Skip to main content

ALDH7A1 Antibody - Azide and BSA Free

Novus Biologicals, part of Bio-Techne | Catalog # NBP2-99843

Novus Biologicals, part of Bio-Techne
Catalog #
Availability
Size / Price
Qty
Loading...
NBP2-99843-100ul
NBP2-99843-50ul
Conjugate
Catalog #

Key Product Details

Species Reactivity

Human

Applications

Immunohistochemistry, Immunohistochemistry-Paraffin, Western Blot, ELISA, Immunoprecipitation

Label

Unconjugated

Antibody Source

Polyclonal Rabbit IgG

Format

Azide and BSA Free

Concentration

Please see the vial label for concentration. If unlisted please contact technical services.

Product Specifications

Immunogen

Produced in rabbits immunized with purified, recombinant Human ALDH7A1 (Uniprot#: P49419-2; Ser 2-Gln 511).

Clonality

Polyclonal

Host

Rabbit

Isotype

IgG

Description

This antibody can be stored at 2C to 8C for one month without detectable loss of activity. Antibody products are stable for twelve months from date of receipt when stored at -20C to -80C. Avoid repeated freeze-thaw cycles.

Scientific Data Images for ALDH7A1 Antibody - Azide and BSA Free

Western Blot: ALDH7A1 Antibody [NBP2-99843]

Western Blot: ALDH7A1 Antibody [NBP2-99843]

Western Blot: ALDH7A1 Antibody [NBP2-99843] - Anti-ALDH7A1 rabbit polyclonal antibody at 1:500 dilution. Lane A: HepG2 Whole Cell Lysate. Lane B: SH-SY5Y Whole Cell Lysate. Lane C: 293T Whole Cell Lysate. Lysates/proteins at 30 ug per lane. Secondary Goat Anti-Rabbit IgG H&L (Dylight 800) at 1/10000 dilution. Developed using the Odyssey technique. Performed under reducing conditions. Predicted band size: 58 kDa. Observed band size: 58 kDa (We are unsure as to the identity of these extra bands).
Immunohistochemistry-Paraffin: ALDH7A1 Antibody [NBP2-99843]

Immunohistochemistry-Paraffin: ALDH7A1 Antibody [NBP2-99843]

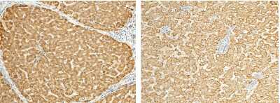
Immunohistochemistry-Paraffin: ALDH7A1 Antibody [NBP2-99843] - Immunochemical staining of human ALDH7A1 in human liver (from 2 donors) with rabbit polyclonal antibody at 1:25000 dilution, formalin-fixed paraffin embedded sections. The image showing positive staining of hepatocyte.
Immunohistochemistry-Paraffin: ALDH7A1 Antibody [NBP2-99843]

Immunohistochemistry-Paraffin: ALDH7A1 Antibody [NBP2-99843]

Immunohistochemistry-Paraffin: ALDH7A1 Antibody [NBP2-99843] - Immunochemical staining of human ALDH7A1 in human hepatoma (from 3 donors) with rabbit polyclonal antibody at 1:25000 dilution, formalin-fixed paraffin embedded sections.

Applications for ALDH7A1 Antibody - Azide and BSA Free

Application
Recommended Usage

ELISA

1:25000-1:50000

Immunohistochemistry-Paraffin

1:5000-1:25000

Immunoprecipitation

0.2-1 uL/mg of lysate

Western Blot

1:500-1:1000

Formulation, Preparation, and Storage

Purification

Antigen and protein A Affinity-purified

Formulation

0.2 um filtered solution in PBS

Format

Azide and BSA Free

Preservative

No Preservative

Concentration

Please see the vial label for concentration. If unlisted please contact technical services.

Shipping

The product is shipped with polar packs. Upon receipt, store it immediately at the temperature recommended below.

Stability & Storage

Store at 4C short term. Aliquot and store at -20C long term. Avoid freeze-thaw cycles.

Background: ALDH7A1

Antiquitin (Aldh7a1) is an evolutionarily conserved protein believed to play a role in the regulation of cellular turgor. Based on sequence analysis, this protein is classified as a member of the aldehyde dehydrogenase superfamily (1). Analysis of the amount of mRNA in various rat and human tissues indicates that the largest amounts are found in rat kidney and liver and in cultured human hepatoma cells. Only minimal amounts were detected in human peripheral blood leukocytes, rat lung, or cultured human fibroblasts (2). The plant homolog of ATQ1 is thought to be involved in regulating turgor pressure, a function that also would be essential for cells of the mammalian cochlea. Northern blots of 13 human fetal tissues show antiquitin to be highly expressed in cochlea, ovary, eye, heart, and kidney (3).

Alternate Names

aldehyde dehydrogenase 7 family, member A1, Aldehyde dehydrogenase family 7 member A1,26g turgor protein homolog, Alpha-AASA dehydrogenase, ATQ1Antiquitin-1, Betaine aldehyde dehydrogenase, Delta1-piperideine-6-carboxylate dehydrogenase, EC 1.2.1, EC 1.2.1.3, EC 1.2.1.31, EC 1.2.1.8, EPDalpha-aminoadipic semialdehyde dehydrogenase, FLJ11738, FLJ92814, P6c dehydrogenase, PDEantiquitin-1

Gene Symbol

ALDH7A1

Additional ALDH7A1 Products

Product Documents for ALDH7A1 Antibody - Azide and BSA Free

Certificate of Analysis

To download a Certificate of Analysis, please enter a lot number in the search box below.

Product Specific Notices for ALDH7A1 Antibody - Azide and BSA Free

This product is for research use only and is not approved for use in humans or in clinical diagnosis. Primary Antibodies are guaranteed for 1 year from date of receipt.

Loading...
Loading...
Loading...
Loading...