Skip to main content

ADPGK Antibody - BSA Free

Novus Biologicals, part of Bio-Techne | Catalog # NBP1-91653

Novus Biologicals, part of Bio-Techne
Catalog #
Availability
Size / Price
Qty
Loading...
NBP1-91653
NBP1-91653-25ul

Key Product Details

Species Reactivity

Validated:

Human

Cited:

Human

Predicted:

Mouse (96%), Rat (96%). Backed by our 100% Guarantee.

Applications

Validated:

Immunohistochemistry, Immunohistochemistry-Paraffin, Western Blot

Cited:

IF/IHC

Label

Unconjugated

Antibody Source

Polyclonal Rabbit IgG

Format

BSA Free

Concentration

Concentrations vary lot to lot. See vial label for concentration. If unlisted please contact technical services.

Product Specifications

Immunogen

This antibody was developed against Recombinant Protein corresponding to amino acids: GPVGPKLHELLDDNVFVPPESLQEVDEFHLILEYQAGEEWGQLKAPHANRFIFSHDLSNGAMNMLEVFVSSLEEFQPDLVVLSGLHMMEGQSKELQRKRLLEVVTSISDIPTGIPVHLELASMTNRELMSSIVH

Clonality

Polyclonal

Host

Rabbit

Isotype

IgG

Theoretical MW

54 kDa.
Disclaimer note: The observed molecular weight of the protein may vary from the listed predicted molecular weight due to post translational modifications, post translation cleavages, relative charges, and other experimental factors.

Description

Novus Biologicals Rabbit ADPGK Antibody - BSA Free (NBP1-91653) is a polyclonal antibody validated for use in IHC and WB. Anti-ADPGK Antibody: Cited in 1 publication. All Novus Biologicals antibodies are covered by our 100% guarantee.

Scientific Data Images for ADPGK Antibody - BSA Free

Western Blot: ADPGK Antibody [NBP1-91653]

Western Blot: ADPGK Antibody [NBP1-91653]

Western Blot: ADPGK Antibody [NBP1-91653] - Analysis in human cell line HEK 293.
Immunohistochemistry-Paraffin: ADPGK Antibody [NBP1-91653]

Immunohistochemistry-Paraffin: ADPGK Antibody [NBP1-91653]

Immunohistochemistry-Paraffin: ADPGK Antibody [NBP1-91653] - Staining of human skeletal muscle shows no positivity in myocytes as expected.
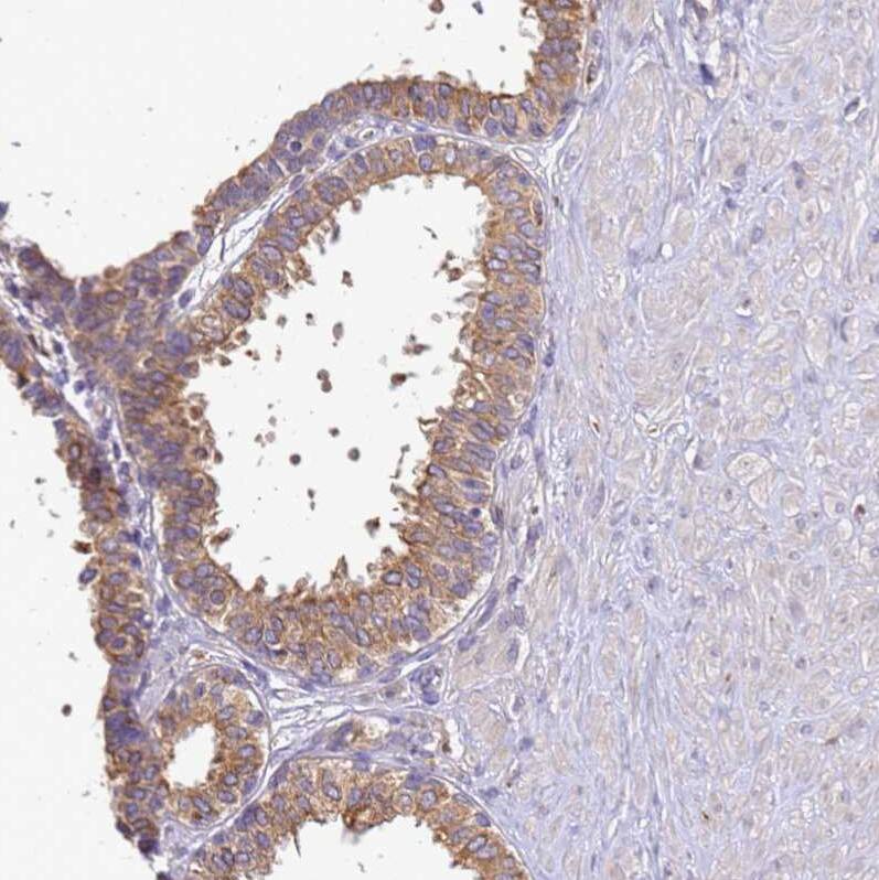
ADPGK Antibody - BSA Free Immunohistochemistry: ADPGK Antibody - BSA Free [NBP1-91653]

Immunohistochemistry: ADPGK Antibody - BSA Free [NBP1-91653]

Staining of human prostate shows moderate granular cytoplasmic positivity in glandular cells.

Applications for ADPGK Antibody - BSA Free

Application
Recommended Usage

Immunohistochemistry

1:50 - 1:200

Immunohistochemistry-Paraffin

1:50 - 1:200

Western Blot

0.04-0.4 ug/ml
Application Notes
For IHC-Paraffin, HIER pH 6 retrieval method is recommended.

Formulation, Preparation, and Storage

Purification

Affinity purified

Formulation

PBS (pH 7.2) and 40% Glycerol

Format

BSA Free

Preservative

0.02% Sodium Azide

Concentration

Concentrations vary lot to lot. See vial label for concentration. If unlisted please contact technical services.

Shipping

The product is shipped with polar packs. Upon receipt, store it immediately at the temperature recommended below.

Stability & Storage

Store at 4C short term. Aliquot and store at -20C long term. Avoid freeze-thaw cycles.

Background: ADPGK

ADPGK (EC 2.7.1.147) catalyzes the ADP-dependent phosphorylation of glucose to glucose-6-phosphate and may play a role in glycolysis, possibly during ischemic conditions (Ronimus and Morgan, 2004 [PubMed 14975750]).[supplied by OMIM]

Alternate Names

ADP-dependent glucokinase, ADP-GKrbBP-35, ATP-dependent glucokinase, DKFZp434B195, EC 2.7.1.147,2610017G09Rik, RbBP-35

Entrez Gene IDs

83440 (Human)

Gene Symbol

ADPGK

UniProt

Additional ADPGK Products

Product Documents for ADPGK Antibody - BSA Free

Certificate of Analysis

To download a Certificate of Analysis, please enter a lot number in the search box below.

Product Specific Notices for ADPGK Antibody - BSA Free

This product is for research use only and is not approved for use in humans or in clinical diagnosis. Primary Antibodies are guaranteed for 1 year from date of receipt.

Loading...
Loading...
Loading...
Loading...