Skip to main content

ATP6V1B2 Antibody (OTI1E11)

Novus Biologicals, part of Bio-Techne | Catalog # NBP2-45525

Novus Biologicals, part of Bio-Techne
Catalog #
Availability
Size / Price
Qty
Loading...
NBP2-45525

Key Product Details

Species Reactivity

Human, Mouse, Rat

Applications

Immunohistochemistry, Immunohistochemistry-Paraffin, Western Blot

Label

Unconjugated

Antibody Source

Monoclonal Mouse IgG2A Clone # OTI1E11

Concentration

1 mg/ml

Product Specifications

Immunogen

Full length human recombinant protein of human ATP6V1B2 (NP_001684) produced in HEK293T cell.

Reactivity Notes

Please note that this antibody is reactive to Mouse and derived from the same host, Mouse. Mouse-On-Mouse blocking reagent may be needed for IHC and ICC experiments to reduce high background signal. You can find these reagents under catalog numbers PK-2200-NB and MP-2400-NB. Please contact Technical Support if you have any questions.

Clonality

Monoclonal

Host

Mouse

Isotype

IgG2A

Theoretical MW

56.3 kDa.
Disclaimer note: The observed molecular weight of the protein may vary from the listed predicted molecular weight due to post translational modifications, post translation cleavages, relative charges, and other experimental factors.

Description

Novus Biologicals Mouse ATP6V1B2 Antibody (OTI1E11) (NBP2-45525) is a monoclonal antibody validated for use in IHC and WB. All Novus Biologicals antibodies are covered by our 100% guarantee.

Scientific Data Images for ATP6V1B2 Antibody (OTI1E11)

Western Blot: ATP6V1B2 Antibody (OTI1E11) [NBP2-45525]

Western Blot: ATP6V1B2 Antibody (OTI1E11) [NBP2-45525]

Western Blot: ATP6V1B2 Antibody (1E11) [NBP2-45525] - Analysis of HEK293T cells were transfected with the pCMV6-ENTRY control (Left lane) or pCMV6-ENTRY ATP6V1B2.
Immunohistochemistry: ATP6V1B2 Antibody (OTI1E11) [NBP2-45525]

Immunohistochemistry: ATP6V1B2 Antibody (OTI1E11) [NBP2-45525]

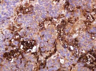
Immunohistochemistry: ATP6V1B2 Antibody (1E11) [NBP2-45525] - Analysis of Adenocarcinoma of Human ovary tissue. (Heat-induced epitope retrieval by 10mM citric buffer, pH6.0, 120C for 3min)
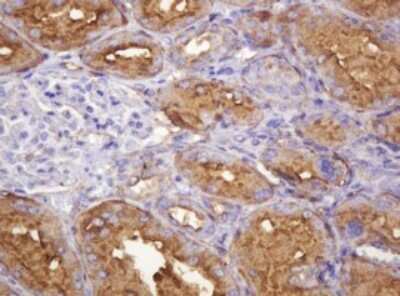
Immunohistochemistry: ATP6V1B2 Antibody (OTI1E11) [NBP2-45525]

Immunohistochemistry: ATP6V1B2 Antibody (OTI1E11) [NBP2-45525]

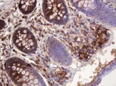
Immunohistochemistry: ATP6V1B2 Antibody (1E11) [NBP2-45525] - Analysis of Human colon tissue. (Heat-induced epitope retrieval by 10mM citric buffer, pH6.0, 120C for 3min)

Applications for ATP6V1B2 Antibody (OTI1E11)

Application
Recommended Usage

Immunohistochemistry

1:150

Western Blot

1:2000

Formulation, Preparation, and Storage

Purification

Immunogen affinity purified

Formulation

PBS (pH 7.3), 1.0% BSA and 50% Glycerol

Preservative

0.02% Sodium Azide

Concentration

1 mg/ml

Shipping

The product is shipped with polar packs. Upon receipt, store it immediately at the temperature recommended below.

Stability & Storage

Store at -20C. Avoid freeze-thaw cycles.

Background: ATP6V1B2

The ATP6V1B2 gene encodes a component of vacuolar ATPase (V-ATPase), a multisubunit enzyme that mediates acidification ofeukaryotic intracellular organelles. V-ATPase dependent organelle acidification is necessary for such intracellularprocesses as protein sortin

Alternate Names

000 subunit, 56/58kD, isoform 2, ATP6B2ATPase, H+ transporting, lysosomal (vacuolar proton pump), beta polypeptide, ATPase, H+ transporting, lysosomal 56/58kDa, V1 subunit B2, Endomembrane proton pump 58 kDa subunit, H+ transporting two-sector ATPase, HO57ATP6B1B2, vacuolar H+-ATPase 56, Vacuolar proton pump subunit B 2, VATB, V-ATPase B2 subunit, V-ATPase subunit B 2, Vma2, VPP3ATPase, H+ transporting, lysosomal 56/58kDa, V1 subunit B, isoform 2, V-type proton ATPase subunit B, brain isoform

Gene Symbol

ATP6V1B2

Additional ATP6V1B2 Products

Product Documents for ATP6V1B2 Antibody (OTI1E11)

Certificate of Analysis

To download a Certificate of Analysis, please enter a lot number in the search box below.

Product Specific Notices for ATP6V1B2 Antibody (OTI1E11)

This product is for research use only and is not approved for use in humans or in clinical diagnosis. Primary Antibodies are guaranteed for 1 year from date of receipt.

Loading...
Loading...
Loading...
Loading...