Skip to main content

alpha-Aminoadipate Aminotransferase Antibody - BSA Free

Novus Biologicals, part of Bio-Techne | Catalog # NBP3-14538

Novus Biologicals, part of Bio-Techne
Catalog #
Availability
Size / Price
Qty
Loading...
NBP3-14538

Key Product Details

Species Reactivity

Validated:

Human

Predicted:

Primate (94%). Backed by our 100% Guarantee.

Applications

Immunohistochemistry, Immunohistochemistry-Paraffin

Label

Unconjugated

Antibody Source

Polyclonal Rabbit

Format

BSA Free

Concentration

1 mg/ml

Product Specifications

Immunogen

Synthetic 17 amino acid peptide from internal region of human alpha-Aminoadipate Aminotransferase.

Epitope

Internal

Reactivity Notes

Expected reactivity based on percent sequence identity: Marmoset (88%), Porcine (82%)

Specificity

Human alpha-Aminoadipate Aminotransferase. BLAST analysis of the peptide immunogen showed no homology with other human proteins.

Clonality

Polyclonal

Host

Rabbit

Description

Product can be stored undiluted at 4C for up to 1 month.

Scientific Data Images for alpha-Aminoadipate Aminotransferase Antibody - BSA Free

Immunohistochemistry-Paraffin: alpha-Aminoadipate Aminotransferase Antibody [NBP3-14538]

Immunohistochemistry-Paraffin: alpha-Aminoadipate Aminotransferase Antibody [NBP3-14538]

Immunohistochemistry-Paraffin: alpha-Aminoadipate Aminotransferase Antibody [NBP3-14538] - Immunohistochemistry of formalin-fixed, paraffin-embedded human colon carcimona after heat-induced antigen retrieval.
Immunohistochemistry-Paraffin: alpha-Aminoadipate Aminotransferase Antibody [NBP3-14538]

Immunohistochemistry-Paraffin: alpha-Aminoadipate Aminotransferase Antibody [NBP3-14538]

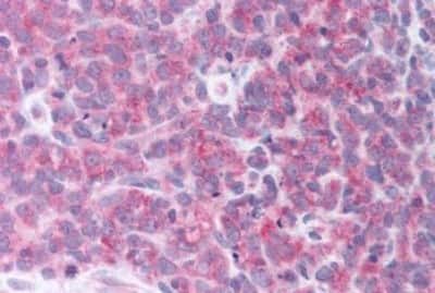
Immunohistochemistry-Paraffin: alpha-Aminoadipate Aminotransferase Antibody [NBP3-14538] - Immunohistochemistry of formalin-fixed, paraffin-embedded human lymph node, non-Hodgkins lymphoma, after heat-induced antigen retrieval.
Immunohistochemistry-Paraffin: alpha-Aminoadipate Aminotransferase Antibody [NBP3-14538]

Immunohistochemistry-Paraffin: alpha-Aminoadipate Aminotransferase Antibody [NBP3-14538]

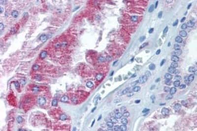
Immunohistochemistry-Paraffin: alpha-Aminoadipate Aminotransferase Antibody [NBP3-14538] - Immunohistochemistry of formalin-fixed, paraffin-embedded human kidney after heat-induced antigen retrieval.

Applications for alpha-Aminoadipate Aminotransferase Antibody - BSA Free

Application
Recommended Usage

Immunohistochemistry

Optimal dilutions of this antibody should be experimentally determined.

Immunohistochemistry-Paraffin

Optimal dilutions of this antibody should be experimentally determined.
Application Notes
.

Formulation, Preparation, and Storage

Purification

Immunogen affinity purified

Formulation

PBS

Format

BSA Free

Preservative

0.1% Sodium Azide

Concentration

1 mg/ml

Shipping

The product is shipped with polar packs. Upon receipt, store it immediately at the temperature recommended below.

Stability & Storage

Keep as concentrated solution. Aliquot and store at -20C or below. Avoid multiple freeze-thaw cycles.

Background: alpha-Aminoadipate Aminotransferase

Aminoadipate aminotransferase (AADAT) is a protein that is highly similar to mouse and rat kynurenine aminotransferase II. The rat protein is a homodimer with two transaminase activities. One activity is the transamination of alpha-aminoadipic acid, a final step in the saccaropine pathway which is the major pathway for L-lysine catabolism. The other activity involves the transamination of kynurenine to produce kynurenine acid, the precursor of kynurenic acid which has neuroprotective properties. Two alternative transcripts encoding the same isoform have been identified, however, additional alternative transcripts and isoforms may exist.

Long Name

alpha-Aminoadipate Aminotransferase

Alternate Names

AADAT, alphaAminoadipate Aminotransferase, KAT2

Gene Symbol

AADAT

Additional alpha-Aminoadipate Aminotransferase Products

Product Documents for alpha-Aminoadipate Aminotransferase Antibody - BSA Free

Certificate of Analysis

To download a Certificate of Analysis, please enter a lot number in the search box below.

Product Specific Notices for alpha-Aminoadipate Aminotransferase Antibody - BSA Free

This product is for research use only and is not approved for use in humans or in clinical diagnosis. Primary Antibodies are guaranteed for 1 year from date of receipt.

Loading...
Loading...
Loading...
Loading...