Skip to main content

ADPGK Antibody - BSA Free

Novus Biologicals, part of Bio-Techne | Catalog # NBP3-48207

Novus Biologicals, part of Bio-Techne
Catalog #
Availability
Size / Price
Qty
Loading...
NBP3-48207

Key Product Details

Species Reactivity

Human, Mouse, Rat

Applications

ELISA, Immunocytochemistry/ Immunofluorescence, Immunohistochemistry, Western Blot

Label

Unconjugated

Antibody Source

Polyclonal Rabbit IgG

Format

BSA Free

Concentration

Please see the vial label for concentration. If unlisted please contact technical services.

Product Specifications

Immunogen

ADP-dependent glucokinase. (Uniprot# Q9BRR6)

Clonality

Polyclonal

Host

Rabbit

Isotype

IgG

Theoretical MW

54 kDa.
Disclaimer note: The observed molecular weight of the protein may vary from the listed predicted molecular weight due to post translational modifications, post translation cleavages, relative charges, and other experimental factors.

Description

Novus Biologicals Rabbit ADPGK Antibody - BSA Free (NBP3-48207) is a polyclonal antibody validated for use in IHC, WB, ELISA and ICC/IF. All Novus Biologicals antibodies are covered by our 100% guarantee.

Scientific Data Images for ADPGK Antibody - BSA Free

ADPGK Antibody - BSA Free

Western Blot: ADPGK Antibody - BSA Free [NBP3-48207] -

Western Blot: ADPGK Antibody - BSA Free [NBP3-48207] - Human liver tissue were subjected to SDS PAGE followed by western blot with (ADPGK antibody) at dilution of 1:500
ADPGK Antibody - BSA Free

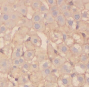
Immunohistochemistry: ADPGK Antibody - BSA Free [NBP3-48207] -

Immunohistochemistry: ADPGK Antibody - BSA Free [NBP3-48207] - Immunohistochemistry of paraffin-embedded human liver using (ADPGK antibody) at dilution of 1:50

Applications for ADPGK Antibody - BSA Free

Application
Recommended Usage

Immunocytochemistry/ Immunofluorescence

1:20-1:200

Immunohistochemistry

1:20-1:200

Western Blot

1:500-1:5000

Formulation, Preparation, and Storage

Purification

Immunogen affinity purified

Formulation

PBS, 50% Glycerol, pH (7.3)

Format

BSA Free

Preservative

0.02% Sodium Azide

Concentration

Please see the vial label for concentration. If unlisted please contact technical services.

Shipping

The product is shipped with polar packs. Upon receipt, store it immediately at the temperature recommended below.

Stability & Storage

Store at -20C. Avoid freeze-thaw cycles.

Background: ADPGK

ADPGK (EC 2.7.1.147) catalyzes the ADP-dependent phosphorylation of glucose to glucose-6-phosphate and may play a role in glycolysis, possibly during ischemic conditions (Ronimus and Morgan, 2004 [PubMed 14975750]).[supplied by OMIM]

Alternate Names

ADP-dependent glucokinase, ADP-GKrbBP-35, ATP-dependent glucokinase, DKFZp434B195, EC 2.7.1.147,2610017G09Rik, RbBP-35

Gene Symbol

ADPGK

Additional ADPGK Products

Product Documents for ADPGK Antibody - BSA Free

Certificate of Analysis

To download a Certificate of Analysis, please enter a lot number in the search box below.

Product Specific Notices for ADPGK Antibody - BSA Free

This product is for research use only and is not approved for use in humans or in clinical diagnosis. Primary Antibodies are guaranteed for 1 year from date of receipt.

Loading...
Loading...
Loading...
Loading...