Skip to main content

Apolipoprotein A-I/ApoA1 Antibody (JF0548)

Novus Biologicals, part of Bio-Techne | Catalog # NBP2-67161

Recombinant Monoclonal Antibody
Novus Biologicals, part of Bio-Techne
Catalog #
Availability
Size / Price
Qty
Loading...
NBP2-67161

Key Product Details

Species Reactivity

Human, Mouse

Applications

Immunohistochemistry, Immunohistochemistry-Paraffin, Western Blot, Immunocytochemistry/ Immunofluorescence, Immunoprecipitation

Label

Unconjugated

Antibody Source

Recombinant Monoclonal Rabbit IgG Clone # JF0548 expressed in HEK293

Concentration

1 mg/ml

Product Specifications

Immunogen

Synthetic peptide within human Apolipoprotein A-I/ApoA1 aa 1-50. (SwissProt: P02647 Human; SwissProt: Q00623 Mouse)

Localization

Secreted.

Clonality

Monoclonal

Host

Rabbit

Isotype

IgG

Scientific Data Images for Apolipoprotein A-I/ApoA1 Antibody (JF0548)

Western Blot: Apolipoprotein A-I/ApoA1 Antibody (JF0548) [NBP2-67161]

Western Blot: Apolipoprotein A-I/ApoA1 Antibody (JF0548) [NBP2-67161]

Western Blot: Apolipoprotein A-I/ApoA1 Antibody (JF0548) [NBP2-67161] - Analysis of Apolipoprotein A1 on human liver tissue lysates. Proteins were transferred to a PVDF membrane and blocked with 5% BSA in PBS for 1 hour at room temperature. The primary antibody (1/500) was used in 5% BSA at room temperature for 2 hours. Goat Anti-Rabbit IgG - HRP Secondary Antibody at 1:200,000 dilution was used for 1 hour at room temperature.
Immunocytochemistry/ Immunofluorescence: Apolipoprotein A-I/ApoA1 Antibody (JF0548) [NBP2-67161]

Immunocytochemistry/ Immunofluorescence: Apolipoprotein A-I/ApoA1 Antibody (JF0548) [NBP2-67161]

Immunocytochemistry/Immunofluorescence: Apolipoprotein A-I/ApoA1 Antibody (JF0548) [NBP2-67161] - Staining Apolipoprotein A1 in N2A cells (green). The nuclear counter stain is DAPI (blue). Cells were fixed in paraformaldehyde, permeabilised with 0.25% Triton X100/PBS.
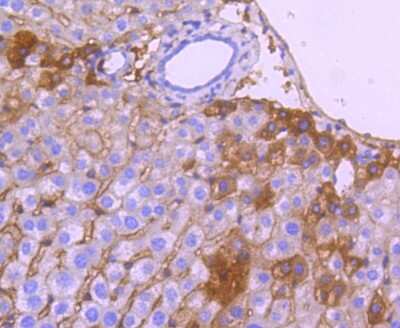
Immunohistochemistry-Paraffin: Apolipoprotein A-I/ApoA1 Antibody (JF0548) [NBP2-67161]

Immunohistochemistry-Paraffin: Apolipoprotein A-I/ApoA1 Antibody (JF0548) [NBP2-67161]

Immunohistochemistry-Paraffin: Apolipoprotein A-I/ApoA1 Antibody (JF0548) [NBP2-67161] - Analysis of paraffin-embedded mouse liver tissue using anti-Apolipoprotein A1 antibody. Counter stained with hematoxylin.

Applications for Apolipoprotein A-I/ApoA1 Antibody (JF0548)

Application
Recommended Usage

Immunocytochemistry/ Immunofluorescence

1:50-1:200

Immunohistochemistry-Paraffin

1:50-1:200

Western Blot

1:500-1:2000

Formulation, Preparation, and Storage

Purification

Protein A purified

Formulation

TBS (pH7.4), 0.05% BSA, 40% Glycerol

Preservative

0.05% Sodium Azide

Concentration

1 mg/ml

Shipping

The product is shipped with polar packs. Upon receipt, store it immediately at the temperature recommended below.

Stability & Storage

Store at 4C short term. Aliquot and store at -20C long term. Avoid freeze-thaw cycles.

Background: Apolipoprotein A-I/ApoA1

Apolipoprotein A1 (apo A1) is the major polypeptide of the human plasma high density lipoprotein (HDL). The structure and function of the apo A1 gene are of interest because of the inverse correlation shown between HDL levels and coronary heart disease (1). The 267 amino acid precursor initially undergoes intracellular co-translational proteolytic cleavage into proapoA-I. ProapoA-I is secreted from the cell and was isolated from thoracic duct lymph in the apoA-I1 isoform position. Results indicate that apo A1 is present in human plasma, and undergoes post-translational proteolytic cleavage to mature plasma apoA-I (2). Cleavage of this protein with cyanogen bromide yields four fragments designated in the order of elution from Bio-Gel P-30 as CNBr I, II, III, and IV (3).

Alternate Names

Alp-1, APOA1, Apolipoprotein AI, Brp-14, Ltw-1, Lvtw-1, Sep-1, Sep-2

Gene Symbol

APOA1

Additional Apolipoprotein A-I/ApoA1 Products

Product Documents for Apolipoprotein A-I/ApoA1 Antibody (JF0548)

Certificate of Analysis

To download a Certificate of Analysis, please enter a lot number in the search box below.

Product Specific Notices for Apolipoprotein A-I/ApoA1 Antibody (JF0548)

This product is for research use only and is not approved for use in humans or in clinical diagnosis. Primary Antibodies are guaranteed for 1 year from date of receipt.

Loading...
Loading...
Loading...
Loading...