Skip to main content

alpha-Galactosidase A/GLA Antibody - BSA Free

Novus Biologicals, part of Bio-Techne | Catalog # NBP1-89796

Novus Biologicals, part of Bio-Techne
Catalog #
Availability
Size / Price
Qty
Loading...
NBP1-89796
NBP1-89796-25ul

Key Product Details

Validated by

Orthogonal Validation, Independent Antibodies

Species Reactivity

Validated:

Human, Mouse

Cited:

Mouse

Applications

Validated:

Immunohistochemistry, Immunohistochemistry-Paraffin

Cited:

IF/IHC

Label

Unconjugated

Antibody Source

Polyclonal Rabbit IgG

Format

BSA Free

Concentration

Concentrations vary lot to lot. See vial label for concentration. If unlisted please contact technical services.

Product Specifications

Immunogen

This antibody was developed against Recombinant Protein corresponding to amino acids: HISPQAKALLQDKDVIAINQDPLGKQGYQLRQGDNFEVWERPLSGLAWAVAMINRQEIGGPRSYTIAVASLGKGVACNPACFITQLLPVKRKLGFYEWTSRLRSHINPTGT

Reactivity Notes

Mouse reactivity reported in scientific literature (PMID: 25915924).

Clonality

Polyclonal

Host

Rabbit

Isotype

IgG

Description

Novus Biologicals Rabbit alpha-Galactosidase A/GLA Antibody - BSA Free (NBP1-89796) is a polyclonal antibody validated for use in IHC. Anti-alpha-Galactosidase A/GLA Antibody: Cited in 1 publication. All Novus Biologicals antibodies are covered by our 100% guarantee.

Scientific Data Images for alpha-Galactosidase A/GLA Antibody - BSA Free

Immunohistochemistry-Paraffin: alpha-Galactosidase A/GLA Antibody [NBP1-89796]

Immunohistochemistry-Paraffin: alpha-Galactosidase A/GLA Antibody [NBP1-89796]

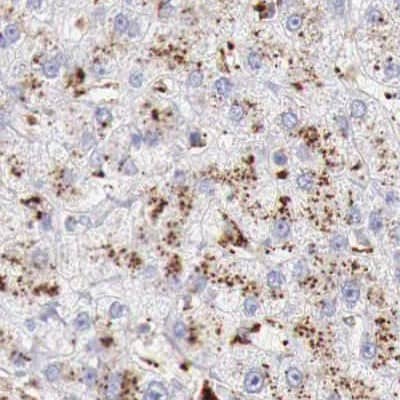
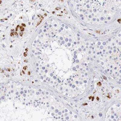
Immunohistochemistry-Paraffin: alpha-Galactosidase A/GLA Antibody [NBP1-89796] - Staining of human adrenal gland, colon, liver and testis using Anti-GLA antibody NBP1-89796 (A) shows similar protein distribution across tissues to independent antibody NBP1-89797 (B).
alpha-Galactosidase A/GLA Antibody - BSA Free Immunohistochemistry-Paraffin: alpha-Galactosidase A/GLA Antibody - BSA Free [NBP1-89796]

Immunohistochemistry-Paraffin: alpha-Galactosidase A/GLA Antibody - BSA Free [NBP1-89796]

Analysis in human seminal vesicle and skeletal muscle tissues using NBP1-89796 antibody. Corresponding GLA RNA-seq data are presented for the same tissues.
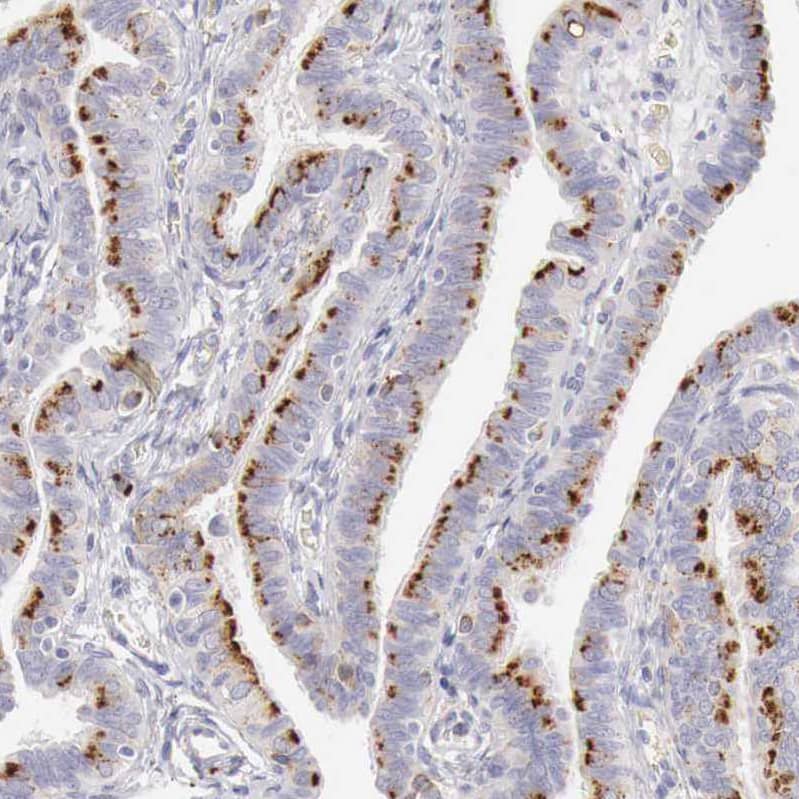
alpha-Galactosidase A/GLA Antibody - BSA Free Immunohistochemistry-Paraffin: alpha-Galactosidase A/GLA Antibody - BSA Free [NBP1-89796]

