Skip to main content

Aldehyde Dehydrogenase 3-A1/ALDH3A1 Antibody - BSA Free

Novus Biologicals, part of Bio-Techne | Catalog # NBP2-55797

Novus Biologicals, part of Bio-Techne
Catalog #
Availability
Size / Price
Qty
Loading...
NBP2-55797
NBP2-55797-25ul

Key Product Details

Validated by

Orthogonal Validation

Species Reactivity

Human

Applications

Immunocytochemistry/ Immunofluorescence, Immunohistochemistry, Immunohistochemistry-Paraffin, Western Blot

Label

Unconjugated

Antibody Source

Polyclonal Rabbit IgG

Format

BSA Free

Concentration

Concentrations vary lot to lot. See vial label for concentration. If unlisted please contact technical services.

Product Specifications

Immunogen

This antibody was developed against a recombinant protein corresponding to the following amino acid sequence: LHKNEWNAYYEEVVYVLEEIEYMIQKLPEWAADEPVEKTPQTQQDELYIHSEPL

Clonality

Polyclonal

Host

Rabbit

Isotype

IgG

Description

Novus Biologicals Rabbit Aldehyde Dehydrogenase 3-A1/ALDH3A1 Antibody - BSA Free (NBP2-55797) is a polyclonal antibody validated for use in IHC, WB and ICC/IF. All Novus Biologicals antibodies are covered by our 100% guarantee.

Scientific Data Images for Aldehyde Dehydrogenase 3-A1/ALDH3A1 Antibody - BSA Free

Western Blot: Aldehyde Dehydrogenase 3-A1/ALDH3A1 Antibody [NBP2-55797]

Western Blot: Aldehyde Dehydrogenase 3-A1/ALDH3A1 Antibody [NBP2-55797]

Western Blot: Aldehyde Dehydrogenase 3-A1/ALDH3A1 Antibody [NBP2-55797] - Western blot analysis in human cell line RT-4 and human cell line U-251 MG.
Immunocytochemistry/ Immunofluorescence: Aldehyde Dehydrogenase 3-A1/ALDH3A1 Antibody [NBP2-55797]

Immunocytochemistry/ Immunofluorescence: Aldehyde Dehydrogenase 3-A1/ALDH3A1 Antibody [NBP2-55797]

Immunocytochemistry/Immunofluorescence: Aldehyde Dehydrogenase 3-A1/ALDH3A1 Antibody [NBP2-55797] - Staining of human cell line A549 shows localization to nucleoplasm, cytosol & vesicles.
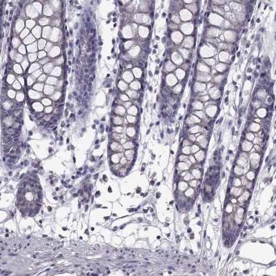
Immunohistochemistry-Paraffin: Aldehyde Dehydrogenase 3-A1/ALDH3A1 Antibody [NBP2-55797]

Immunohistochemistry-Paraffin: Aldehyde Dehydrogenase 3-A1/ALDH3A1 Antibody [NBP2-55797]

Immunohistochemistry-Paraffin: Aldehyde Dehydrogenase 3-A1/ALDH3A1 Antibody [NBP2-55797] - Staining in human esophagus and colon tissues using anti-ALDH3A1 antibody. Corresponding ALDH3A1 RNA-seq data are presented for the same tissues.

Applications for Aldehyde Dehydrogenase 3-A1/ALDH3A1 Antibody - BSA Free

Application
Recommended Usage

Immunocytochemistry/ Immunofluorescence

0.25-2 ug/ml

Immunohistochemistry

1:200 - 1:500

Immunohistochemistry-Paraffin

1:200 - 1:500

Western Blot

0.04-0.4 ug/ml
Application Notes
Immunocytochemistry/Immunofluorescence Fixation Permeabilization: Use PFA/Triton X-100.

Formulation, Preparation, and Storage

Purification

Affinity purified

Formulation

PBS (pH 7.2) and 40% Glycerol

Format

BSA Free

Preservative

0.02% Sodium Azide

Concentration

Concentrations vary lot to lot. See vial label for concentration. If unlisted please contact technical services.

Shipping

The product is shipped with polar packs. Upon receipt, store it immediately at the temperature recommended below.

Stability & Storage

Store at 4C short term. Aliquot and store at -20C long term. Avoid freeze-thaw cycles.

Background: Aldehyde Dehydrogenase 3-A1/ALDH3A1

Aldehyde dehydrogenases oxidize various aldehydes to the corresponding acids. They are involved in the detoxification of alcohol-derived acetaldehyde and in the metabolism of corticosteroids, biogenic amines, neurotransmitters, and lipid peroxidation. The enzyme encoded by this gene forms a cytoplasmic homodimer that preferentially oxidizes aromatic and medium-chain (6 carbons or more) saturated and unsaturated aldehyde substrates. It is thought to promote resistance to UV and 4-hydroxy-2-nonenal-induced oxidative damage in the cornea. The gene is located within the Smith-Magenis syndrome region on chromosome 17. Multiple alternatively spliced variants, encoding the same protein, have been identified. [provided by RefSeq]

Alternate Names

Aldehyde Dehydrogenase 3A1, ALDH3A1, ALDHIII

Gene Symbol

ALDH3A1

Additional Aldehyde Dehydrogenase 3-A1/ALDH3A1 Products

Product Documents for Aldehyde Dehydrogenase 3-A1/ALDH3A1 Antibody - BSA Free

Certificate of Analysis

To download a Certificate of Analysis, please enter a lot number in the search box below.

Product Specific Notices for Aldehyde Dehydrogenase 3-A1/ALDH3A1 Antibody - BSA Free

This product is for research use only and is not approved for use in humans or in clinical diagnosis. Primary Antibodies are guaranteed for 1 year from date of receipt.

Loading...
Loading...
Loading...
Loading...