Skip to main content

Aldehyde Dehydrogenase 3-A1/ALDH3A1 Antibody

Novus Biologicals, part of Bio-Techne | Catalog # NBP1-52052

Novus Biologicals, part of Bio-Techne
Catalog #
Availability
Size / Price
Qty
Loading...
NBP1-52052

Key Product Details

Species Reactivity

Human, Mouse

Applications

Immunohistochemistry, Immunohistochemistry-Paraffin, Western Blot, Peptide ELISA

Label

Unconjugated

Antibody Source

Polyclonal Goat IgG

Concentration

0.5 mg/ml

Product Specifications

Immunogen

Peptide with sequence C-RYPPSPAKMTQH corresponding to C-Terminus according to NP_000682.3.

Epitope

C-RYPPSPAKMTQH

Specificity

Reported variants represent identical protein: NP_001128639.1, NP_000682.3, NP_001128640.1

Clonality

Polyclonal

Host

Goat

Isotype

IgG

Description

Novus Biologicals Goat Aldehyde Dehydrogenase 3-A1/ALDH3A1 Antibody (NBP1-52052) is a polyclonal antibody validated for use in IHC, WB and ELISA. Anti-Aldehyde Dehydrogenase 3-A1/ALDH3A1 Antibody: Cited in 1 publication. All Novus Biologicals antibodies are covered by our 100% guarantee.

Scientific Data Images for Aldehyde Dehydrogenase 3-A1/ALDH3A1 Antibody

Western Blot: Aldehyde Dehydrogenase 3-A1/ALDH3A1 Antibody [NBP1-52052]

Western Blot: Aldehyde Dehydrogenase 3-A1/ALDH3A1 Antibody [NBP1-52052]

Western Blot: Aldehyde Dehydrogenase 3-A1/ALDH3A1 Antibody [NBP1-52052] - (0.01ug/ml) staining of Mouse Eye lysate (35ug protein in RIPA buffer). Primary incubation was 1 hour. Detected by chemiluminescence.
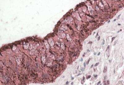
Immunohistochemistry-Paraffin: Aldehyde Dehydrogenase 3-A1/ALDH3A1 Antibody [NBP1-52052]

Immunohistochemistry-Paraffin: Aldehyde Dehydrogenase 3-A1/ALDH3A1 Antibody [NBP1-52052]

Immunohistochemistry-Paraffin: Aldehyde Dehydrogenase 3-A1/ALDH3A1 Antibody [NBP1-52052] - Staining of paraffin embedded Human Lung. Steamed antigen retrieval with citrate buffer pH 6, AP-staining.

Applications for Aldehyde Dehydrogenase 3-A1/ALDH3A1 Antibody

Application
Recommended Usage

Immunohistochemistry

3 - 5 ug/ml

Immunohistochemistry-Paraffin

3-5 ug/ml

Peptide ELISA

Detection limit 1:32000

Western Blot

0.01 - 0.03 ug/ml
Application Notes
WB: Approx. 55 kDa band observed in mouse eye lysates (calculated MW of 50.5 kDa band according to mouse NP_031462.2). IHC-P: Human Lung shows strong staining of the respiratory epithelium of the tracheal wall.

Formulation, Preparation, and Storage

Purification

Immunogen affinity purified

Formulation

Tris saline (20 mM Tris pH 7.3, 150 mM NaCl), 0.5% BSA

Preservative

0.02% Sodium Azide

Concentration

0.5 mg/ml

Shipping

The product is shipped with polar packs. Upon receipt, store it immediately at the temperature recommended below.

Stability & Storage

Store at -20C. Avoid freeze-thaw cycles.

Background: Aldehyde Dehydrogenase 3-A1/ALDH3A1

Aldehyde dehydrogenases oxidize various aldehydes to the corresponding acids. They are involved in the detoxification of alcohol-derived acetaldehyde and in the metabolism of corticosteroids, biogenic amines, neurotransmitters, and lipid peroxidation. The enzyme encoded by this gene forms a cytoplasmic homodimer that preferentially oxidizes aromatic and medium-chain (6 carbons or more) saturated and unsaturated aldehyde substrates. It is thought to promote resistance to UV and 4-hydroxy-2-nonenal-induced oxidative damage in the cornea. The gene is located within the Smith-Magenis syndrome region on chromosome 17. Multiple alternatively spliced variants, encoding the same protein, have been identified. [provided by RefSeq]

Alternate Names

Aldehyde Dehydrogenase 3A1, ALDH3A1, ALDHIII

Entrez Gene IDs

218 (Human)

Gene Symbol

ALDH3A1

Additional Aldehyde Dehydrogenase 3-A1/ALDH3A1 Products

Product Documents for Aldehyde Dehydrogenase 3-A1/ALDH3A1 Antibody

Certificate of Analysis

To download a Certificate of Analysis, please enter a lot number in the search box below.

Product Specific Notices for Aldehyde Dehydrogenase 3-A1/ALDH3A1 Antibody

This product is for research use only and is not approved for use in humans or in clinical diagnosis. Primary Antibodies are guaranteed for 1 year from date of receipt.

Loading...
Loading...
Loading...
Loading...