Skip to main content

AKT2 Antibody (X1) - Azide and BSA Free

Novus Biologicals, part of Bio-Techne | Catalog # H00000208-M06

Novus Biologicals, part of Bio-Techne
Catalog #
Availability
Size / Price
Qty
Loading...
H00000208-M06

Key Product Details

Species Reactivity

Human, Mouse, Rat

Applications

Immunohistochemistry, Immunohistochemistry-Paraffin, Western Blot, ELISA, Immunocytochemistry/ Immunofluorescence

Label

Unconjugated

Antibody Source

Monoclonal Mouse IgG1 kappa Clone # X1

Format

Azide and BSA Free

Concentration

Concentrations vary lot to lot. See vial label for concentration. If unlisted please contact technical services.

Product Specifications

Immunogen

AKT2 (AAA58364, 100 a.a. ~ 189 a.a) partial recombinant protein with GST tag. MW of the GST tag alone is 26 KDa. MRAIQMVANSLKQRAPGEDPMDYKCGSPSDSSTTEEMEVAVSKARAKVTMNDFDYLKLLGKGTFGKVILVREKATGRYYAMKILRKEVII

Reactivity Notes

Please note that this antibody is reactive to Mouse and derived from the same host, Mouse. Additional Mouse on Mouse blocking steps may be required for IHC and ICC experiments. Please contact Technical Support for more information.

Clonality

Monoclonal

Host

Mouse

Isotype

IgG1 kappa

Description

Quality control test: Antibody Reactive Against Recombinant Protein.

Scientific Data Images for AKT2 Antibody (X1) - Azide and BSA Free

Western Blot: AKT2 Antibody (X1) [H00000208-M06]

Western Blot: AKT2 Antibody (X1) [H00000208-M06]

Western Blot: AKT2 Antibody (X1) [H00000208-M06] - Analysis of AKT2 expression in Jurkat (Cat # L017V1).
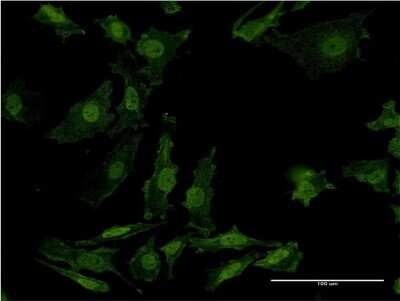
Immunocytochemistry/ Immunofluorescence: AKT2 Antibody (X1) [H00000208-M06]

Immunocytochemistry/ Immunofluorescence: AKT2 Antibody (X1) [H00000208-M06]

Immunocytochemistry/Immunofluorescence: AKT2 Antibody (X1) [H00000208-M06] - Analysis of monoclonal antibody to AKT2 on HeLa cell. Antibody concentration 10 ug/ml
Immunohistochemistry-Paraffin: AKT2 Antibody (X1) [H00000208-M06]

Immunohistochemistry-Paraffin: AKT2 Antibody (X1) [H00000208-M06]

Immunohistochemistry-Paraffin: AKT2 Antibody (X1) [H00000208-M06] - Analysis of monoclonal antibody to AKT2 on formalin-fixed paraffin-embedded human small Intestine. Antibody concentration 3 ug/ml

Applications for AKT2 Antibody (X1) - Azide and BSA Free

Application
Recommended Usage

ELISA

Optimal dilutions of this antibody should be experimentally determined.

Immunocytochemistry/ Immunofluorescence

Optimal dilutions of this antibody should be experimentally determined.

Immunohistochemistry

Optimal dilutions of this antibody should be experimentally determined.

Immunohistochemistry-Paraffin

Optimal dilutions of this antibody should be experimentally determined.

Western Blot

Optimal dilutions of this antibody should be experimentally determined.
Application Notes
This antibody is useful for ELISA, WB, IF and IHC-P.

Formulation, Preparation, and Storage

Purification

IgG purified

Formulation

In 1x PBS, pH 7.4

Format

Azide and BSA Free

Preservative

No Preservative

Concentration

Concentrations vary lot to lot. See vial label for concentration. If unlisted please contact technical services.

Shipping

The product is shipped with polar packs. Upon receipt, store it immediately at the temperature recommended below.

Stability & Storage

Aliquot and store at -20C or -80C. Avoid freeze-thaw cycles.

