Skip to main content

Alpha Actinin 4 Antibody (RM287)

Novus Biologicals, part of Bio-Techne | Catalog # NBP2-61485

Recombinant Monoclonal Antibody.
Novus Biologicals, part of Bio-Techne
Catalog #
Availability
Size / Price
Qty
Loading...
NBP2-61485

Key Product Details

Species Reactivity

Human

Applications

Immunohistochemistry, Immunohistochemistry-Paraffin, Western Blot

Label

Unconjugated

Antibody Source

Recombinant Monoclonal Rabbit IgG Clone # RM287 expressed in HEK293

Concentration

Please see the vial label for concentration. If unlisted please contact technical services.

Product Specifications

Immunogen

A peptide corresponding to the N-terminus of Human Alpha Actinin 4

Clonality

Monoclonal

Host

Rabbit

Isotype

IgG

Description

Novus Biologicals Rabbit Alpha Actinin 4 Antibody (RM287) (NBP2-61485) is a recombinant monoclonal antibody validated for use in IHC and WB. All Novus Biologicals antibodies are covered by our 100% guarantee.

Scientific Data Images for Alpha Actinin 4 Antibody (RM287)

Western Blot: Alpha Actinin 4 Antibody (RM287) [NBP2-61485] -

Western Blot: Alpha Actinin 4 Antibody (RM287) [NBP2-61485] - Western Blot of HeLa cells lysates using NBP2-61485 at a 1:1000 dilution.
Alpha Actinin 4 Antibody (RM287)

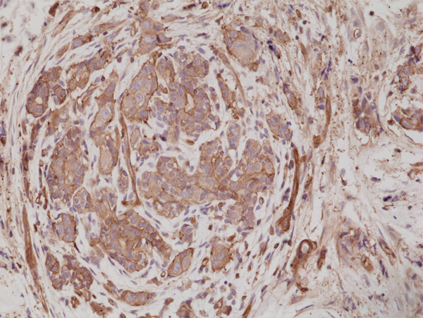
Immunohistochemistry-Paraffin: Alpha Actinin 4 Antibody (RM287) [NBP2-61485] -

Immunohistochemistry-Paraffin: Alpha Actinin 4 Antibody (RM287) [NBP2-61485] - Immunohistochemical staining of formalin fixed and paraffin embedded human breast cancer tissue sections using NBP2-61485 at a 1:200 dilution

Applications for Alpha Actinin 4 Antibody (RM287)

Application
Recommended Usage

Immunohistochemistry

1:100 - 1:200

Immunohistochemistry-Paraffin

1:100-1:200

Western Blot

1:1000-1:2000

Formulation, Preparation, and Storage

Purification

Protein A purified

Formulation

50% Glycerol/PBS, 1% BSA

Preservative

0.09% Sodium Azide

Concentration

Please see the vial label for concentration. If unlisted please contact technical services.

Shipping

The product is shipped with polar packs. Upon receipt, store it immediately at the temperature recommended below.

Stability & Storage

Store at -20C. Avoid freeze-thaw cycles.

Background: Alpha Actinin 4

Alpha actinins belong to the spectrin gene superfamily which represents a diverse group of cytoskeletal proteins, including the alpha and beta spectrins and dystrophins. Alpha actinin is an actin-binding protein with multiple roles in different cell types. In nonmuscle cells, the cytoskeletal isoform is found along microfilament bundles and adherens-type junctions, where it is involved in binding actin to the membrane. In contrast, skeletal, cardiac, and smooth muscle isoforms are localized to the Z-disc and analogous dense bodies, where they help anchor the myofibrillar actin filaments. This gene encodes a nonmuscle, alpha actinin isoform which is concentrated in the cytoplasm, and thought to be involved in metastatic processes. Mutations in this gene have been associated with focal and segmental glomerulosclerosis.

Alternate Names

actinin alpha4 isoform, actinin, alpha 4, ACTININ-4, alpha-actinin-4, DKFZp686K23158, F-actin cross-linking protein, focal segmental glomerulosclerosis 1, FSGS, FSGS1, Non-muscle alpha-actinin 4

Gene Symbol

ACTN4

Additional Alpha Actinin 4 Products

Product Documents for Alpha Actinin 4 Antibody (RM287)

Certificate of Analysis

To download a Certificate of Analysis, please enter a lot number in the search box below.

Product Specific Notices for Alpha Actinin 4 Antibody (RM287)

This product is for research use only and is not approved for use in humans or in clinical diagnosis. Primary Antibodies are guaranteed for 1 year from date of receipt.

Loading...
Loading...
Loading...
Loading...