Skip to main content

alcohol dehydrogenase 1B Antibody (OTI4F12)

Novus Biologicals, part of Bio-Techne | Catalog # NBP2-00649

Novus Biologicals, part of Bio-Techne
Catalog #
Availability
Size / Price
Qty
Loading...
NBP2-00649

Key Product Details

Species Reactivity

Human, Rat, Canine

Applications

Flow Cytometry, Immunocytochemistry/ Immunofluorescence, Immunohistochemistry, Immunohistochemistry-Paraffin, Western Blot

Label

Unconjugated

Antibody Source

Monoclonal Mouse IgG2A Clone # OTI4F12

Concentration

0.89 mg/ml

Product Specifications

Immunogen

Full length human recombinant protein of human ADH1B (NP_000659) produced in HEK293T cell.

Clonality

Monoclonal

Host

Mouse

Isotype

IgG2A

Theoretical MW

39.7 kDa.
Disclaimer note: The observed molecular weight of the protein may vary from the listed predicted molecular weight due to post translational modifications, post translation cleavages, relative charges, and other experimental factors.

Description

Novus Biologicals Mouse alcohol dehydrogenase 1B Antibody (OTI4F12) (NBP2-00649) is a monoclonal antibody validated for use in IHC, WB, Flow and ICC/IF. All Novus Biologicals antibodies are covered by our 100% guarantee.

Scientific Data Images for alcohol dehydrogenase 1B Antibody (OTI4F12)

Western Blot: alcohol dehydrogenase 1B Antibody (OTI4F12) [NBP2-00649]

Western Blot: alcohol dehydrogenase 1B Antibody (OTI4F12) [NBP2-00649]

Western Blot: alcohol dehydrogenase 1B Antibody (OTI4F12) [NBP2-00649] - Analysis of extracts (10ug) from 9 Human tissue by using anti-ADH1B monoclonal antibody at 1:1000 (1: Testis; 2: Omentum; 3: Uterus; 4: Breast; 5: Brain; 6: Liver; 7: Ovary; 8: Thyroid gland; 9: colon).
Immunocytochemistry/ Immunofluorescence: alcohol dehydrogenase 1B Antibody (OTI4F12) [NBP2-00649]

Immunocytochemistry/ Immunofluorescence: alcohol dehydrogenase 1B Antibody (OTI4F12) [NBP2-00649]

Immunocytochemistry/Immunofluorescence: alcohol dehydrogenase 1B Antibody (OTI4F12) [NBP2-00649] - Staining of COS7 cells transiently transfected by pCMV6-ENTRY alcohol dehydrogenase 1B.
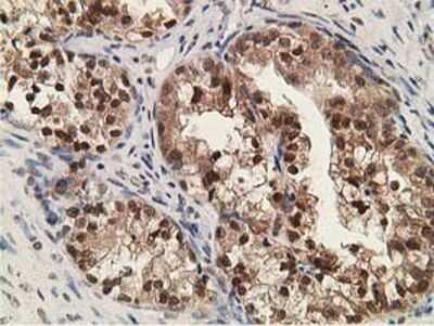
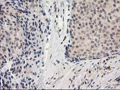
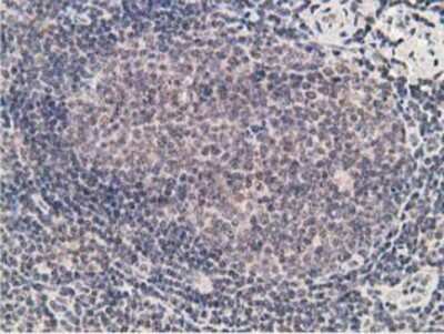
Immunohistochemistry-Paraffin: alcohol dehydrogenase 1B Antibody (OTI4F12) [NBP2-00649]

Immunohistochemistry-Paraffin: alcohol dehydrogenase 1B Antibody (OTI4F12) [NBP2-00649]

Immunohistochemistry-Paraffin: alcohol dehydrogenase 1B Antibody (OTI4F12) [NBP2-00649] - Staining of paraffin-embedded Human lymph node tissue using anti-alcohol dehydrogenase 1B mouse monoclonal antibody.

Applications for alcohol dehydrogenase 1B Antibody (OTI4F12)

Application
Recommended Usage

Flow Cytometry

1:100

Immunocytochemistry/ Immunofluorescence

1:100

Immunohistochemistry

1:150

Immunohistochemistry-Paraffin

1:150

Western Blot

1:500

Formulation, Preparation, and Storage

Purification

Immunogen affinity purified

Formulation

PBS (pH 7.3), 1.0% BSA and 50% Glycerol

Preservative

0.02% Sodium Azide

Concentration

0.89 mg/ml

Shipping

The product is shipped with polar packs. Upon receipt, store it immediately at the temperature recommended below.

Stability & Storage

Store at -20C. Avoid freeze-thaw cycles.

Background: alcohol dehydrogenase 1B

The protein encoded by this gene is a member of the alcohol dehydrogenase family. Members of this enzyme family metabolize a wide variety of substrates, including ethanol, retinol, other aliphatic alcohols, hydroxysteroids, and lipid peroxidation products. This encoded protein, consisting of several homo- and heterodimers of alpha, beta, and gamma subunits, exhibits high activity for ethanol oxidation and plays a major role in ethanol catabolism. Three genes encoding alpha, beta and gamma subunits are tandemly organized in a genomic segment as a gene cluster. [provided by RefSeq].

Alternate Names

ADH, beta subunit, ADH2alcohol dehydrogenase 1B, alcohol dehydrogenase 1B (class I), beta polypeptide, alcohol dehydrogenase 2 (class I), beta polypeptide, Alcohol dehydrogenase subunit beta, aldehyde reductase, DKFZp686C06125, EC 1.1.1, EC 1.1.1.1

Entrez Gene IDs

125 (Human)

Gene Symbol

ADH1B

Additional alcohol dehydrogenase 1B Products

Product Documents for alcohol dehydrogenase 1B Antibody (OTI4F12)

Certificate of Analysis

To download a Certificate of Analysis, please enter a lot number in the search box below.

Product Specific Notices for alcohol dehydrogenase 1B Antibody (OTI4F12)

This product is for research use only and is not approved for use in humans or in clinical diagnosis. Primary Antibodies are guaranteed for 1 year from date of receipt.

Loading...
Loading...
Loading...
Loading...
Loading...