Skip to main content

AKIP Antibody - BSA Free

Novus Biologicals, part of Bio-Techne | Catalog # NBP1-90202

Novus Biologicals, part of Bio-Techne
Catalog #
Availability
Size / Price
Qty
Loading...
NBP1-90202
NBP1-90202-25ul

Key Product Details

Species Reactivity

Human

Applications

Immunocytochemistry/ Immunofluorescence, Immunohistochemistry, Immunohistochemistry-Paraffin

Label

Unconjugated

Antibody Source

Polyclonal Rabbit IgG

Format

BSA Free

Concentration

Concentrations vary lot to lot. See vial label for concentration. If unlisted please contact technical services.

Product Specifications

Immunogen

This antibody was developed against Recombinant Protein corresponding to amino acids: KMNHHKYRKLVKKTRFLRRKVQEGRLRRKQIKFEKDLRRIWLKAGLKEAPEGWQTPKIYLR

Reactivity Notes

Immunogen displays the following percentage of sequence identity for non-tested species: Mouse (89%), Rat (87%)

Clonality

Polyclonal

Host

Rabbit

Isotype

IgG

Description

Novus Biologicals Rabbit AKIP Antibody - BSA Free (NBP1-90202) is a polyclonal antibody validated for use in IHC and ICC/IF. All Novus Biologicals antibodies are covered by our 100% guarantee.

Scientific Data Images for AKIP Antibody - BSA Free

Immunocytochemistry/ Immunofluorescence: AKIP Antibody [NBP1-90202]

Immunocytochemistry/ Immunofluorescence: AKIP Antibody [NBP1-90202]

Immunocytochemistry/Immunofluorescence: AKIP Antibody [NBP1-90202] - Immunofluorescent staining of human cell line A-431 shows localization to nucleoplasm, mitochondria & vesicles.
AKIP Antibody - BSA Free Immunohistochemistry: AKIP Antibody - BSA Free [NBP1-90202]

Immunohistochemistry: AKIP Antibody - BSA Free [NBP1-90202]

Staining of human cerebral cortex shows strong nuclear positivity in neurons.
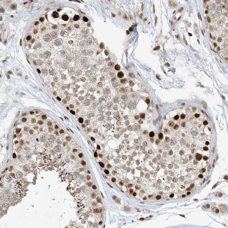
AKIP Antibody - BSA Free Immunohistochemistry: AKIP Antibody - BSA Free [NBP1-90202]

Immunohistochemistry: AKIP Antibody - BSA Free [NBP1-90202]

Staining of human testis shows strong nuclear positivity in spermatogonia.

Applications for AKIP Antibody - BSA Free

Application
Recommended Usage

Immunocytochemistry/ Immunofluorescence

0.25-2 ug/ml

Immunohistochemistry

1:50 - 1:200

Immunohistochemistry-Paraffin

1:50 - 1:200
Application Notes
For IHC-Paraffin, HIER pH 6 retrieval is recommended. Immunocytochemistry/Immunofluorescence Fixation Permeabilization: Use PFA/Triton X-100.

Formulation, Preparation, and Storage

Purification

Immunogen affinity purified

Formulation

PBS (pH 7.2) and 40% Glycerol

Format

BSA Free

Preservative

0.02% Sodium Azide

Concentration

Concentrations vary lot to lot. See vial label for concentration. If unlisted please contact technical services.

Shipping

The product is shipped with polar packs. Upon receipt, store it immediately at the temperature recommended below.

Stability & Storage

Store at 4C short term. Aliquot and store at -20C long term. Avoid freeze-thaw cycles.

Background: AKIP

AKIP may act as a negative regulator of Aurora-A kinase, by down-regulation through proteasome-dependent degradation

Alternate Names

AIPAKIPaurora kinase A-interacting protein, AURKA-interacting protein, aurora kinase A interacting protein 1, aurora-A kinase interacting protein, FLJ20608

Entrez Gene IDs

54998 (Human)

Gene Symbol

AURKAIP1

UniProt

Additional AKIP Products

Product Documents for AKIP Antibody - BSA Free

Certificate of Analysis

To download a Certificate of Analysis, please enter a lot number in the search box below.

Product Specific Notices for AKIP Antibody - BSA Free

This product is for research use only and is not approved for use in humans or in clinical diagnosis. Primary Antibodies are guaranteed for 1 year from date of receipt.

Loading...
Loading...
Loading...
Loading...