Skip to main content

ATP6V1B2 Antibody (OTI1E11) - Azide and BSA Free

Novus Biologicals, part of Bio-Techne | Catalog # NBP2-70238

Novus Biologicals, part of Bio-Techne

Key Product Details

Species Reactivity

Human, Mouse, Rat

Applications

Immunohistochemistry, Immunohistochemistry-Paraffin, Western Blot

Label

Unconjugated

Antibody Source

Monoclonal Mouse IgG2A Clone # OTI1E11

Format

Azide and BSA Free

Concentration

LYOPH mg/ml

Product Specifications

Immunogen

Full length human recombinant protein of human ATP6V1B2 (NP_001684) produced in HEK293T cell.

Reactivity Notes

Please note that this antibody is reactive to Mouse and derived from the same host, Mouse. Mouse-On-Mouse blocking reagent may be needed for IHC and ICC experiments to reduce high background signal. You can find these reagents under catalog numbers PK-2200-NB and MP-2400-NB. Please contact Technical Support if you have any questions.

Clonality

Monoclonal

Host

Mouse

Isotype

IgG2A

Theoretical MW

56.3 kDa.
Disclaimer note: The observed molecular weight of the protein may vary from the listed predicted molecular weight due to post translational modifications, post translation cleavages, relative charges, and other experimental factors.

Description

Novus Biologicals Mouse ATP6V1B2 Antibody (OTI1E11) - Azide and BSA Free (NBP2-45525) is a monoclonal antibody validated for use in IHC and WB. All Novus Biologicals antibodies are covered by our 100% guarantee.

Scientific Data Images for ATP6V1B2 Antibody (OTI1E11) - Azide and BSA Free

Western Blot: ATP6V1B2 Antibody (OTI1E11)Azide and BSA Free [NBP2-70238]

Western Blot: ATP6V1B2 Antibody (OTI1E11)Azide and BSA Free [NBP2-70238]

Western Blot: ATP6V1B2 Antibody (OTI1E11) - Azide and BSA Free [NBP2-70238] - Analysis of HEK293T cells were transfected with the pCMV6-ENTRY control (Left lane) or pCMV6-ENTRY ATP6V1B2.
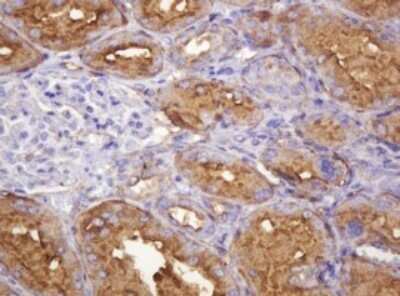
Immunohistochemistry: ATP6V1B2 Antibody (OTI1E11) - Azide and BSA Free [NBP2-70238]

Immunohistochemistry: ATP6V1B2 Antibody (OTI1E11) - Azide and BSA Free [NBP2-70238]

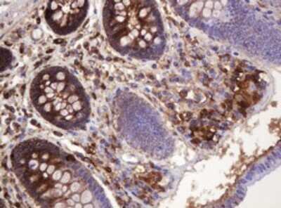
Immunohistochemistry: ATP6V1B2 Antibody (OTI1E11) - Azide and BSA Free [NBP2-70238] - Analysis of Human colon tissue. (Heat-induced epitope retrieval by 10mM citric buffer, pH6.0, 120C for 3min)
Immunohistochemistry: ATP6V1B2 Antibody (OTI1E11) - Azide and BSA Free [NBP2-70238]

Immunohistochemistry: ATP6V1B2 Antibody (OTI1E11) - Azide and BSA Free [NBP2-70238]

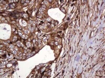
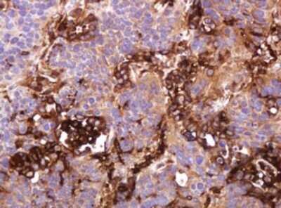
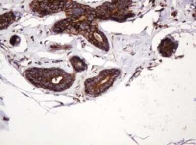
Immunohistochemistry: ATP6V1B2 Antibody (OTI1E11) - Azide and BSA Free [NBP2-70238] - Analysis of Adenocarcinoma of Human breast tissue. (Heat-induced epitope retrieval by 10mM citric buffer, pH6.0, 120C for 3min)

Applications for ATP6V1B2 Antibody (OTI1E11) - Azide and BSA Free

Application
Recommended Usage

Immunohistochemistry

1:150

Western Blot

1:2000

Formulation, Preparation, and Storage

Purification

Immunogen affinity purified

Reconstitution

we recommend adding 100uL distilled water to a final antibody concentration of about 1 mg/mL. To use this carrier-free antibody for conjugation experiment, we strongly recommend performing another round of desalting process.

Formulation

Lyophilized from PBS (pH 7.3) with 8% Trehalose

Format

Azide and BSA Free

Preservative

No Preservative

Concentration

LYOPH mg/ml

Shipping

The product is shipped with polar packs. Upon receipt, store it immediately at the temperature recommended below.

Stability & Storage

Store at -20C. Avoid freeze-thaw cycles.

Background: ATP6V1B2

The ATP6V1B2 gene encodes a component of vacuolar ATPase (V-ATPase), a multisubunit enzyme that mediates acidification ofeukaryotic intracellular organelles. V-ATPase dependent organelle acidification is necessary for such intracellularprocesses as protein sortin

Alternate Names

000 subunit, 56/58kD, isoform 2, ATP6B2ATPase, H+ transporting, lysosomal (vacuolar proton pump), beta polypeptide, ATPase, H+ transporting, lysosomal 56/58kDa, V1 subunit B2, Endomembrane proton pump 58 kDa subunit, H+ transporting two-sector ATPase, HO57ATP6B1B2, vacuolar H+-ATPase 56, Vacuolar proton pump subunit B 2, VATB, V-ATPase B2 subunit, V-ATPase subunit B 2, Vma2, VPP3ATPase, H+ transporting, lysosomal 56/58kDa, V1 subunit B, isoform 2, V-type proton ATPase subunit B, brain isoform

Gene Symbol

ATP6V1B2

Additional ATP6V1B2 Products

Product Documents for ATP6V1B2 Antibody (OTI1E11) - Azide and BSA Free

Certificate of Analysis

To download a Certificate of Analysis, please enter a lot number in the search box below.

Product Specific Notices for ATP6V1B2 Antibody (OTI1E11) - Azide and BSA Free

This product is for research use only and is not approved for use in humans or in clinical diagnosis. Primary Antibodies are guaranteed for 1 year from date of receipt.

Loading...
Loading...
Loading...
Loading...
Loading...