Skip to main content

Alkaline Phosphatase/ALPP/ALPI Antibody (rALP/870) - Azide and BSA Free

Novus Biologicals, part of Bio-Techne | Catalog # NBP3-49646

Novus Biologicals, part of Bio-Techne
Catalog #
Availability
Size / Price
Qty
Loading...
NBP3-49646

Key Product Details

Species Reactivity

Human

Applications

Immunohistochemistry, Western Blot

Label

Unconjugated

Antibody Source

Monoclonal Mouse IgG1 kappa Clone # rALP/870

Format

Azide and BSA Free

Concentration

Please see the vial label for concentration. If unlisted please contact technical services.

Product Specifications

Immunogen

Recombinant full-length human ALPP protein (Uniprot: P05187)

Localization

Cell membrane

Specificity

Reacts with a 70kDa membrane-bound isozyme (Regan and Nagao type) of Placental Alkaline Phosphatase (PLAP) occurring in the placenta during the 3rd trimester of gestation. It is highly specific for PLAP and shows no cross-reaction with other isozymes of alkaline phosphatase. Anti-PLAP reacts with germ cell tumors and can discriminate between these and other neoplasms. Somatic neoplasms e.g. breast, gastrointestinal, prostatic, and urinary cancers may also immunoreact with antibodies to PLAP. Anti-PLAP positivity in conjunction with anti-keratin negativity favors seminoma over carcinoma. Germ cell tumors are usually anti-keratin positive, but they regularly fail to stain with anti-EMA, whereas most carcinomas stain with anti-EMA. Anti-PLAP has been useful in the diagnosis of gestational trophoblastic disease.

Clonality

Monoclonal

Host

Mouse

Isotype

IgG1 kappa

Theoretical MW

70 kDa.
Disclaimer note: The observed molecular weight of the protein may vary from the listed predicted molecular weight due to post translational modifications, post translation cleavages, relative charges, and other experimental factors.

Description

Prepared in 10mM PBS WITHOUT BSA & azide at 1.0mg/ml. Also availabe with 0.05% BSA & 0.05% azide.

Antibody with azide - store at 2 to 8 C. Antibody without azide - store at -20 to -80 C. Antibody is stable for 24 months. Non-hazardous.

Scientific Data Images

Alkaline Phosphatase/ALPP/ALPI Antibody (rALP/870) - Azide and BSA Free

Immunohistochemistry-Paraffin: Alkaline Phosphatase/ALPP/ALPI Antibody (rALP/870) - Azide and BSA Free [NBP3-49646] -

IHC analysis of formalin-fixed, paraffin-embedded human kidney. Negative tissue control using Alkaline Phosphatase/ALPP/ALPI Antibody (rALP/870) - Azide and BSA Free at 2ug/ml in PBS for 30min RT. HIER: Tris/EDTA, pH9.0, 45min. 2 °: HRP-polymer, 30min. DAB, 5min.
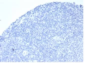
Alkaline Phosphatase/ALPP/ALPI Antibody (rALP/870) - Azide and BSA Free

Immunohistochemistry-Paraffin: Alkaline Phosphatase/ALPP/ALPI Antibody (rALP/870) - Azide and BSA Free [NBP3-49646] -

IHC analysis of formalin-fixed, paraffin-embedded human tonsil. Negative tissue control using Alkaline Phosphatase/ALPP/ALPI Antibody (rALP/870) - Azide and BSA Free at 2ug/ml in PBS for 30min RT. HIER: Tris/EDTA, pH9.0, 45min. 2 °: HRP-polymer, 30min. DAB, 5min.
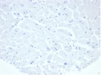
Alkaline Phosphatase/ALPP/ALPI Antibody (rALP/870) - Azide and BSA Free

Immunohistochemistry-Paraffin: Alkaline Phosphatase/ALPP/ALPI Antibody (rALP/870) - Azide and BSA Free [NBP3-49646] -

IHC analysis of formalin-fixed, paraffin-embedded human heart. Negative tissue control using Alkaline Phosphatase/ALPP/ALPI Antibody (rALP/870) - Azide and BSA Free at 2ug/ml in PBS for 30min RT. HIER: Tris/EDTA, pH9.0, 45min. 2 °: HRP-polymer, 30min. DAB, 5min.

Applications

Application
Recommended Usage

Immunohistochemistry

Optimal dilutions of this antibody should be experimentally determined.

Western Blot

Optimal dilutions of this antibody should be experimentally determined.

Formulation, Preparation, and Storage

Purification

Protein A or G purified

Formulation

10 mM PBS

Format

Azide and BSA Free

Preservative

No Preservative

Concentration

Please see the vial label for concentration. If unlisted please contact technical services.

Shipping

The product is shipped with polar packs. Upon receipt, store it immediately at the temperature recommended below.

Stability & Storage

Store at -20 to -80C. Avoid freeze-thaw cycles.

Background: Alkaline Phosphatase/ALPP/ALPI

The protein encoded by this gene is an alkaline phosphatase, a metalloenzyme that catalyzes the hydrolysis of phosphoric acid monoesters. It belongs to a multigene family composed of four alkaline phosphatase isoenzymes. The enzyme functions as a homodimer and has a catalytic site containing one magnesium and two zinc ions, which are required for its enzymatic function. One of the main sources of this enzyme is the liver, and thus, it's one of several indicators of liver injury in different clinical conditions. In pregnant women, this protein is primarily expressed in placental and endometrial tissue, however, strong ectopic expression has been detected in ovarian adenocarcinoma, serous cystadenocarcinoma, and other ovarian cancer cells.

Alternate Names

Alkaline phosphatase Regan isozyme, alkaline phosphatase, placental type, alkaline phosphomonoesterase, ALP, ALPI, EC 3.1.3.1, glycerophosphatase, IAP, Intestinal alkaline phosphatase, intestinal-type alkaline phosphatase, PALP, Placental alkaline phosphatase 1, PLAP, PLAP-1

Gene Symbol

ALPP

Additional Alkaline Phosphatase/ALPP/ALPI Products

Product Documents

Certificate of Analysis

To download a Certificate of Analysis, please enter a lot number in the search box below.

Product Specific Notices

This product is for research use only and is not approved for use in humans or in clinical diagnosis. Primary Antibodies are guaranteed for 1 year from date of receipt.

Loading...
Loading...
Loading...
Loading...