Skip to main content

ARID2 Antibody - BSA Free

Novus Biologicals, part of Bio-Techne | Catalog # NBP1-26615

Novus Biologicals, part of Bio-Techne

Key Product Details

Species Reactivity

Human, Mouse

Applications

Immunohistochemistry, Immunohistochemistry-Paraffin, Western Blot, Immunoprecipitation

Label

Unconjugated

Antibody Source

Polyclonal Rabbit IgG

Format

BSA Free

Concentration

1.0 mg/ml

Product Specifications

Immunogen

The immunogen recognized by this antibody maps to a region between residue 1785 and 1835 of human AT rich interactive domain 2 using the numbering given in entry NP_689854.2 (GeneID 196528).

Reactivity Notes

Mouse reactivity reported from a verified customer review.

Clonality

Polyclonal

Host

Rabbit

Isotype

IgG

Description

Novus Biologicals Rabbit ARID2 Antibody - BSA Free (NBP1-26615) is a polyclonal antibody validated for use in IHC, WB and IP. Anti-ARID2 Antibody: Cited in 1 publication. All Novus Biologicals antibodies are covered by our 100% guarantee.

Scientific Data Images for ARID2 Antibody - BSA Free

Western Blot: ARID2 Antibody [NBP1-26615]

Western Blot: ARID2 Antibody [NBP1-26615]

Western Blot: ARID2 Antibody [NBP1-26615] - Whole cell lysate (50 ug) from HeLa, 293T, and Jurkat cells prepared using NETN lysis buffer. Antibody: Affinity purified rabbit anti-ARID2 antibody used for WB at 0.04 ug/ml. Detection: Chemiluminescence with an exposure time of 75 seconds.
Immunohistochemistry-Paraffin: ARID2 Antibody [NBP1-26615]

Immunohistochemistry-Paraffin: ARID2 Antibody [NBP1-26615]

Immunohistochemistry-Paraffin: ARID2 Antibody [NBP1-26615] - FFPE section of human ovarian carcinoma. Antibody: Affinity purified rabbit anti-ARID2 used at a dilution of 1:5,000 ( 0.2ug/ml). Detection: DAB
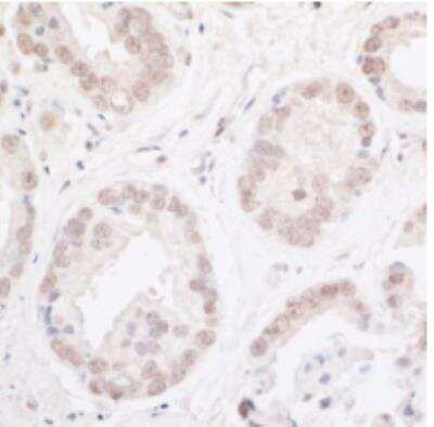
Immunohistochemistry-Paraffin: ARID2 Antibody [NBP1-26615]

Immunohistochemistry-Paraffin: ARID2 Antibody [NBP1-26615]

Immunohistochemistry-Paraffin: ARID2 Antibody [NBP1-26615] - FFPE section of human prostate carcinoma. Antibody: Affinity purified rabbit anti-ARID2 used at a dilution of 1:5,000 ( 0.2ug/ml). Detection: DAB

Applications for ARID2 Antibody - BSA Free

Application
Recommended Usage

Immunohistochemistry

1:1000 - 1:5000

Immunohistochemistry-Paraffin

1:1000 - 1:5000

Immunoprecipitation

5-10 ug/mg lysate

Western Blot

1:2000-1:10000
Application Notes
Epitope retrieval with citrate buffer pH6.0 is recommended for FFPE tissue sections.

Reviewed Applications

Read 1 review rated 5 using NBP1-26615 in the following applications:

Formulation, Preparation, and Storage

Purification

Immunogen affinity purified

Formulation

Tris-Citrate/Phosphate (pH 7.0 - 8.0)

Format

BSA Free

Preservative

0.09% Sodium Azide

Concentration

1.0 mg/ml

Shipping

The product is shipped with polar packs. Upon receipt, store it immediately at the temperature recommended below.

Stability & Storage

Store at 4C. Do not freeze.

Background: ARID2

The SWI/SNF-related, matrix-associated, actin-dependent regulators of chromatin (SMARC), also called BRG1-associated factors (BAFs), have been identified as components of the human SWI/SNF-like chromatin-remodeling protein complexes. SWI/SNF complexes possess ATPase and DNA helicase activity that promotes transcriptional activation of genes normally repressed by chromatin structure. ARID2 (AT-rich interactive domain-containing protein 2) is also known as BAF200 and was purified as a factor that associated with PBAF (hSWI/SNF-B). ARID2 is a noncatalytic subunit that is a member of the ARID (AT-rich interactive domain-containing protein) family of DNA binding proteins. In addition to the ARID domain, ARID2 also contains a C2H2-type zinc finger and has been implicated as a transcriptional co-activator for serum response factor for the regulation of cardiac genes.

Alternate Names

ARID domain-containing protein 2, AT rich interactive domain 2 (ARID, RFX-like), BAF200KIAA1557AT-rich interactive domain-containing protein 2, BRG1-associated factor 200, DKFZp686G052, DKFZp779P0222, FLJ30619, p200, Zinc finger protein with activation potential, zipzap, zipzap/p200

Entrez Gene IDs

196528 (Human)

Gene Symbol

ARID2

Additional ARID2 Products

Product Documents for ARID2 Antibody - BSA Free

Certificate of Analysis

To download a Certificate of Analysis, please enter a lot number in the search box below.

Product Specific Notices for ARID2 Antibody - BSA Free

This product is for research use only and is not approved for use in humans or in clinical diagnosis. Primary Antibodies are guaranteed for 1 year from date of receipt.

Loading...
Loading...
Loading...
Loading...