Skip to main content

Alpha Actinin 2 Antibody (ACTN2/3293)

Novus Biologicals, part of Bio-Techne | Catalog # NBP2-79705

Novus Biologicals, part of Bio-Techne
Catalog #
Availability
Size / Price
Qty
Loading...
NBP2-79705-100ug
NBP2-79705-20ug

Key Product Details

Species Reactivity

Human

Applications

Immunohistochemistry, Immunohistochemistry-Paraffin, Western Blot, Protein Array

Label

Unconjugated

Antibody Source

Monoclonal Mouse IgG1 kappa Clone # ACTN2/3293

Concentration

0.2 mg/ml

Product Specifications

Immunogen

A recombinant fragment (aa557-692) of human Alpha Actinin 2 protein (exact sequence is proprietary) (Uniprot: P35609)

Localization

Cytoplasmic

Clonality

Monoclonal

Host

Mouse

Isotype

IgG1 kappa

Theoretical MW

103 kDa.
Disclaimer note: The observed molecular weight of the protein may vary from the listed predicted molecular weight due to post translational modifications, post translation cleavages, relative charges, and other experimental factors.

Description

200ug/ml of antibody purified from Bioreactor Concentrate by Protein A or G. Prepared in 10 mM PBS with 0.05% BSA & 0.05% azide. Also available WITHOUT BSA & azide at 1.0 mg/ml. (NBP2-79839)

Antibody with azide - store at 2 to 8C. Antibody without azide - store at -20 to -80C.

Scientific Data Images for Alpha Actinin 2 Antibody (ACTN2/3293)

Western Blot: Alpha Actinin 2 Antibody (ACTN2/3293) [NBP2-79705]

Western Blot: Alpha Actinin 2 Antibody (ACTN2/3293) [NBP2-79705]

Western Blot: Alpha Actinin 2 Antibody (ACTN2/3293) [NBP2-79705] - Western Blot of human skeletal muscle tissue lysates using Alpha Actinin 2 Antibody (ACTN2/3293).
Immunohistochemistry-Paraffin: Alpha Actinin 2 Antibody (ACTN2/3293) [NBP2-79705]

Immunohistochemistry-Paraffin: Alpha Actinin 2 Antibody (ACTN2/3293) [NBP2-79705]

Immunohistochemistry-Paraffin: Alpha Actinin 2 Antibody (ACTN2/3293) [NBP2-79705] - Formalin-fixed, paraffin-embedded human cardiac muscle stained with Alpha Actinin 2 Antibody (ACTN2/3293).
Immunohistochemistry-Paraffin: Alpha Actinin 2 Antibody (ACTN2/3293) [NBP2-79705]

Immunohistochemistry-Paraffin: Alpha Actinin 2 Antibody (ACTN2/3293) [NBP2-79705]

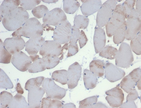
Immunohistochemistry-Paraffin: Alpha Actinin 2 Antibody (ACTN2/3293) [NBP2-79705] - Formalin-fixed, paraffin-embedded human Skeletal Muscle stained with Alpha Actinin 2 Antibody (ACTN2/3293).

Applications for Alpha Actinin 2 Antibody (ACTN2/3293)

Application
Recommended Usage

Immunohistochemistry

1-2 ug/ml

Immunohistochemistry-Paraffin

1-2 ug/ml

Western Blot

1-2 ug/ml
Application Notes
Immunohistochemistry (Formalin-fixed): 1-2ug/ml for 30 minutes at RT. Staining of formalin-fixed tissues requires heating tissue sections in 10mM Tris with 1mM EDTA, pH 9.0, for 45 min at 95C followed by cooling at RT for 20 minutes.
Optimal dilution for a specific application should be determined.

Formulation, Preparation, and Storage

Purification

Protein A or G purified

Formulation

10 mM PBS with 0.05% BSA

Preservative

0.05% Sodium Azide

Concentration

0.2 mg/ml

Shipping

The product is shipped with polar packs. Upon receipt, store it immediately at the temperature recommended below.

Stability & Storage

Store at 4C.

Background: alpha Actinin 2

Alpha actinin 2 is an actin binding proteins that carry out different purposes in different different cell types. Skeletal, cardiac, and smooth muscle isoforms are localized to the Z disc and analogous dense bodies, where they help anchor the myofibrillar actin filaments. ACTN2 encodes a muscle-specific, alpha actinin isoform that is expressed in both skeletal and cardiac muscles. There are several known transcript variants that result from the use of multiple polyA+ sites. ACTN2 has the ability to form both homo- and heterodimers (with ACTN3).

Long Name

Actinin alpha 2

Alternate Names

Actinin alpha 2, Actinin-a2, ACTN2, alpha-Actinin 2, Alpha-Actinin Skeletal Muscle, Alpha-Actinin-2, CMD1AA

Gene Symbol

ACTN2

UniProt

Additional alpha Actinin 2 Products

Product Documents for Alpha Actinin 2 Antibody (ACTN2/3293)

Certificate of Analysis

To download a Certificate of Analysis, please enter a lot number in the search box below.

Product Specific Notices for Alpha Actinin 2 Antibody (ACTN2/3293)

This product is for research use only and is not approved for use in humans or in clinical diagnosis. Primary Antibodies are guaranteed for 1 year from date of receipt.

Loading...
Loading...
Loading...
Loading...