Skip to main content

B7-1/CD80 Antibody (OTI2E5)

Novus Biologicals, part of Bio-Techne | Catalog # NBP2-02905

Novus Biologicals, part of Bio-Techne

Key Product Details

Species Reactivity

Human

Applications

Immunohistochemistry, Immunohistochemistry-Paraffin, Western Blot, Immunocytochemistry/ Immunofluorescence

Label

Unconjugated

Antibody Source

Monoclonal Mouse IgG2A Clone # OTI2E5

Concentration

1 mg/ml

Product Specifications

Immunogen

Full length human recombinant protein of human CD80 (NP_005182) produced in HEK293T cell.

Clonality

Monoclonal

Host

Mouse

Isotype

IgG2A

Theoretical MW

29.3 kDa.
Disclaimer note: The observed molecular weight of the protein may vary from the listed predicted molecular weight due to post translational modifications, post translation cleavages, relative charges, and other experimental factors.

Description

Novus Biologicals Mouse B7-1/CD80 Antibody (OTI2E5) (NBP2-02905) is a monoclonal antibody validated for use in IHC, WB and ICC/IF. Anti-B7-1/CD80 Antibody: Cited in 1 publication. All Novus Biologicals antibodies are covered by our 100% guarantee.

Scientific Data Images for B7-1/CD80 Antibody (OTI2E5)

Western Blot: B7-1/CD80 Antibody (OTI2E5) [NBP2-02905]

Western Blot: B7-1/CD80 Antibody (OTI2E5) [NBP2-02905]

Western Blot: B7-1/CD80 Antibody (2E5) [NBP2-02905] - HEK293T cells were transfected with the pCMV6-ENTRY control (Left lane) or pCMV6-ENTRY CD80 (Right lane) cDNA for 48 hrs and lysed. Equivalent amounts of cell lysates (5 ug per lane) were separated by SDS-PAGE and immunoblotted with anti-CD80.
Immunocytochemistry/ Immunofluorescence: B7-1/CD80 Antibody (OTI2E5) [NBP2-02905]

Immunocytochemistry/ Immunofluorescence: B7-1/CD80 Antibody (OTI2E5) [NBP2-02905]

Immunocytochemistry/Immunofluorescence: B7-1/CD80 Antibody (OTI2E5) [NBP2-02905] - Staining of COS7 cells transiently transfected by pCMV6-ENTRY CD80.
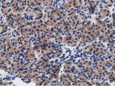
Immunohistochemistry-Paraffin: B7-1/CD80 Antibody (OTI2E5) [NBP2-02905]

Immunohistochemistry-Paraffin: B7-1/CD80 Antibody (OTI2E5) [NBP2-02905]

Immunohistochemistry-Paraffin: B7-1/CD80 Antibody (2E5) [NBP2-02905] - Staining of paraffin-embedded Human prostate tissue using anti-CD80 mouse monoclonal antibody.

Applications for B7-1/CD80 Antibody (OTI2E5)

Application
Recommended Usage

Immunocytochemistry/ Immunofluorescence

1:100

Immunohistochemistry

1:150

Immunohistochemistry-Paraffin

1:150

Western Blot

1:2000

Reviewed Applications

Read 1 review rated 4 using NBP2-02905 in the following applications:

Formulation, Preparation, and Storage

Purification

Immunogen affinity purified

Formulation

PBS (pH 7.3), 1.0% BSA and 50% Glycerol

Preservative

0.02% Sodium Azide

Concentration

1 mg/ml

Shipping

The product is shipped with polar packs. Upon receipt, store it immediately at the temperature recommended below.

Stability & Storage

Store at -20C. Avoid freeze-thaw cycles.

Background: B7-1/CD80

The B-lymphocyte activation antigen B7-1 (formerly referred to as B7) provides regulatory signals for T lymphocytes as a consequence of binding to the CD28 (MIM 186760) and CTLA4 (MIM 123890) ligands of T cells.[supplied by OMIM].

Alternate Names

B71, CD80

Entrez Gene IDs

941 (Human)

Gene Symbol

CD80

Additional B7-1/CD80 Products

Product Documents for B7-1/CD80 Antibody (OTI2E5)

Certificate of Analysis

To download a Certificate of Analysis, please enter a lot number in the search box below.

Product Specific Notices for B7-1/CD80 Antibody (OTI2E5)

This product is for research use only and is not approved for use in humans or in clinical diagnosis. Primary Antibodies are guaranteed for 1 year from date of receipt.

Loading...
Loading...
Loading...
Loading...