Skip to main content

ATG13 Antibody (6B2E12) - BSA Free

Novus Biologicals, part of Bio-Techne | Catalog # NBP2-52418

Novus Biologicals, part of Bio-Techne
Catalog #
Availability
Size / Price
Qty
Loading...
NBP2-52418
NBP2-52418-0.025mg

Key Product Details

Species Reactivity

Human

Applications

CyTOF-ready, ELISA, Immunohistochemistry, Immunohistochemistry-Paraffin, Western Blot

Label

Unconjugated

Antibody Source

Monoclonal Mouse IgG1 Clone # 6B2E12

Format

BSA Free

Concentration

1 mg/ml

Product Specifications

Immunogen

Purified recombinant fragment of human ATG13 (AA: 339-550) expressed in E. Coli.

Clonality

Monoclonal

Host

Mouse

Isotype

IgG1

Theoretical MW

56.6 kDa.
Disclaimer note: The observed molecular weight of the protein may vary from the listed predicted molecular weight due to post translational modifications, post translation cleavages, relative charges, and other experimental factors.

Description

Novus Biologicals Mouse ATG13 Antibody (6B2E12) - BSA Free (NBP2-52418) is a monoclonal antibody validated for use in IHC, WB and ELISA. All Novus Biologicals antibodies are covered by our 100% guarantee.

Scientific Data Images for ATG13 Antibody (6B2E12) - BSA Free

Western Blot: ATG13 Antibody (6B2E12)BSA Free [NBP2-52418]

Western Blot: ATG13 Antibody (6B2E12)BSA Free [NBP2-52418]

Western Blot: ATG13 Antibody (6B2E12) [NBP2-52418] - Analysis using ATG13 mAb against (1) HEK293 and (2) ATG13 (AA: 339-550)-hIgGFc transfected HEK293 cell lysate.
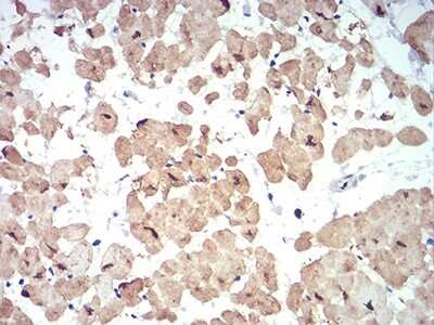
Immunohistochemistry-Paraffin: ATG13 Antibody (6B2E12) - BSA Free [NBP2-52418]

Immunohistochemistry-Paraffin: ATG13 Antibody (6B2E12) - BSA Free [NBP2-52418]

Immunohistochemistry-Paraffin: ATG13 Antibody (6B2E12) [NBP2-52418] - Analysis of paraffin-embedded striated muscle tissues using ATG13 mouse mAb with DAB staining.
Western Blot: ATG13 Antibody (6B2E12)BSA Free [NBP2-52418]

Western Blot: ATG13 Antibody (6B2E12)BSA Free [NBP2-52418]

Western Blot: ATG13 Antibody (6B2E12) [NBP2-52418] - Analysis using ATG13 mAb against human ATG13 (AA: 339-550) recombinant protein. (Expected MW is 48.9 kDa)

Applications for ATG13 Antibody (6B2E12) - BSA Free

Application
Recommended Usage

ELISA

1:10000

Immunohistochemistry

1:200-1:1000

Immunohistochemistry-Paraffin

1:200-1:1000

Western Blot

1:500-1:2000
Application Notes
This antibody is Cytof ready.

Formulation, Preparation, and Storage

Purification

Protein G purified

Formulation

PBS

Format

BSA Free

Preservative

0.05% Sodium Azide

Concentration

1 mg/ml

Shipping

The product is shipped with polar packs. Upon receipt, store it immediately at the temperature recommended below.

Stability & Storage

Store at 4C short term. Aliquot and store at -20C long term. Avoid freeze-thaw cycles.

Background: ATG13

Alternate Names

autophagy related 13, autophagy-related protein 13, KIAA0652

Gene Symbol

ATG13

Additional ATG13 Products

Product Documents for ATG13 Antibody (6B2E12) - BSA Free

Certificate of Analysis

To download a Certificate of Analysis, please enter a lot number in the search box below.

Product Specific Notices for ATG13 Antibody (6B2E12) - BSA Free

This product is for research use only and is not approved for use in humans or in clinical diagnosis. Primary Antibodies are guaranteed for 1 year from date of receipt.

Loading...
Loading...
Loading...
Loading...