Skip to main content

AK3L1 Antibody - BSA Free

Novus Biologicals, part of Bio-Techne | Catalog # NBP2-97592

Novus Biologicals, part of Bio-Techne

Key Product Details

Species Reactivity

Human

Applications

Immunohistochemistry, Immunohistochemistry-Paraffin, Western Blot, Immunocytochemistry/ Immunofluorescence, Immunoprecipitation

Label

Unconjugated

Antibody Source

Polyclonal Rabbit IgG

Format

BSA Free

Concentration

Please see the vial label for concentration. If unlisted please contact technical services.

Product Specifications

Immunogen

Produced in rabbits immunized with E. coli-derived Human AK3L1 fragment.

Clonality

Polyclonal

Host

Rabbit

Isotype

IgG

Description

This antibody can be stored at 2C to 8C for one month without detectable loss of activity. Antibody products are stable for twelve months from date of receipt when stored at -20C to -80C. Avoid repeated freeze-thaw cycles.

Scientific Data Images for AK3L1 Antibody - BSA Free

Western Blot: AK3L1 Antibody [NBP2-97592]

Western Blot: AK3L1 Antibody [NBP2-97592]

Western Blot: AK3L1 Antibody [NBP2-97592] - Lane A: MCF-7 Whole Cell LysateLane B: HepG2 Whole Cell LysateLane C: Raji Whole Cell LysateLane D: A431 Whole Cell LysateLysates/proteins at 30 ug per lane.SecondaryGoat Anti-Rabbit IgG (H+L)/HRP at 1/10000 dilution.Developed using the ECL technique.Performed under reducing conditions.Predicted band size:25 kDaObserved band size:27 kDa
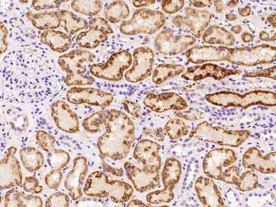
Immunohistochemistry-Paraffin: AK3L1 Antibody [NBP2-97592]

Immunohistochemistry-Paraffin: AK3L1 Antibody [NBP2-97592]

Immunohistochemistry-Paraffin: AK3L1 Antibody [NBP2-97592] - Staining of human AK3L1 in human kidney with rabbit polyclonal antibody at 1:100 dilution.
Immunohistochemistry-Paraffin: AK3L1 Antibody [NBP2-97592]

Immunohistochemistry-Paraffin: AK3L1 Antibody [NBP2-97592]

Immunohistochemistry-Paraffin: AK3L1 Antibody [NBP2-97592] - Staining of human AK3L1 in human gallbladder with rabbit polyclonal antibody at 1:100 dilution.

Applications for AK3L1 Antibody - BSA Free

Application
Recommended Usage

Immunocytochemistry/ Immunofluorescence

1:100-1:500

Immunohistochemistry-Paraffin

1:50-1:200

Immunoprecipitation

1-5uL/mg of lysate

Western Blot

1:500-1:2000

Formulation, Preparation, and Storage

Purification

Antigen and protein A Affinity-purified

Formulation

PBS

Format

BSA Free

Preservative

0.03% Proclin 300

Concentration

Please see the vial label for concentration. If unlisted please contact technical services.

Shipping

The product is shipped with polar packs. Upon receipt, store it immediately at the temperature recommended below.

Stability & Storage

Store at 4C short term. Aliquot and store at -20C long term. Avoid freeze-thaw cycles.

Background: AK3L1

AK3L1 encodes a member of the adenylate kinase family of enzymes. The encoded protein is localized to the mitochondrial matrix. Adenylate kinases regulate the adenine and guanine nucleotide compositions within a cell by catalyzing the reversible transfer of phosphate group among these nucleotides. Five isozymes of adenylate kinase have been identified in vertebrates. Expression of these isozymes is tissue-specific and developmentally regulated. A pseudogene for this gene has been located on chromosome 17. Three transcript variants encoding the same protein have been identified for this gene. Sequence alignment suggests that the gene defined by NM_013410, NM_203464, and NM_001005353 is located on chromosome 1.

Long Name

Adenylate kinase 4, mitochondrial

Alternate Names

AK 4, AK3, AK4

Gene Symbol

AK4

Additional AK3L1 Products

Product Documents for AK3L1 Antibody - BSA Free

Certificate of Analysis

To download a Certificate of Analysis, please enter a lot number in the search box below.

Product Specific Notices for AK3L1 Antibody - BSA Free

This product is for research use only and is not approved for use in humans or in clinical diagnosis. Primary Antibodies are guaranteed for 1 year from date of receipt.

Loading...
Loading...
Loading...
Loading...