Skip to main content

Amylin Antibody (R10/99) - BSA Free

Novus Biologicals, part of Bio-Techne | Catalog # NB600-713

Novus Biologicals, part of Bio-Techne
Catalog #
Availability
Size / Price
Qty
Loading...
NB600-713-0.25ml
NB600-713

Key Product Details

Species Reactivity

Human

Applications

Immunohistochemistry, Immunohistochemistry-Paraffin, Immunohistochemistry-Frozen

Label

Unconjugated

Antibody Source

Monoclonal Mouse IgG1 Clone # R10/99

Format

BSA Free

Concentration

This product is unpurified. The exact concentration of antibody is not quantifiable.

Product Specifications

Immunogen

A peptide CATQRLANFLV corresponding to residues 40-50 of human IAPP coupled to tuberculin

Localization

Cytoplasmic and Secreted

Specificity

The is of high affinity, and stains islet amyloid peptide in intra-cellular insulin granules, intra-cellular amyloid and extra-cellular islet amyloid.

Clonality

Monoclonal

Host

Mouse

Isotype

IgG1

Description

Novus Biologicals Mouse Amylin Antibody (R10/99) - BSA Free (NB600-713) is a monoclonal antibody validated for use in IHC. Anti-Amylin Antibody: Cited in 7 publications. All Novus Biologicals antibodies are covered by our 100% guarantee.

Scientific Data Images for Amylin Antibody (R10/99) - BSA Free

Immunocytochemistry/ Immunofluorescence: Amylin Antibody (R10/99) [NB600-713]

Immunocytochemistry/ Immunofluorescence: Amylin Antibody (R10/99) [NB600-713]

Immunocytochemistry/Immunofluorescence: Amylin Antibody (R10/99) [NB600-713] - Staining of paraffin embedded human pancreas using Guinea Pig anti-Pig Insulin antibody (A) and Mouse anti-Human Amylin antibody (B). Merged image showing co-localization of the two proteins (C). DAPI was used as nuclear counterstain (blue)
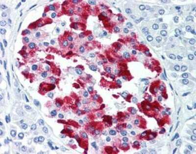
Immunohistochemistry-Paraffin: Amylin Antibody (R10/99) [NB600-713]

Immunohistochemistry-Paraffin: Amylin Antibody (R10/99) [NB600-713]

Immunohistochemistry-Paraffin: Amylin Antibody (R10/99) [NB600-713] - Human pancreas with Mouse anti Human Amylin Peptide, showing labeling of Islet of Langerhans.

Applications for Amylin Antibody (R10/99) - BSA Free

Application
Recommended Usage

Immunohistochemistry

1:10-1:500

Immunohistochemistry-Frozen

1:100

Immunohistochemistry-Paraffin

1:100
Application Notes
IHC-P: Use at a dilution of 1/100. Antigen retrieval is not essential but may optimise staining.IHC-Fr: Use at a dilution of 1/100. This product does not require protein digestion pre-treatment of paraffin sections. This product does not require antigen retrieval using heat treatment prior to staining of paraffin sections.

Formulation, Preparation, and Storage

Purification

Tissue culture supernatant

Formulation

Tissue culture supernatant

Format

BSA Free

Preservative

<0.1% Sodium Azide

Concentration

This product is unpurified. The exact concentration of antibody is not quantifiable.

Shipping

The product is shipped with polar packs. Upon receipt, store it immediately at the temperature recommended below.

Stability & Storage

Store at 4C short term. Aliquot and store at -20C long term. Avoid freeze-thaw cycles.

Background: Amylin

Amylin is commonly found in pancreatic islets of patients suffering diabetes mellitus type II, or harboring an insulinoma. While the association of amylin with the development of type II diabetes has been known for some time, a direct causative role for amylin has been harder to establish. Recent results suggest that amylin, like the related beta amyloid (Abeta) associated with Alzheimer's disease, can induce apoptotic cell death in particular cultured cells, an effect that may be relevant to the development of type II diabetes.

Alternate Names

AMYLIN, DAPamylin, Diabetes-associated peptide, IAP, Insulinoma amyloid peptide, islet amyloid polypeptide, Islet amyloid polypeptide (diabetes-associated peptide; amylin)

Entrez Gene IDs

3375 (Human)

Gene Symbol

IAPP

UniProt

Additional Amylin Products

Product Documents for Amylin Antibody (R10/99) - BSA Free

Certificate of Analysis

To download a Certificate of Analysis, please enter a lot number in the search box below.

Product Specific Notices for Amylin Antibody (R10/99) - BSA Free

This product is for research use only and is not approved for use in humans or in clinical diagnosis. Primary Antibodies are guaranteed for 1 year from date of receipt.

Loading...
Loading...
Loading...
Loading...