Skip to main content

BAF53A Antibody - BSA Free

Novus Biologicals, part of Bio-Techne | Catalog # NBP3-38142

Novus Biologicals, part of Bio-Techne
Catalog #
Availability
Size / Price
Qty
Loading...
NBP3-38142-20ul
NBP3-38142-100ul

Key Product Details

Species Reactivity

Human, Mouse, Rat

Applications

Immunohistochemistry, Immunohistochemistry-Paraffin, Western Blot, ELISA

Label

Unconjugated

Antibody Source

Polyclonal Rabbit IgG

Format

BSA Free

Concentration

Please see the vial label for concentration. If unlisted please contact technical services.

Product Specifications

Immunogen

Recombinant fusion protein containing a sequence corresponding to amino acids 30-120 of human BAF53A (NP_004292.1).

Sequence:
EDCPKVDFPTAIGMVVERDDGSTLMEIDGDKGKQGGPTYYIDTNALRVPRENMEAISPLKNGMVEDWDSFQAILDHTYKMHVKSEASLHPV

Clonality

Polyclonal

Host

Rabbit

Isotype

IgG

Theoretical MW

47 kDa.
Disclaimer note: The observed molecular weight of the protein may vary from the listed predicted molecular weight due to post translational modifications, post translation cleavages, relative charges, and other experimental factors.

Description

Novus Biologicals Rabbit BAF53A Antibody - BSA Free (NBP3-38142) is a polyclonal antibody validated for use in IHC, WB and ELISA. All Novus Biologicals antibodies are covered by our 100% guarantee.

Scientific Data Images for BAF53A Antibody - BSA Free

BAF53A Antibody

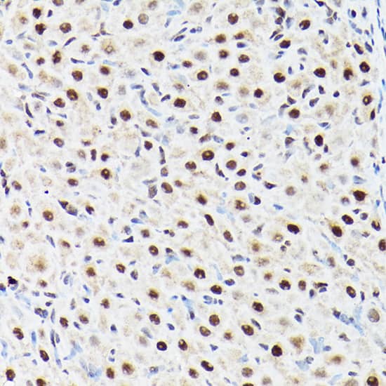
Immunohistochemistry: BAF53A Antibody [NBP3-38142] -

Immunohistochemistry: BAF53A Antibody [NBP3-38142] - Immunohistochemistry analysis of paraffin-embedded Human placenta using BAF53A Rabbit pAb at dilution of 1:100 (40x lens). High pressure antigen retrieval performed with 0.01M Citrate Bufferr (pH 6.0) prior to IHC staining.
BAF53A Antibody

Immunohistochemistry: BAF53A Antibody [NBP3-38142] -

Immunohistochemistry: BAF53A Antibody [NBP3-38142] - Immunohistochemistry analysis of paraffin-embedded Rat ovary using BAF53A Rabbit pAb at dilution of 1:100 (40x lens). High pressure antigen retrieval performed with 0.01M Citrate Bufferr (pH 6.0) prior to IHC staining.
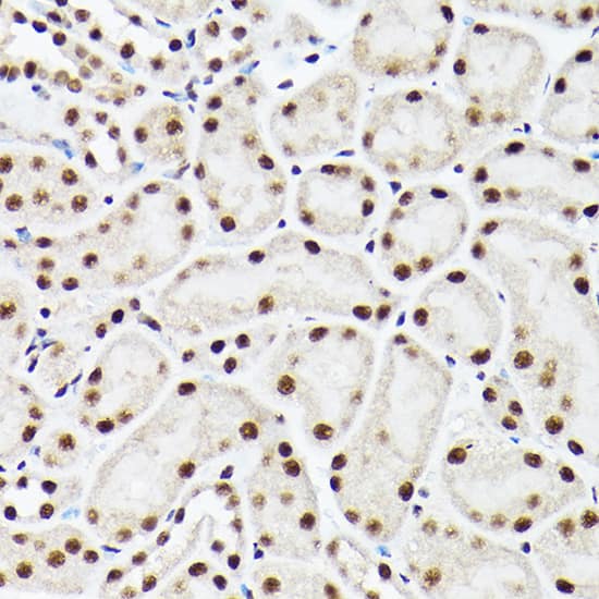
BAF53A Antibody

Immunohistochemistry: BAF53A Antibody [NBP3-38142] -

Immunohistochemistry: BAF53A Antibody [NBP3-38142] - Immunohistochemistry analysis of paraffin-embedded Mouse kidney using BAF53A Rabbit pAb at dilution of 1:100 (40x lens). High pressure antigen retrieval performed with 0.01M Citrate Bufferr (pH 6.0) prior to IHC staining.

Applications for BAF53A Antibody - BSA Free

Application
Recommended Usage

Immunohistochemistry-Paraffin

1:50 - 1:200

Western Blot

1:500 - 1:1000

Formulation, Preparation, and Storage

Purification

Affinity purified

Formulation

PBS (pH 7.3), 50% glycerol

Format

BSA Free

Preservative

0.09% Sodium Azide

Concentration

Please see the vial label for concentration. If unlisted please contact technical services.

Shipping

The product is shipped with polar packs. Upon receipt, store it immediately at the temperature recommended below.

Stability & Storage

Store at -20C. Avoid freeze-thaw cycles.

Background: BAF53A

BAF53A encodes a family member of actin-related proteins (ARPs), which share significant amino acid sequence identity to conventional actins. Both actins and ARPs have an actin fold, which is an ATP-binding cleft, as a common feature. The ARPs are involved in diverse cellular processes, including vesicular transport, spindle orientation, nuclear migration and chromatin remodeling. This gene encodes a 53 kDa subunit protein of the BAF (BRG1/brm-associated factor) complex in mammals, which is functionally related to SWI/SNF complex in S. cerevisiae and Drosophila; the latter is thought to facilitate transcriptional activation of specific genes by antagonizing chromatin-mediated transcriptional repression. Together with beta-actin, it is required for maximal ATPase activity of BRG1, and for the association of the BAF complex with chromatin/matrix. Three transcript variants that encode two different protein isoforms have been described.

Alternate Names

actin-like 6A, actin-like protein 6A, actin-related protein 4,53 kDa BRG1-associated factor A, Actin-related protein Baf53a, Actl6, Arp4, ArpNbeta, BAF complex 53 kDa subunit, Baf53a, BAF53AACTL6, BAF53MGC5382, BRG1-associated factor 53A, hArpN beta, INO80 complex subunit K, INO80KARPN-BETA

Gene Symbol

ACTL6A

Additional BAF53A Products

Product Documents for BAF53A Antibody - BSA Free

Certificate of Analysis

To download a Certificate of Analysis, please enter a lot number in the search box below.

Product Specific Notices for BAF53A Antibody - BSA Free

This product is for research use only and is not approved for use in humans or in clinical diagnosis. Primary Antibodies are guaranteed for 1 year from date of receipt.

Loading...
Loading...
Loading...
Loading...