Skip to main content

Apolipoprotein CIII Antibody (8H12) - BSA Free

Novus Biologicals, part of Bio-Techne | Catalog # NBP3-15194

Recombinant monoclonal antibody expressed in HEK293F cells
Novus Biologicals, part of Bio-Techne
Catalog #
Availability
Size / Price
Qty
Loading...
NBP3-15194

Key Product Details

Species Reactivity

Human

Applications

ELISA, Immunohistochemistry

Label

Unconjugated

Antibody Source

Recombinant Monoclonal Rabbit IgG Clone # 8H12 expressed in HEK293

Format

BSA Free

Concentration

Please see the vial label for concentration. If unlisted please contact technical services.

Product Specifications

Immunogen

A synthesized peptide derived from human Apolipoprotein CIII. UniProt ID (P02656).

Clonality

Monoclonal

Host

Rabbit

Isotype

IgG

Description

Novus Biologicals Rabbit Apolipoprotein CIII Antibody (8H12) - BSA Free (NBP3-15194) is a recombinant monoclonal antibody validated for use in IHC and ELISA. All Novus Biologicals antibodies are covered by our 100% guarantee.

Scientific Data Images for Apolipoprotein CIII Antibody (8H12) - BSA Free

Immunohistochemistry: Apolipoprotein CIII Antibody (8H12) [NBP3-15194]

Immunohistochemistry: Apolipoprotein CIII Antibody (8H12) [NBP3-15194]

Immunohistochemistry: Apolipoprotein CIII Antibody (8H12) [NBP3-15194] - IHC image of Apolipoprotein CIII antibody diluted at 1:100 and staining in paraffin-embedded human liver tissue. After dewaxing and hydration, antigen retrieval was mediated by high pressure in a citrate buffer (pH 6.0). Section was blocked with 10% normal goat serum 30 minutes at RT. Then primary antibody (1% BSA) was incubated at 4C overnight. The primary is detected by a Goat anti-rabbit IgG polymer labeled by HRP and visualized using 0.05% DAB.
Immunohistochemistry: Apolipoprotein CIII Antibody (8H12) [NBP3-15194]

Immunohistochemistry: Apolipoprotein CIII Antibody (8H12) [NBP3-15194]

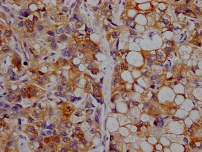
Immunohistochemistry: Apolipoprotein CIII Antibody (8H12) [NBP3-15194] - IHC image of Apolipoprotein CIII antibody diluted at 1:100 and staining in paraffin-embedded human liver cancer. After dewaxing and hydration, antigen retrieval was mediated by high pressure in a citrate buffer (pH 6.0). Section was blocked with 10% normal goat serum 30 minutes at RT. Then primary antibody (1% BSA) was incubated at 4C overnight. The primary is detected by a Goat anti-rabbit IgG polymer labeled by HRP and visualized using 0.05% DAB.

Applications for Apolipoprotein CIII Antibody (8H12) - BSA Free

Application
Recommended Usage

Immunohistochemistry

1:50-1:200

Formulation, Preparation, and Storage

Purification

Affinity purified

Formulation

PBS, pH 7.4, 150mM NaCl, and 50% glycerol

Format

BSA Free

Preservative

0.02% Sodium Azide

Concentration

Please see the vial label for concentration. If unlisted please contact technical services.

Shipping

The product is shipped with polar packs. Upon receipt, store it immediately at the temperature recommended below.

Stability & Storage

Store at -20 to -70C. Avoid freeze-thaw cycles.

Background: Apolipoprotein CIII

At least 9 distinct polymorphic forms of apolipoproteins are known. The apolipoproteins act as stabilizers of the intact lipoprotein particles. Quantitative measurements of HDL, LDL and VLDL particles in human serum are often used to estimate an individuals' relative risk of coronary heart disease. In addition, quantitative immunological measurements of certain apolipoproteins (especially A-1 and B) have been suggested to be more accurate estimators of coronary heart disease than measurements of lipoprotein particles (especially HDL and LDL). This apo-lipoprotein antibody is derived from human plasma by density gradient ultracentrifugation and HPLC.

Alternate Names

APOC3, APOCIII, apo-CIII, ApoC-III, Apolipoprotein C3, apolipoprotein C-III, MGC150353

Gene Symbol

APOC3

Additional Apolipoprotein CIII Products

Product Documents for Apolipoprotein CIII Antibody (8H12) - BSA Free

Certificate of Analysis

To download a Certificate of Analysis, please enter a lot number in the search box below.

Product Specific Notices for Apolipoprotein CIII Antibody (8H12) - BSA Free

This product is for research use only and is not approved for use in humans or in clinical diagnosis. Primary Antibodies are guaranteed for 1 year from date of receipt.

Loading...
Loading...
Loading...
Loading...