Skip to main content

Aquaporin-5 Antibody

Novus Biologicals, part of Bio-Techne | Catalog # NBP3-12286

Novus Biologicals, part of Bio-Techne
Catalog #
Availability
Size / Price
Qty
Loading...
NBP3-12286

Key Product Details

Species Reactivity

Human, Mouse, Rat, Bovine, Sheep

Applications

ELISA, Immunohistochemistry, Immunohistochemistry-Paraffin, Immunoprecipitation, Western Blot

Label

Unconjugated

Antibody Source

Polyclonal Rabbit

Concentration

Please see the vial label for concentration. If unlisted please contact technical services.

Product Specifications

Immunogen

Synthetic peptide taken within amino acid region 250-299 on rat Aquaporin 5 protein.

Clonality

Polyclonal

Host

Rabbit

Description

Novus Biologicals Rabbit Aquaporin-5 Antibody (NBP3-12286) is a polyclonal antibody validated for use in IHC, WB, ELISA and IP. All Novus Biologicals antibodies are covered by our 100% guarantee.

Scientific Data Images for Aquaporin-5 Antibody

Western Blot: Aquaporin-5 Antibody [NBP3-12286]

Western Blot: Aquaporin-5 Antibody [NBP3-12286]

Western Blot: Aquaporin-5 Antibody [NBP3-12286] - Antibody dilution is 1:500 in DiluObuffer, Apparent MW is 29 KDa.
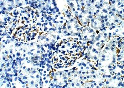
Immunohistochemistry-Paraffin: Aquaporin-5 Antibody [NBP3-12286]

Immunohistochemistry-Paraffin: Aquaporin-5 Antibody [NBP3-12286]

Immunohistochemistry-Paraffin: Aquaporin-5 Antibody [NBP3-12286] - Rat kidney. 1:50 dilution in IHC blocking buffer. DAB (brown) staining and Hematoxylin QS (blue) counterstain. 40X magnification.

Applications for Aquaporin-5 Antibody

Application
Recommended Usage

ELISA

1:10000

Immunohistochemistry

1:50-1:150

Immunohistochemistry-Paraffin

1:50-1:150

Immunoprecipitation

1:200

Western Blot

1:500

Formulation, Preparation, and Storage

Purification

Affinity purified

Formulation

Contains Tris, HCl/glycine buffer (pH 7.4-7.8), 30% glycerol, 0.5% BSA, along with cryo-protective agents, and HEPES (exact storage and stabilization buffer information is proprietary).

Preservative

0.02% Sodium Azide

Concentration

Please see the vial label for concentration. If unlisted please contact technical services.

Shipping

The product is shipped with polar packs. Upon receipt, store it immediately at the temperature recommended below.

Stability & Storage

Store at 4C short term. Store at -20C long term. Avoid freeze-thaw cycles.

Background: Aquaporin 5/AQP5

Aquaporins (AQPs) are a large family of integral membrane water transport channel proteins that facilitate the transport of water through the cell membrane. This function is conserved in animals, plants and bacteria. At least ten isoforms of aquaporin have been identified in mammals, designated AQP0 through AQP9. Aquaporins are widely distributed and it is not uncommon for more than one type of AQP to be present in the same cell. Although most aquaporins are only permeable to water, AQP3, AQP7 and AQP9 are permeable to urea and glycerol. AQP2 is the only water channel that is activated by vasopressin to enhance water reabsorption in the kidney collecting duct. Aquaporins are involved in renal water absorption, generation of pulmonary secretions, lacrimation, and the secretion and reabsorption of cerebrospinal fluid and aqueous humor. In the lung, the 27-kDa AQP5 is responsible for the majority of water transport across the apical membrane of type I alveolar epithelial cells. The gene encoding human AQP5 maps to chromosome 12q13.

Long Name

Aquaporin 5

Alternate Names

AQP-5, AQP5, PPKB

Gene Symbol

AQP5

Additional Aquaporin 5/AQP5 Products

Product Documents for Aquaporin-5 Antibody

Certificate of Analysis

To download a Certificate of Analysis, please enter a lot number in the search box below.

Product Specific Notices for Aquaporin-5 Antibody

This product is for research use only and is not approved for use in humans or in clinical diagnosis. Primary Antibodies are guaranteed for 1 year from date of receipt.

Loading...
Loading...
Loading...
Loading...