Skip to main content

Axotrophin Antibody - BSA Free

Novus Biologicals, part of Bio-Techne | Catalog # NBP1-90057

Novus Biologicals, part of Bio-Techne
Catalog #
Availability
Size / Price
Qty
Loading...
NBP1-90057-25ul
NBP1-90057

Key Product Details

Validated by

Independent Antibodies

Species Reactivity

Validated:

Human

Predicted:

Mouse (92%), Rat (92%). Backed by our 100% Guarantee.

Applications

Immunohistochemistry, Immunohistochemistry-Paraffin, Immunocytochemistry/ Immunofluorescence

Label

Unconjugated

Antibody Source

Polyclonal Rabbit IgG

Format

BSA Free

Concentration

Concentrations vary lot to lot. See vial label for concentration. If unlisted please contact technical services.

Product Specifications

Immunogen

This antibody was developed against Recombinant Protein corresponding to amino acids: ILPGSLFRFAVPPALGSNLTDNVMITVDIIPSGWNSADGKSDKTKSAPSRDPERLQKIK

Clonality

Polyclonal

Host

Rabbit

Isotype

IgG

Description

Novus Biologicals Rabbit Axotrophin Antibody - BSA Free (NBP1-90057) is a polyclonal antibody validated for use in IHC and ICC/IF. Anti-Axotrophin Antibody: Cited in 1 publication. All Novus Biologicals antibodies are covered by our 100% guarantee.

Scientific Data Images for Axotrophin Antibody - BSA Free

Immunocytochemistry/ Immunofluorescence: Axotrophin Antibody [NBP1-90057]

Immunocytochemistry/ Immunofluorescence: Axotrophin Antibody [NBP1-90057]

Immunocytochemistry/Immunofluorescence: Axotrophin Antibody [NBP1-90057] - Immunofluorescent staining of human cell line A-431 shows localization to plasma membrane & cytosol.
Immunohistochemistry-Paraffin: Axotrophin Antibody [NBP1-90057]

Immunohistochemistry-Paraffin: Axotrophin Antibody [NBP1-90057]

Immunohistochemistry-Paraffin: Axotrophin Antibody [NBP1-90057] - Staining of human cerebral cortex.
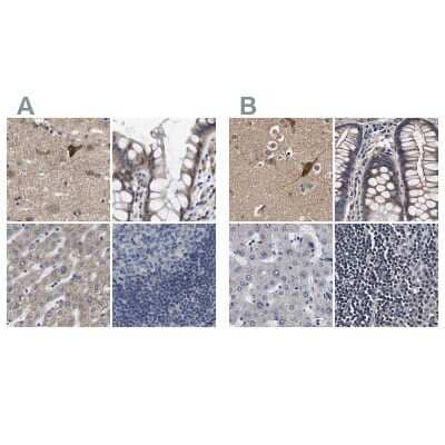
Immunohistochemistry-Paraffin: Axotrophin Antibody [NBP1-90057]

Immunohistochemistry-Paraffin: Axotrophin Antibody [NBP1-90057]

Immunohistochemistry-Paraffin: Axotrophin Antibody [NBP1-90057] - Staining of human cerebral cortex, colon, liver and lymph node using Anti-MARCH7 antibody NBP1-90057 (A) shows similar protein distribution across tissues to independent antibody NBP1-90056 (B).

Applications for Axotrophin Antibody - BSA Free

Application
Recommended Usage

Immunocytochemistry/ Immunofluorescence

0.25-2 ug/ml

Immunohistochemistry

1:20 - 1:50

Immunohistochemistry-Paraffin

1:20 - 1:50
Application Notes
For IHC-Paraffin, HIER pH 6 retrieval is recommended. ICCIF,Fixation Permeabilization: Use PFA/Triton X-100.

Formulation, Preparation, and Storage

Purification

Affinity purified

Formulation

PBS (pH 7.2) and 40% Glycerol

Format

BSA Free

Preservative

0.02% Sodium Azide

Concentration

Concentrations vary lot to lot. See vial label for concentration. If unlisted please contact technical services.

Shipping

The product is shipped with polar packs. Upon receipt, store it immediately at the temperature recommended below.

Stability & Storage

Store at 4C short term. Aliquot and store at -20C long term. Avoid freeze-thaw cycles.

Background: Axotrophin

E3 ubiquitin-protein ligase which may specifically enhance the E2 activity of HIP2. E3 ubiquitin ligasesaccept ubiquitin from an E2 ubiquitin-conjugating enzyme in the form of a thioester and then directly transfer theubiquitin to targeted substrates

Alternate Names

AXO, AXOT, Axotrophin, E3 ubiquitin-protein ligase MARCH7, EC 6.3.2, EC 6.3.2.-, MARCH-VIIDKFZp586F1122, membrane-associated ring finger (C3HC4) 7, Membrane-associated RING finger protein 7, Membrane-associated RING-CH protein VII, RING finger protein 177, RNF177axotrophin

Gene Symbol

MARCH7

Additional Axotrophin Products

Product Documents for Axotrophin Antibody - BSA Free

Certificate of Analysis

To download a Certificate of Analysis, please enter a lot number in the search box below.

Product Specific Notices for Axotrophin Antibody - BSA Free

This product is for research use only and is not approved for use in humans or in clinical diagnosis. Primary Antibodies are guaranteed for 1 year from date of receipt.

Loading...
Loading...
Loading...
Loading...