Immunohistochemistry-Paraffin: alpha-Galactosidase A/GLA Antibody - BSA Free [NBP1-89796]

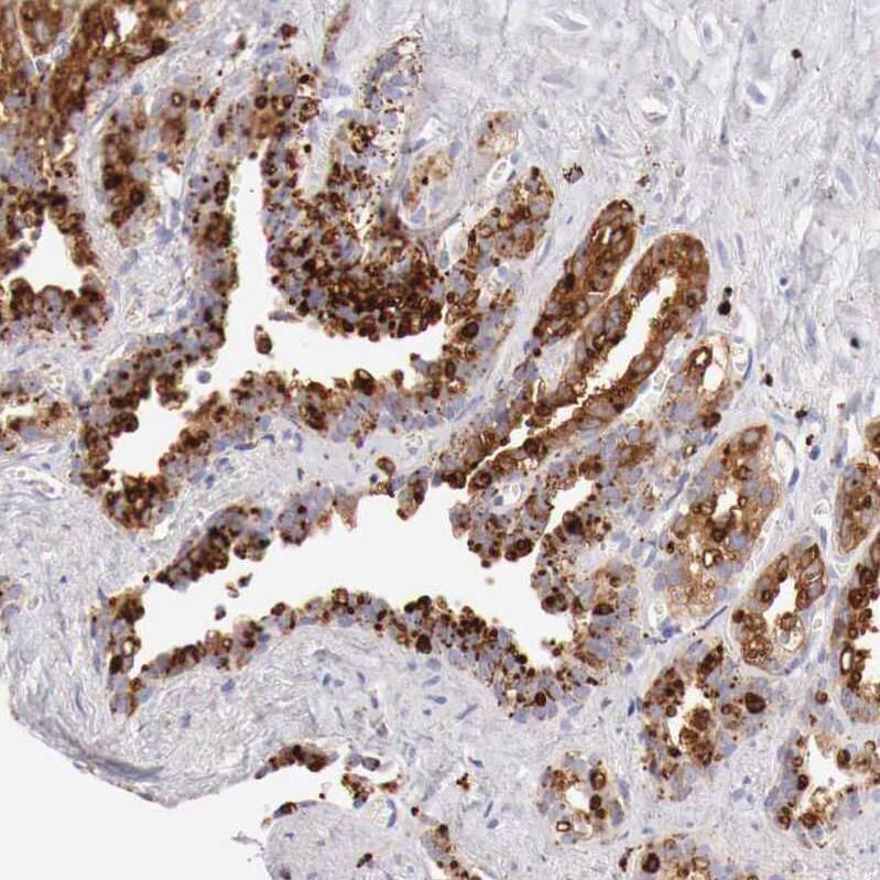
Staining of human seminal vesicle shows moderate to strong positivity in lysosomes in glandular cells.

Applications for alpha-Galactosidase A/GLA Antibody - BSA Free

Application
Recommended Usage

Immunohistochemistry

1:500 - 1:1000

Immunohistochemistry-Paraffin

1:500 - 1:1000
Application Notes
For IHC-Paraffin, HIER pH 6 retrieval is recommended.

Formulation, Preparation, and Storage

Purification

Affinity purified

Formulation

PBS (pH 7.2) and 40% Glycerol

Format

BSA Free

Preservative

0.02% Sodium Azide

Concentration

Concentrations vary lot to lot. See vial label for concentration. If unlisted please contact technical services.

Shipping

The product is shipped with polar packs. Upon receipt, store it immediately at the temperature recommended below.

Stability & Storage

Store at 4C short term. Aliquot and store at -20C long term. Avoid freeze-thaw cycles.

Background: alpha-Galactosidase A/GLA

Galactosidase alpha encodes a homodimeric glycoprotein that hydrolyses the terminal alpha-galactosyl moieties from glycolipids and glycoproteins. This enzyme predominantly hydrolyzes ceramide trihexoside, and it can catalyze the hydrolysis of melibiose into galactose and glucose. A variety of mutations in this gene affect the synthesis, processing, and stability of this enzyme, which causes Fabry disease, a rare lysosomal storage disorder that results from a failure to catabolize alpha-D-galactosyl glycolipid moieties. [provided by RefSeq]

Alternate Names

Agalsidase alpha, GALA, Melibiase

Gene Symbol

GLA

Additional alpha-Galactosidase A/GLA Products

Product Documents for alpha-Galactosidase A/GLA Antibody - BSA Free

Certificate of Analysis

To download a Certificate of Analysis, please enter a lot number in the search box below.

Product Specific Notices for alpha-Galactosidase A/GLA Antibody - BSA Free

This product is for research use only and is not approved for use in humans or in clinical diagnosis. Primary Antibodies are guaranteed for 1 year from date of receipt.

Loading...
Loading...
Loading...
Loading...