Skip to main content

Amylin Antibody - BSA Free

Novus Biologicals, part of Bio-Techne | Catalog # NBP2-33680

Novus Biologicals, part of Bio-Techne
Catalog #
Availability
Size / Price
Qty
Loading...
NBP2-33680-25ul
NBP2-33680

Key Product Details

Validated by

Orthogonal Validation

Species Reactivity

Human

Applications

Immunohistochemistry, Immunohistochemistry-Paraffin

Label

Unconjugated

Antibody Source

Polyclonal Rabbit IgG

Format

BSA Free

Concentration

Concentrations vary lot to lot. See vial label for concentration. If unlisted please contact technical services.

Product Specifications

Immunogen

This antibody was developed against a recombinant protein corresponding to amino acids: LVHSSNNFGAILSSTNVGSNTYGKRNAVEVLKREPLNYLP

Clonality

Polyclonal

Host

Rabbit

Isotype

IgG

Description

Novus Biologicals Rabbit Amylin Antibody - BSA Free (NBP2-33680) is a polyclonal antibody validated for use in IHC. All Novus Biologicals antibodies are covered by our 100% guarantee.

Scientific Data Images for Amylin Antibody - BSA Free

Immunohistochemistry-Paraffin: Amylin Antibody [NBP2-33680]

Immunohistochemistry-Paraffin: Amylin Antibody [NBP2-33680]

Immunohistochemistry-Paraffin: Amylin Antibody [NBP2-33680] - Staining of human placenta shows no positivity in trophoblastic cells as expected.
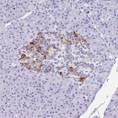
Immunohistochemistry: Amylin Antibody [NBP2-33680]

Immunohistochemistry: Amylin Antibody [NBP2-33680]

Immunohistochemistry: Amylin Antibody [NBP2-33680] - Staining of human pancreas shows distinct cytoplasmic positivity in islets of Langerhans.
Immunohistochemistry-Paraffin: Amylin Antibody [NBP2-33680]

Immunohistochemistry-Paraffin: Amylin Antibody [NBP2-33680]

Immunohistochemistry-Paraffin: Amylin Antibody [NBP2-33680] - Staining of human skeletal muscle shows no cytoplasmic positivity in myocytes as expected.

Applications for Amylin Antibody - BSA Free

Application
Recommended Usage

Immunohistochemistry

1:500 - 1:1000

Immunohistochemistry-Paraffin

1:500 - 1:1000
Application Notes
For IHC-Paraffin, HIER pH 6 retrieval is recommended.

Formulation, Preparation, and Storage

Purification

Immunogen affinity purified

Formulation

PBS (pH 7.2) and 40% Glycerol

Format

BSA Free

Preservative

0.02% Sodium Azide

Concentration

Concentrations vary lot to lot. See vial label for concentration. If unlisted please contact technical services.

Shipping

The product is shipped with polar packs. Upon receipt, store it immediately at the temperature recommended below.

Stability & Storage

Store at 4C short term. Aliquot and store at -20C long term. Avoid freeze-thaw cycles.

Background: Amylin

Amylin is commonly found in pancreatic islets of patients suffering diabetes mellitus type II, or harboring an insulinoma. While the association of amylin with the development of type II diabetes has been known for some time, a direct causative role for amylin has been harder to establish. Recent results suggest that amylin, like the related beta amyloid (Abeta) associated with Alzheimer's disease, can induce apoptotic cell death in particular cultured cells, an effect that may be relevant to the development of type II diabetes.

Alternate Names

AMYLIN, DAPamylin, Diabetes-associated peptide, IAP, Insulinoma amyloid peptide, islet amyloid polypeptide, Islet amyloid polypeptide (diabetes-associated peptide; amylin)

Gene Symbol

IAPP

UniProt

Additional Amylin Products

Product Documents for Amylin Antibody - BSA Free

Certificate of Analysis

To download a Certificate of Analysis, please enter a lot number in the search box below.

Product Specific Notices for Amylin Antibody - BSA Free

This product is for research use only and is not approved for use in humans or in clinical diagnosis. Primary Antibodies are guaranteed for 1 year from date of receipt.

Loading...
Loading...
Loading...
Loading...