concentration

Please see the vial label for concentration. If unlisted please contact technical services.

Product Specifications

Immunogen

A synthetic peptide corresponding to a sequence within amino acids 346-445 of human beta II Tubulin A (Q13885). PNNVKTAVCDIPPRGLKMSATFIGNSTAIQELFKRISEQFTAMFRRKAFLHWYTGEGMDEMEFTEAESNMNDLVSEYQQYQDATADEQGEFEEEEGEDEA

Clonality

Monoclonal

Host

Rabbit

Isotype

IgG

Theoretical MW

50 kDa.
Disclaimer note: The observed molecular weight of the protein may vary from the listed predicted molecular weight due to post translational modifications, post translation cleavages, relative charges, and other experimental factors.

Description

Novus Biologicals Rabbit beta II Tubulin A Antibody (1R3R9) (NBP3-16484) is a recombinant monoclonal antibody validated for use in IHC, WB, ELISA and ICC/IF. All Novus Biologicals antibodies are covered by our 100% guarantee.

Scientific Data Images for beta II Tubulin A Antibody (1R3R9)

Western Blot: beta II Tubulin A Antibody (1R3R9) [NBP3-16484]

Western Blot: beta II Tubulin A Antibody (1R3R9) [NBP3-16484]

Western Blot: beta II Tubulin A Antibody (1R3R9) [NBP3-16484] - Western blot analysis of extracts of various cell lines, using beta II Tubulin A Rabbit mAb (NBP3-16484) at 1:1000 dilution. Secondary antibody: HRP Goat Anti-Rabbit IgG (H+L) at 1:10000 dilution. Lysates/proteins: 25ug per lane. Blocking buffer: 3% nonfat dry milk in TBST. Detection: ECL Basic Kit. Exposure time: 60s.
Immunocytochemistry/ Immunofluorescence: beta II Tubulin A Antibody (1R3R9) [NBP3-16484]

Immunocytochemistry/ Immunofluorescence: beta II Tubulin A Antibody (1R3R9) [NBP3-16484]

Immunocytochemistry/Immunofluorescence: beta II Tubulin A Antibody (1R3R9) [NBP3-16484] - Immunofluorescence analysis of C6 cells using beta II Tubulin A Rabbit mAb (NBP3-16484) at dilution of 1:100 (40x lens). Blue: DAPI for nuclear staining.
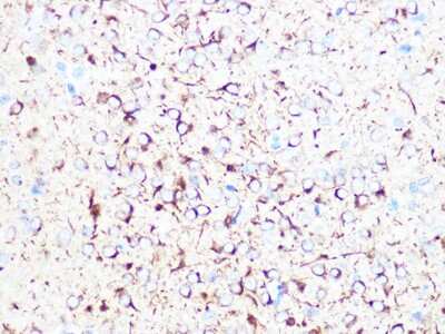
Immunohistochemistry-Paraffin: beta II Tubulin A Antibody (1R3R9) [NBP3-16484]

Immunohistochemistry-Paraffin: beta II Tubulin A Antibody (1R3R9) [NBP3-16484]

Immunohistochemistry-Paraffin: beta II Tubulin A Antibody (1R3R9) [NBP3-16484] - Immunohistochemistry of paraffin-embedded mouse brain using beta II Tubulin A Rabbit mAb (NBP3-16484) at dilution of 1:100 (40x lens).Perform microwave antigen retrieval with 10 mM PBS buffer pH 7.2 before commencing with IHC staining protocol.

Applications for beta II Tubulin A Antibody (1R3R9)

Application
Recommended Usage

Immunocytochemistry/ Immunofluorescence

1:50 - 1:200

Immunohistochemistry

1:50 - 1:200

Western Blot

1:500 - 1:1000

Formulation, Preparation, and Storage

Purification

Affinity purified

Formulation

PBS (pH 7.3), 50% glycerol, 0.05% BSA

Preservative

0.02% Sodium Azide

Concentration

Please see the vial label for concentration. If unlisted please contact technical services.

Shipping

The product is shipped with polar packs. Upon receipt, store it immediately at the temperature recommended below.

Stability & Storage

Store at -20C. Avoid freeze-thaw cycles.

Background: beta II Tubulin A

Tubulin is the major building block of microtubules. This intracellular cylindrical filamentous structure is present in almost all eukaryotic cells. Microtubules function as structural and mobile elements in mitosis, intracellular transport, flagellar movement, and in the cytoskeleton.

Long Name

Tubulin beta-2A chain

Alternate Names

TUBB2, TUBB2A

Gene Symbol

TUBB2A

Additional beta II Tubulin A Products

Product Documents for beta II Tubulin A Antibody (1R3R9)

Certificate of Analysis

To download a Certificate of Analysis, please enter a lot number in the search box below.

Product Specific Notices for beta II Tubulin A Antibody (1R3R9)

This product is for research use only and is not approved for use in humans or in clinical diagnosis. Primary Antibodies are guaranteed for 1 year from date of receipt.

Loading...
Loading...
Loading...
Loading...