Skip to main content

BAF53A Antibody

Novus Biologicals, part of Bio-Techne | Catalog # NB100-61628

Novus Biologicals, part of Bio-Techne
Catalog #
Availability
Size / Price
Qty
Loading...
NB100-61628

Key Product Details

Species Reactivity

Validated:

Human, Mouse

Cited:

Human, Mouse

Applications

Validated:

Immunohistochemistry, Immunohistochemistry-Paraffin, Western Blot, Immunocytochemistry/ Immunofluorescence, Simple Western, Immunoprecipitation (Negative)

Cited:

Immunohistochemistry, Western Blot, Immunocytochemistry/ Immunofluorescence, IF/IHC

Label

Unconjugated

Antibody Source

Polyclonal Rabbit IgG

Concentration

0.2 mg/ml

Product Specifications

Immunogen

The immunogen recognized by this antibody maps to a region between residue 25 and 75 of human BRG1-associated factor, 53 kDa subunit A using the numbering given in entry NP_004292.1 (GeneID 86).

Clonality

Polyclonal

Host

Rabbit

Isotype

IgG

Theoretical MW

47 kDa.
Disclaimer note: The observed molecular weight of the protein may vary from the listed predicted molecular weight due to post translational modifications, post translation cleavages, relative charges, and other experimental factors.

Description

Novus Biologicals Rabbit BAF53A Antibody (NB100-61628) is a polyclonal antibody validated for use in IHC, WB, ICC/IF and Simple Western. Anti-BAF53A Antibody: Cited in 12 publications. All Novus Biologicals antibodies are covered by our 100% guarantee.

Scientific Data Images for BAF53A Antibody

Simple Western: BAF53A Antibody [NB100-61628]

Simple Western: BAF53A Antibody [NB100-61628]

Simple Western: BAF53A Antibody [NB100-61628] - Simple Western lane view shows a specific band for BAF53A in 0.5 mg/ml of NIH-3T3 lysate. This experiment was performed under reducing conditions using the 12-230 kDa separation system.
Western Blot: BAF53A Antibody [NB100-61628]

Western Blot: BAF53A Antibody [NB100-61628]

BAF53A-Antibody-Western-Blot-NB100-61628-img0038.jpg
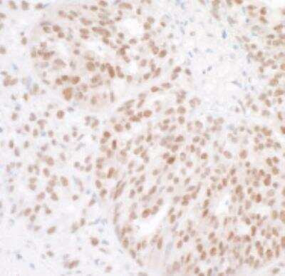
Immunohistochemistry-Paraffin: BAF53A Antibody [NB100-61628]

Immunohistochemistry-Paraffin: BAF53A Antibody [NB100-61628]

Immunohistochemistry-Paraffin: BAF53A Antibody [NB100-61628] - Human ovarian carcinoma. Antibody: Affinity purified rabbit anti-BAF53A used at a dilution of 1:200 (1ug/ml). Detection: DAB

Applications for BAF53A Antibody

Application
Recommended Usage

Immunocytochemistry/ Immunofluorescence

1:50-1:500

Immunohistochemistry

1:100-1:500

Immunohistochemistry-Paraffin

1:100-1:500

Simple Western

1:40

Western Blot

1:2000-1:10000
Application Notes
Epitope retrieval with citrate buffer pH6.0 is recommended for FFPE tissue sections. In Simple Western only 10 - 15 uL of the recommended dilution is used per data point.
See Simple Western Antibody Database for Simple Western validation: Tested in NIH-3T3 lysate 0.5 mg/mL, separated by Size, antibody dilution of 1:40, apparent MW was 54 kDa. Separated by Size-Wes, Sally Sue/Peggy Sue.
ICC/IF reactivity reported in (PMID: 23395444). Use in IHC reported in scientific literature (PMID:33469301)

Formulation, Preparation, and Storage

Purification

Immunogen affinity purified

Formulation

TBS and 0.1% BSA

Preservative

0.09% Sodium Azide

Concentration

0.2 mg/ml

Shipping

The product is shipped with polar packs. Upon receipt, store it immediately at the temperature recommended below.

Stability & Storage

Store at 4C. Do not freeze.

Background: BAF53A

BAF53A is a 53kd subunit of the BAF (BRG1/brm-associated factor) complex, a SWI/SNF chromatin remodeling and histone acetyltransferase complex that functions in the regulation of gene transcription. In the BAF complex, BAF53A is important to the ATPase activity of SMARCA4/BRG1 and the association of the BAF complex with chromatin. BAF53A also appears to be important to the formation of higher-order chromatin structure and has been shown to associate with mitotic chromosomes. Recently, BAF53A has been found to interact with p53 and repress p53-mediated gene transcription in a BRG1-independent manner.

Alternate Names

actin-like 6A, actin-like protein 6A, actin-related protein 4,53 kDa BRG1-associated factor A, Actin-related protein Baf53a, Actl6, Arp4, ArpNbeta, BAF complex 53 kDa subunit, Baf53a, BAF53AACTL6, BAF53MGC5382, BRG1-associated factor 53A, hArpN beta, INO80 complex subunit K, INO80KARPN-BETA

Entrez Gene IDs

86 (Human); 56456 (Mouse)

Gene Symbol

ACTL6A

UniProt

Additional BAF53A Products

Product Documents for BAF53A Antibody

Certificate of Analysis

To download a Certificate of Analysis, please enter a lot number in the search box below.

Product Specific Notices for BAF53A Antibody

This product is for research use only and is not approved for use in humans or in clinical diagnosis. Primary Antibodies are guaranteed for 1 year from date of receipt.

Loading...
Loading...
Loading...
Loading...