Skip to main content

Apolipoprotein H/ApoH Antibody (APOH/3705)

Novus Biologicals, part of Bio-Techne | Catalog # NBP3-26808

Novus Biologicals, part of Bio-Techne
Catalog #
Availability
Size / Price
Qty
Loading...
NBP3-26808-100ug
NBP3-26808-20ug
Conjugate
Catalog #

Key Product Details

Species Reactivity

Human

Applications

Immunohistochemistry-Paraffin

Label

Unconjugated

Antibody Source

Monoclonal Mouse IgG1 kappa Clone # APOH/3705

Concentration

0.2 mg/ml

Product Specifications

Immunogen

Human recombinant Apolipoprotein H/ApoH protein fragment (around aa 592-689) (exact sequence is proprietary)

Localization

Secreted

Clonality

Monoclonal

Host

Mouse

Isotype

IgG1 kappa

Description

Antibody with azide - store at 2 to 8C. Antibody without azide - store at -20 to -80C. Non-hazardous. No MSDS required.

Scientific Data Images for Apolipoprotein H/ApoH Antibody (APOH/3705)

Apolipoprotein H/ApoH Antibody (APOH/3705)

Protein Array: Apolipoprotein H/ApoH Antibody (APOH/3705) [NBP3-26808 ] -

Analysis of Protein Array containing more than 19,000 full-length human proteins using Apolipoprotein H/ApoH Antibody (APOH/3705).
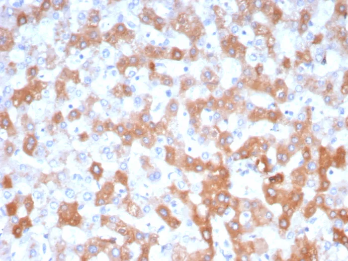
Apolipoprotein H/ApoH Antibody (APOH/3705)

Immunohistochemistry-Paraffin: Apolipoprotein H/ApoH Antibody (APOH/3705) [NBP3-26808 ] -

Formalin-fixed, paraffin-embedded human liver stained with Apolipoprotein H/ApoH Antibody (APOH/3705). HIER: Tris/EDTA, pH9.0, 45min. 2°C: HRP-polymer, 30min. DAB, 5min.

Applications for Apolipoprotein H/ApoH Antibody (APOH/3705)

Application
Recommended Usage

Immunohistochemistry-Paraffin

1-2ug/ml for 30 minutes at RT
Application Notes
Immunohistochemistry-Paraffin 1-2ug/ml for 30 minutes at RT. Optimal dilution for a specific application should be determined.. Staining of formalin-fixed tissues requires heating tissue sections in 10mM Tris with 1mM EDTA, pH 9.0, for 45 min at 95C followed by cooling at RT for 20 minutes

Formulation, Preparation, and Storage

Purification

Protein A or G purified

Formulation

10mM PBS with 0.05% BSA

Preservative

0.05% Sodium Azide

Concentration

0.2 mg/ml

Shipping

The product is shipped with polar packs. Upon receipt, store it immediately at the temperature recommended below.

Stability & Storage

Store at 4C.

Background: Apolipoprotein H/ApoH

Apolipoprotein H has been implicated in a variety of physiologic pathways including lipoprotein metabolism, coagulation, and the production of antiphospholipid autoantibodies. APOH may be a required cofactor for anionic phospholipid binding by the antiphospholipid autoantibodies found in sera of many patients with lupus and primary antiphospholipid syndrome, but it does not seem to be required for the reactivity of antiphospholipid autoantibodies associated with infections.

Alternate Names

APOH, B2G1, B2GPI, Beta, BG

Gene Symbol

APOH

Additional Apolipoprotein H/ApoH Products

Product Documents for Apolipoprotein H/ApoH Antibody (APOH/3705)

Certificate of Analysis

To download a Certificate of Analysis, please enter a lot number in the search box below.

Product Specific Notices for Apolipoprotein H/ApoH Antibody (APOH/3705)

This product is for research use only and is not approved for use in humans or in clinical diagnosis. Primary Antibodies are guaranteed for 1 year from date of receipt.

Loading...
Loading...
Loading...
Loading...