Skip to main content

AK3L1 Antibody (OTI3B1) - Azide and BSA Free

Novus Biologicals, part of Bio-Techne | Catalog # NBP2-70129

Novus Biologicals, part of Bio-Techne

Key Product Details

Species Reactivity

Human, Mouse, Rat, Canine, Monkey, Primate

Applications

Immunohistochemistry, Immunohistochemistry-Paraffin, Western Blot, Flow Cytometry, Immunocytochemistry/ Immunofluorescence, CyTOF-ready

Label

Unconjugated

Antibody Source

Monoclonal Mouse IgG1 Clone # OTI3B1

Format

Azide and BSA Free

Concentration

LYOPH mg/ml

Product Specifications

Immunogen

Full length human recombinant protein of human AK4(NP_037542) produced in HEK293 cell.

Reactivity Notes

Please note that this antibody is reactive to Mouse and derived from the same host, Mouse. Mouse-On-Mouse blocking reagent may be needed for IHC and ICC experiments to reduce high background signal. You can find these reagents under catalog numbers PK-2200-NB and MP-2400-NB. Please contact Technical Support if you have any questions.

Clonality

Monoclonal

Host

Mouse

Isotype

IgG1

Theoretical MW

25.1 kDa.
Disclaimer note: The observed molecular weight of the protein may vary from the listed predicted molecular weight due to post translational modifications, post translation cleavages, relative charges, and other experimental factors.

Description

Novus Biologicals Mouse AK3L1 Antibody (OTI3B1) - Azide and BSA Free (NBP2-00827) is a monoclonal antibody validated for use in IHC, WB, Flow and ICC/IF. All Novus Biologicals antibodies are covered by our 100% guarantee.

Scientific Data Images for AK3L1 Antibody (OTI3B1) - Azide and BSA Free

Western Blot: AK3L1 Antibody (OTI3B1)Azide and BSA Free [NBP2-70129]

Western Blot: AK3L1 Antibody (OTI3B1)Azide and BSA Free [NBP2-70129]

Western Blot: AK3L1 Antibody (OTI3B1) - Azide and BSA Free [NBP2-70129] - HEK293T cells were transfected with the pCMV6-ENTRY control (Left lane) or pCMV6-ENTRY AK3L1 (Right lane) cDNA for 48 hrs and lysed. Equivalent amounts of cell lysates (5 ug per lane) were separated by SDS-PAGE and immunoblotted with anti-AK3L1.
Immunocytochemistry/ Immunofluorescence: AK3L1 Antibody (OTI3B1) - Azide and BSA Free [NBP2-70129]

Immunocytochemistry/ Immunofluorescence: AK3L1 Antibody (OTI3B1) - Azide and BSA Free [NBP2-70129]

Immunocytochemistry/Immunofluorescence: AK3L1 Antibody (OTI3B1) - Azide and BSA Free [NBP2-70129] - Staining of COS7 cells transiently transfected by pCMV6-ENTRY AK3L1.
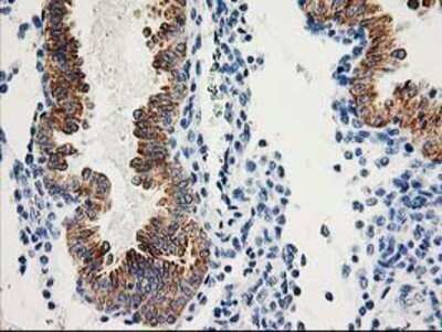
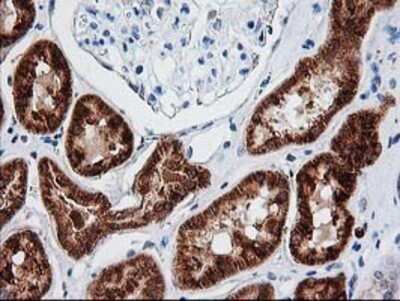
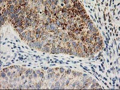
Immunohistochemistry: AK3L1 Antibody (OTI3B1) - Azide and BSA Free [NBP2-70129]

Immunohistochemistry: AK3L1 Antibody (OTI3B1) - Azide and BSA Free [NBP2-70129]

Immunohistochemistry: AK3L1 Antibody (OTI3B1) - Azide and BSA Free [NBP2-70129] - Staining of paraffin-embedded Human Kidney tissue using anti-AK3L1 mouse monoclonal antibody.

Applications for AK3L1 Antibody (OTI3B1) - Azide and BSA Free

Application
Recommended Usage

Flow Cytometry

1:100

Immunocytochemistry/ Immunofluorescence

1:100

Immunohistochemistry

1:150

Western Blot

1:500-2000

Formulation, Preparation, and Storage

Purification

Immunogen affinity purified

Reconstitution

we recommend adding 100uL distilled water to a final antibody concentration of about 1 mg/mL. To use this carrier-free antibody for conjugation experiment, we strongly recommend performing another round of desalting process.

Formulation

Lyophilized from PBS (pH 7.3) with 8% Trehalose

Format

Azide and BSA Free

Preservative

No Preservative

Concentration

LYOPH mg/ml

Shipping

The product is shipped with polar packs. Upon receipt, store it immediately at the temperature recommended below.

Stability & Storage

Store at -20C. Avoid freeze-thaw cycles.

Background: AK3L1

AK3L1 encodes a member of the adenylate kinase family of enzymes. The encoded protein is localized to the mitochondrial matrix. Adenylate kinases regulate the adenine and guanine nucleotide compositions within a cell by catalyzing the reversible transfer of phosphate group among these nucleotides. Five isozymes of adenylate kinase have been identified in vertebrates. Expression of these isozymes is tissue-specific and developmentally regulated. A pseudogene for this gene has been located on chromosome 17. Three transcript variants encoding the same protein have been identified for this gene. Sequence alignment suggests that the gene defined by NM_013410, NM_203464, and NM_001005353 is located on chromosome 1.

Long Name

Adenylate kinase 4, mitochondrial

Alternate Names

AK 4, AK3, AK4

Gene Symbol

AK4

Additional AK3L1 Products

Product Documents for AK3L1 Antibody (OTI3B1) - Azide and BSA Free

Certificate of Analysis

To download a Certificate of Analysis, please enter a lot number in the search box below.

Product Specific Notices for AK3L1 Antibody (OTI3B1) - Azide and BSA Free

This product is for research use only and is not approved for use in humans or in clinical diagnosis. Primary Antibodies are guaranteed for 1 year from date of receipt.

Loading...
Loading...
Loading...
Loading...
Loading...
Loading...