Skip to main content

alcohol dehydrogenase 1B Antibody (OTI4F12) - Azide and BSA Free

Novus Biologicals, part of Bio-Techne | Catalog # NBP2-70092

Novus Biologicals, part of Bio-Techne
Catalog #
Availability
Size / Price
Qty
Loading...
NBP2-70092

Key Product Details

Species Reactivity

Human, Rat, Canine

Applications

Immunohistochemistry, Immunohistochemistry-Paraffin, Western Blot, Flow Cytometry, Immunocytochemistry/ Immunofluorescence, CyTOF-ready

Label

Unconjugated

Antibody Source

Monoclonal Mouse IgG2A Clone # OTI4F12

Format

Azide and BSA Free

Concentration

LYOPH mg/ml

Product Specifications

Immunogen

Full length human recombinant protein of human ADH1B (NP_000659) produced in HEK293T cell.

Clonality

Monoclonal

Host

Mouse

Isotype

IgG2A

Theoretical MW

39.7 kDa.
Disclaimer note: The observed molecular weight of the protein may vary from the listed predicted molecular weight due to post translational modifications, post translation cleavages, relative charges, and other experimental factors.

Description

Novus Biologicals Mouse alcohol dehydrogenase 1B Antibody (OTI4F12) - Azide and BSA Free (NBP2-00649) is a monoclonal antibody validated for use in IHC, WB, Flow and ICC/IF. All Novus Biologicals antibodies are covered by our 100% guarantee.

Scientific Data Images for alcohol dehydrogenase 1B Antibody (OTI4F12) - Azide and BSA Free

Western Blot: alcohol dehydrogenase 1B Antibody (OTI4F12)Azide and BSA Free [NBP2-70092]

Western Blot: alcohol dehydrogenase 1B Antibody (OTI4F12)Azide and BSA Free [NBP2-70092]

Western Blot: alcohol dehydrogenase 1B Antibody (OTI4F12) - Azide and BSA Free [NBP2-70092] - HEK293T cells were transfected with the pCMV6-ENTRY control (Left lane) or pCMV6-ENTRY alcohol dehydrogenase 1B (Right lane) cDNA for 48 hrs and lysed. Equivalent amounts of cell lysates (5 ug per lane) were separated by SDS-PAGE and immunoblotted with an
Immunocytochemistry/ Immunofluorescence: alcohol dehydrogenase 1B Antibody (OTI4F12) - Azide and BSA Free [NBP2-70092]

Immunocytochemistry/ Immunofluorescence: alcohol dehydrogenase 1B Antibody (OTI4F12) - Azide and BSA Free [NBP2-70092]

Immunocytochemistry/Immunofluorescence: alcohol dehydrogenase 1B Antibody (OTI4F12) - Azide and BSA Free [NBP2-70092] - Staining of HeLa cells using anti-alcohol dehydrogenase 1B mouse monoclonal antibody.
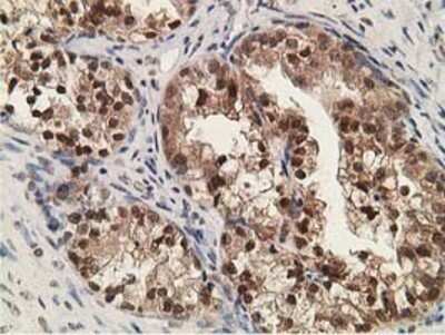
Immunohistochemistry: alcohol dehydrogenase 1B Antibody (OTI4F12) - Azide and BSA Free [NBP2-70092]

Immunohistochemistry: alcohol dehydrogenase 1B Antibody (OTI4F12) - Azide and BSA Free [NBP2-70092]

Immunohistochemistry: alcohol dehydrogenase 1B Antibody (OTI4F12) - Azide and BSA Free [NBP2-70092] - Staining of paraffin-embedded Human liver tissue using anti-alcohol dehydrogenase 1B mouse monoclonal antibody.

Applications for alcohol dehydrogenase 1B Antibody (OTI4F12) - Azide and BSA Free

Application
Recommended Usage

Flow Cytometry

1:100

Immunocytochemistry/ Immunofluorescence

1:100

Immunohistochemistry

1:150

Western Blot

1:500

Formulation, Preparation, and Storage

Purification

Immunogen affinity purified

Reconstitution

we recommend adding 100uL distilled water to a final antibody concentration of about 1 mg/mL. To use this carrier-free antibody for conjugation experiment, we strongly recommend performing another round of desalting process.

Formulation

Lyophilized from PBS (pH 7.3) with 8% Trehalose

Format

Azide and BSA Free

Preservative

No Preservative

Concentration

LYOPH mg/ml

Shipping

The product is shipped with polar packs. Upon receipt, store it immediately at the temperature recommended below.

Stability & Storage

Store at -20C. Avoid freeze-thaw cycles.

Background: alcohol dehydrogenase 1B

alcohol dehydrogenase 1B is encoded by this gene is a member of the alcohol dehydrogenase family. Members of this enzyme family metabolize a wide variety of substrates, including ethanol, retinol, other aliphatic alcohols, hydroxysteroids, and lipid peroxidation products. This encoded protein, consisting of several homo- and heterodimers of alpha, beta, and gamma subunits, exhibits high activity for ethanol oxidation and plays a major role in ethanol catabolism. Three genes encoding alpha, beta and gamma subunits are tandemly organized in a genomic segment as a gene cluster.

Alternate Names

ADH, beta subunit, ADH2alcohol dehydrogenase 1B, alcohol dehydrogenase 1B (class I), beta polypeptide, alcohol dehydrogenase 2 (class I), beta polypeptide, Alcohol dehydrogenase subunit beta, aldehyde reductase, DKFZp686C06125, EC 1.1.1, EC 1.1.1.1

Gene Symbol

ADH1B

Additional alcohol dehydrogenase 1B Products

Product Documents for alcohol dehydrogenase 1B Antibody (OTI4F12) - Azide and BSA Free

Certificate of Analysis

To download a Certificate of Analysis, please enter a lot number in the search box below.

Product Specific Notices for alcohol dehydrogenase 1B Antibody (OTI4F12) - Azide and BSA Free

This product is for research use only and is not approved for use in humans or in clinical diagnosis. Primary Antibodies are guaranteed for 1 year from date of receipt.

Loading...
Loading...
Loading...
Loading...
Loading...
Loading...