Skip to main content

Apolipoprotein CIII Antibody (3T7Y5)

Novus Biologicals, part of Bio-Techne | Catalog # NBP3-16093

Recombinant Monoclonal Antibody
Novus Biologicals, part of Bio-Techne
Catalog #
Availability
Size / Price
Qty
Loading...
NBP3-16093-100ul
NBP3-16093-20ul

Key Product Details

Species Reactivity

Human, Mouse

Applications

ELISA, Immunocytochemistry/ Immunofluorescence, Immunohistochemistry, Immunohistochemistry-Paraffin, Western Blot

Label

Unconjugated

Antibody Source

Recombinant Monoclonal Rabbit IgG Clone # 3T7Y5 expressed in HEK293

Concentration

Please see the vial label for concentration. If unlisted please contact technical services.

Product Specifications

Immunogen

A synthetic peptide corresponding to a sequence within amino acids 1-99 of human Apolipoprotein CIII (P02656). MQPRVLLVVALLALLASARASEAEDASLLSFMQGYMKHATKTAKDALSSVQESQVAQQARGWVTDGFSSLKDYWSTVKDKFSEFWDLDPEVRPTSAVAA

Clonality

Monoclonal

Host

Rabbit

Isotype

IgG

Theoretical MW

11 kDa.
Disclaimer note: The observed molecular weight of the protein may vary from the listed predicted molecular weight due to post translational modifications, post translation cleavages, relative charges, and other experimental factors.

Description

Novus Biologicals Rabbit Apolipoprotein CIII Antibody (3T7Y5) (NBP3-16093) is a recombinant monoclonal antibody validated for use in IHC, WB, ELISA and ICC/IF. All Novus Biologicals antibodies are covered by our 100% guarantee.

Scientific Data Images for Apolipoprotein CIII Antibody (3T7Y5)

Western Blot: Apolipoprotein CIII Antibody (3T7Y5) [NBP3-16093]

Western Blot: Apolipoprotein CIII Antibody (3T7Y5) [NBP3-16093]

Western Blot: Apolipoprotein CIII Antibody (3T7Y5) [NBP3-16093] - Western blot analysis of extracts of Human plasma cells, using Apolipoprotein CIII antibody (NBP3-16093) at 1:1000 dilution. Secondary antibody: HRP Goat Anti-Rabbit IgG (H+L) at 1:10000 dilution. Lysates/proteins: 25ug per lane. Blocking buffer: 3% nonfat dry milk in TBST. Detection: ECL Basic Kit. Exposure time: 5s.
Immunohistochemistry: Apolipoprotein CIII Antibody (3T7Y5) [NBP3-16093]

Immunohistochemistry: Apolipoprotein CIII Antibody (3T7Y5) [NBP3-16093]

Immunohistochemistry: Apolipoprotein CIII Antibody (3T7Y5) [NBP3-16093] - Immunofluorescence analysis of mouse liver using Apolipoprotein CIII Rabbit mAb (NBP3-16093) at dilution of 1:100 (40x lens). Blue: DAPI for nuclear staining.
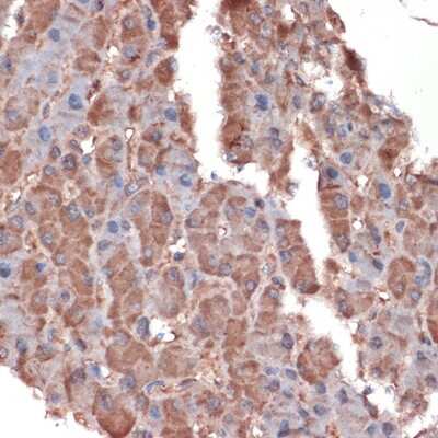
Immunohistochemistry-Paraffin: Apolipoprotein CIII Antibody (3T7Y5) [NBP3-16093]

Immunohistochemistry-Paraffin: Apolipoprotein CIII Antibody (3T7Y5) [NBP3-16093]

Immunohistochemistry-Paraffin: Apolipoprotein CIII Antibody (3T7Y5) [NBP3-16093] - Immunohistochemistry of paraffin-embedded human liver using Apolipoprotein CIII Rabbit mAb (NBP3-16093) at dilution of 1:100 (40x lens).Perform microwave antigen retrieval with 10 mM Tris/EDTA buffer pH 9.0 before commencing with IHC staining protocol.

Applications for Apolipoprotein CIII Antibody (3T7Y5)

Application
Recommended Usage

Immunocytochemistry/ Immunofluorescence

1:50 - 1:200

Immunohistochemistry

1:50 - 1:200

Western Blot

1:500 - 1:1000

Formulation, Preparation, and Storage

Purification

Affinity purified

Formulation

PBS (pH 7.3), 50% glycerol, 0.05% BSA

Preservative

0.02% Sodium Azide

Concentration

Please see the vial label for concentration. If unlisted please contact technical services.

Shipping

The product is shipped with polar packs. Upon receipt, store it immediately at the temperature recommended below.

Stability & Storage

Store at -20C. Avoid freeze-thaw cycles.

Background: Apolipoprotein CIII

At least 9 distinct polymorphic forms of apolipoproteins are known. The apolipoproteins act as stabilizers of the intact lipoprotein particles. Quantitative measurements of HDL, LDL and VLDL particles in human serum are often used to estimate an individuals' relative risk of coronary heart disease. In addition, quantitative immunological measurements of certain apolipoproteins (especially A-1 and B) have been suggested to be more accurate estimators of coronary heart disease than measurements of lipoprotein particles (especially HDL and LDL). This apo-lipoprotein antibody is derived from human plasma by density gradient ultracentrifugation and HPLC.

Alternate Names

APOC3, APOCIII, apo-CIII, ApoC-III, Apolipoprotein C3, apolipoprotein C-III, MGC150353

Gene Symbol

APOC3

Additional Apolipoprotein CIII Products

Product Documents for Apolipoprotein CIII Antibody (3T7Y5)

Certificate of Analysis

To download a Certificate of Analysis, please enter a lot number in the search box below.

Product Specific Notices for Apolipoprotein CIII Antibody (3T7Y5)

This product is for research use only and is not approved for use in humans or in clinical diagnosis. Primary Antibodies are guaranteed for 1 year from date of receipt.

Loading...
Loading...
Loading...
Loading...