Skip to main content

Apolipoprotein D Antibody (APOD/3412) - Azide and BSA Free

Novus Biologicals, part of Bio-Techne | Catalog # NBP3-08417

Novus Biologicals, part of Bio-Techne

Key Product Details

Species Reactivity

Human

Applications

Immunohistochemistry-Paraffin, Protein Array

Label

Unconjugated

Antibody Source

Monoclonal Mouse IgG2b Kappa Clone # APOD/3412

Format

Azide and BSA Free

Concentration

1 mg/ml

Product Specifications

Immunogen

Human recombinant Apolipoprotein D protein fragment (around aa 21-119) (exact sequence is proprietary) (Uniprot: P05090)

Localization

Secreted.

Clonality

Monoclonal

Host

Mouse

Isotype

IgG2b Kappa

Theoretical MW

30 kDa.
Disclaimer note: The observed molecular weight of the protein may vary from the listed predicted molecular weight due to post translational modifications, post translation cleavages, relative charges, and other experimental factors.

Description

1.0 mg/ml of antibody purified from Bioreactor Concentrate by Protein A/G. Prepared in 10mM PBS WITHOUT BSA & azide. Also available at 200 ug/ml WITH BSA & azide (NBP3-07382).

Antibody with azide - store at 2 to 8C. Antibody without azide - store at -20 to -80C.

Scientific Data Images for Apolipoprotein D Antibody (APOD/3412) - Azide and BSA Free

Immunohistochemistry-Paraffin: Apolipoprotein D Antibody (APOD/3412) - Azide and BSA Free [NBP3-08417]

Immunohistochemistry-Paraffin: Apolipoprotein D Antibody (APOD/3412) - Azide and BSA Free [NBP3-08417]

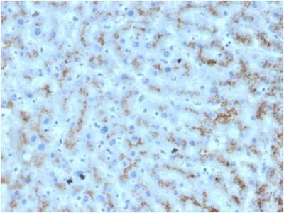
Immunohistochemistry-Paraffin: Apolipoprotein D Antibody (APOD/3412) [NBP3-08417] - Formalin-fixed, paraffin-embedded human liver stained with Apolipoprotein D Mouse Monoclonal Antibody (APOD/3412).
Immunohistochemistry-Paraffin: Apolipoprotein D Antibody (APOD/3412) - Azide and BSA Free [NBP3-08417]

Immunohistochemistry-Paraffin: Apolipoprotein D Antibody (APOD/3412) - Azide and BSA Free [NBP3-08417]

Immunohistochemistry-Paraffin: Apolipoprotein D Antibody (APOD/3412) [NBP3-08417] - Formalin-fixed, paraffin-embedded human liver stained with Apolipoprotein D Mouse Monoclonal Antibody (APOD/3412).
Protein Array: Apolipoprotein D Antibody (APOD/3412) - Azide and BSA Free [NBP3-08417]

Protein Array: Apolipoprotein D Antibody (APOD/3412) - Azide and BSA Free [NBP3-08417]

Protein Array: Apolipoprotein D Antibody (APOD/3412) [NBP3-08417] - Analysis of Protein Array containing more than 19,000 full-length human proteins using Apolipoprotein D Mouse Monoclonal Antibody (APOD/3412).

Applications for Apolipoprotein D Antibody (APOD/3412) - Azide and BSA Free

Application
Recommended Usage

Immunohistochemistry-Paraffin

1-2 ug/ml
Application Notes
Immunohistochemistry Formalin-fixed: 1-2ug/ml for 30 minutes at RT. Staining of formalin-fixed tissues requires heating tissue sections in 10mM Tris with 1mM EDTA, pH 9.0, for 45 min at 95C followed by cooling at RT for 20 minutes. Optimal dilution for a specific application should be determined.

Formulation, Preparation, and Storage

Purification

Protein A or G purified

Formulation

10 mM PBS

Format

Azide and BSA Free

Preservative

No Preservative

Concentration

1 mg/ml

Shipping

The product is shipped with polar packs. Upon receipt, store it immediately at the temperature recommended below.

Stability & Storage

Store at -20 to -80C. Avoid freeze-thaw cycles.

Background: Apolipoprotein D

The Apolipoprotein D gene encodes a component of high density lipoprotein that has no marked similarity to other apolipoproteinsequences. It has a high degree of homology to plasma retinol-binding protein and other members of the alpha 2microglobulin protein superfamily

Alternate Names

ApoD, Apo-D, apolipoprotein D

Gene Symbol

APOD

Additional Apolipoprotein D Products

Product Documents for Apolipoprotein D Antibody (APOD/3412) - Azide and BSA Free

Certificate of Analysis

To download a Certificate of Analysis, please enter a lot number in the search box below.

Product Specific Notices for Apolipoprotein D Antibody (APOD/3412) - Azide and BSA Free

This product is for research use only and is not approved for use in humans or in clinical diagnosis. Primary Antibodies are guaranteed for 1 year from date of receipt.

Loading...
Loading...
Loading...
Loading...