Skip to main content

AG-2/AGR2 Antibody (10E2) - BSA Free

Novus Biologicals, part of Bio-Techne | Catalog # NBP2-27175

Novus Biologicals, part of Bio-Techne
Catalog #
Availability
Size / Price
Qty
Loading...
NBP2-27175
NBP2-27175SS

Key Product Details

Species Reactivity

Human, Mouse, Bovine, Canine, Equine, Primate

Applications

Immunohistochemistry, Immunohistochemistry-Paraffin, Western Blot

Label

Unconjugated

Antibody Source

Monoclonal Mouse IgG1 kappa Clone # 10E2

Format

BSA Free

Concentration

0.5 mg/ml

Product Specifications

Immunogen

A portion of amino acids 50-100 of human AGR2 was used as the immunogen for the antibody.

Reactivity Notes

Orangutan, Panda and Platypus. Immunogen sequence similarity with other species: Xenopus (82%), Chicken (83%).

Clonality

Monoclonal

Host

Mouse

Isotype

IgG1 kappa

Description

Novus Biologicals Mouse AG-2/AGR2 Antibody (10E2) - BSA Free (NBP2-27175) is a monoclonal antibody validated for use in IHC and WB. All Novus Biologicals antibodies are covered by our 100% guarantee.

Scientific Data Images for AG-2/AGR2 Antibody (10E2) - BSA Free

Western Blot: AG-2/AGR2 Antibody (10E2)BSA Free [NBP2-27175]

Western Blot: AG-2/AGR2 Antibody (10E2)BSA Free [NBP2-27175]

Western Blot: AG-2 Antibody (10E2) [NBP2-27175] - Analysis of human stomach in the A) absense and B) presence of immunizing peptide, C) mouse stomach, D) rat stomach tissue lysate, and E) HCT-116 cell lysate using AGR2 antibody at 5 ug/ml. Goat anti-mouse Ig HRP secondary antibody and PicoTect ECL substrate solution were used for this test.
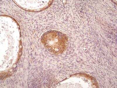
Immunohistochemistry-Paraffin: AG-2/AGR2 Antibody (10E2) - BSA Free [NBP2-27175]

Immunohistochemistry-Paraffin: AG-2/AGR2 Antibody (10E2) - BSA Free [NBP2-27175]

Immunohistochemistry-Paraffin: AG-2 Antibody (10E2) [NBP2-27175] - IHC-P detection of AGR2 protein in a human ovarian cancer section using 5 ug/ml concentration of AGR2 antibody. The representative image shows AGR2 immuno-reactivity in the developing ovarian cancer and the follicle cells of Graafian follicles. The cells of medulla region in the ovary did not show AGR2 positivity. [10X magnification]
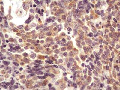
Immunohistochemistry-Paraffin: AG-2/AGR2 Antibody (10E2) - BSA Free [NBP2-27175]

Immunohistochemistry-Paraffin: AG-2/AGR2 Antibody (10E2) - BSA Free [NBP2-27175]

Immunohistochemistry-Paraffin: AG-2 Antibody (10E2) [NBP2-27175] - Formalin-fixed, paraffin-embedded human breast stained with AGR2 antibody at 5 ug/ml. Staining of formalin-fixed tissues is enhanced by boiling tissue sections in 10 mM sodium citrate buffer, pH 6.0 for 10-20 min followed by cooling at RT for 20 min.

Applications for AG-2/AGR2 Antibody (10E2) - BSA Free

Application
Recommended Usage

Immunohistochemistry

5 ug/ml

Immunohistochemistry-Paraffin

5 ug/ml

Western Blot

4-6ug/ml

Formulation, Preparation, and Storage

Purification

Protein G purified

Formulation

PBS

Format

BSA Free

Preservative

0.05% Sodium Azide

Concentration

0.5 mg/ml

Shipping

The product is shipped with polar packs. Upon receipt, store it immediately at the temperature recommended below.

Stability & Storage

Store at 4C short term. Aliquot and store at -20C long term. Avoid freeze-thaw cycles.

Background: AG-2/AGR2

hAG-2 and hAG-3 are recently discovered human homologues of the secreted Xenopus laevis proteins XAG-1/2 (AGR1 and AGR2) that are expressed in the cement gland, an ectodermal organ in the head associated with anteroposterior fate determination during early development. Although the roles of hAG-2 and hAG-3 in mammalian cells are unknown, both proteins share a high degree of protein sequence homology and lie adjacent to one another on chromosome 7p21.

Long Name

Anterior Gradient 2 Homolog

Alternate Names

AG2, AGR2, GOB-4, HPC8, PDIA17

Entrez Gene IDs

10551 (Human); 23795 (Mouse); 298961 (Rat)

Gene Symbol

AGR2

UniProt

Additional AG-2/AGR2 Products

Product Documents for AG-2/AGR2 Antibody (10E2) - BSA Free

Certificate of Analysis

To download a Certificate of Analysis, please enter a lot number in the search box below.

Product Specific Notices for AG-2/AGR2 Antibody (10E2) - BSA Free

This product is for research use only and is not approved for use in humans or in clinical diagnosis. Primary Antibodies are guaranteed for 1 year from date of receipt.

Loading...
Loading...
Loading...
Loading...