Background: Akt2

AKT (also known as protein kinase B (PKB) and RAC (related to A and C kinases)) is a critical intracellular serine/threonine kinase that translates signals from extracellular stimuli including growth factors, cytokines and neurotransmitters (1). AKT signaling plays critical roles in cell growth, proliferation, survival and differentiation (1). It is also involved in organogenesis, angiogenesis and metabolism. Three mammalian AKT isoforms have been identified. The AKT pathway can be activated by any of the three members who share a high level of protein homology but are independently encoded by AKT1 (PKB alpha; 14q32.32), AKT2 (PKB beta; 19q13.2), or AKT3 (PKB gamma; 1q44) (1, 2). Each AKT family member contains an N-terminal pleckstrin homology (PH) domain, a central kinase domain, and a C-terminal regulatory domain. AKT mediates many of the downstream events of phosphatidylinositol 3-kinase (PI3-K), a lipid kinase activated by growth factors, cytokines and insulin. PI3-K recruits AKT to the membrane, where it is activated by PDK1 phosphorylation. AKT has two main phosphorylation sites (Ser473 and Thr308, predicted molecular weight 56 kDa) (3, 4). Once phosphorylated, AKT dissociates from the membrane and phosphorylates targets in the cytoplasm and the cell nucleus including mammalian target of rapamycin (mTOR).

The main function of AKT is to control inhibition of apoptosis and promote cell proliferation. Survival factors can activate AKT Ser473 and Thr308 phosphorylation sites in a transcription-independent manner, resulting in the inactivation of apoptotic signaling transduction through the tumor suppressor PTEN, an antagonist to PI3-K (5). PTEN exerts enzymatic activity as a phosphatidylinositol-3,4,5-trisphosphate (PIP3) phosphatase, opposing PI3K activity by decreasing availability of PIP3 to proliferating cells, leading to overexpression and inappropriate activation of AKT noted in many types of cancer.

AKT1 function has been linked to overall physiological growth and function (2). AKT1 has been correlated with proteus syndrome, a rare disorder characterized by overgrowth of various tissues caused by a mosaic variant in the AKT1 gene in humans.

AKT2 is strongly correlated with Type II diabetes, including phenotypes of insulin resistance, hyperglycemia and atherosclerosis (2, 6).

The function of AKT3 is specifically associated to brain development, where disruptions to AKT3 are correlated with microcephaly, hemimegalencephaly, megalencephaly and intellectual disabilities (2).

References

1. Ersahin, T., Tuncbag, N., & Cetin-Atalay, R. (2015). The PI3K/AKT/mTOR interactive pathway. Mol Biosyst, 11(7), 1946-1954. doi:10.1039/c5mb00101c

2. Cohen, M. M., Jr. (2013). The AKT genes and their roles in various disorders. Am J Med Genet A, 161a(12), 2931-2937. doi:10.1002/ajmg.a.36101

3. Georgescu, M. M. (2010). PTEN Tumor Suppressor Network in PI3K-Akt Pathway Control. Genes Cancer, 1(12), 1170-1177. doi:10.1177/1947601911407325

4. Mishra, P., Paital, B., Jena, S., Swain, S. S., Kumar, S., Yadav, M. K., . . . Samanta, L. (2019). Possible activation of NRF2 by Vitamin E/Curcumin against altered thyroid hormone induced oxidative stress via NFkB/AKT/mTOR/KEAP1 signalling in rat heart. Sci Rep, 9(1), 7408. doi:10.1038/s41598-019-43320-5

5. Wedel, S., Hudak, L., Seibel, J. M., Juengel, E., Oppermann, E., Haferkamp, A., & Blaheta, R. A. (2011). Critical analysis of simultaneous blockage of histone deacetylase and multiple receptor tyrosine kinase in the treatment of prostate cancer. Prostate, 71(7), 722-735. doi:10.1002/pros.21288

6. Rotllan, N., Chamorro-Jorganes, A., Araldi, E., Wanschel, A. C., Aryal, B., Aranda, J. F., . . . Fernandez-Hernando, C. (2015). Hematopoietic Akt2 deficiency attenuates the progression of atherosclerosis. Faseb j, 29(2), 597-610. doi:10.1096/fj.14-262097

Long Name

v-Akt Murine Thymoma Viral Oncogene Homolog 2

Alternate Names

PKB beta, RAC-beta

Gene Symbol

AKT2

Additional Akt2 Products

Product Documents for AKT2 Antibody (X1) - Azide and BSA Free

Certificate of Analysis

To download a Certificate of Analysis, please enter a lot number in the search box below.

Product Specific Notices for AKT2 Antibody (X1) - Azide and BSA Free

This product is produced by and distributed for Abnova, a company based in Taiwan.

This product is for research use only and is not approved for use in humans or in clinical diagnosis. Primary Antibodies are guaranteed for 1 year from date of receipt.

Loading...
Loading...
Loading...
Loading...