Skip to main content

ADI1 Antibody (OTI5C2)

Novus Biologicals, part of Bio-Techne | Catalog # NBP2-03121

Novus Biologicals, part of Bio-Techne
Catalog #
Availability
Size / Price
Qty
Loading...
NBP2-03121

Key Product Details

Species Reactivity

Human

Applications

Flow Cytometry, Immunohistochemistry, Immunohistochemistry-Paraffin, Western Blot

Label

Unconjugated

Antibody Source

Monoclonal Mouse IgG1 Clone # OTI5C2

Concentration

0.7 mg/ml

Product Specifications

Immunogen

Full length human recombinant protein of human ADI1 (NP_060739) produced in HEK293T cell.

Clonality

Monoclonal

Host

Mouse

Isotype

IgG1

Theoretical MW

21.3 kDa.
Disclaimer note: The observed molecular weight of the protein may vary from the listed predicted molecular weight due to post translational modifications, post translation cleavages, relative charges, and other experimental factors.

Description

Novus Biologicals Mouse ADI1 Antibody (OTI5C2) (NBP2-03121) is a monoclonal antibody validated for use in IHC, WB and Flow. All Novus Biologicals antibodies are covered by our 100% guarantee.

Scientific Data Images for ADI1 Antibody (OTI5C2)

Western Blot: ADI1 Antibody (OTI5C2) [NBP2-03121]

Western Blot: ADI1 Antibody (OTI5C2) [NBP2-03121]

Western Blot: ADI1 Antibody (5C2) [NBP2-03121] - HEK293T cells were transfected with the pCMV6-ENTRY control (Left lane) or pCMV6-ENTRY ADI1 (Right lane) cDNA for 48 hrs and lysed. Equivalent amounts of cell lysates (5 ug per lane) were separated by SDS-PAGE and immunoblotted with anti-ADI1.
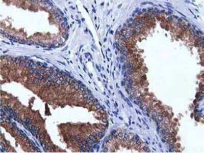
Immunohistochemistry-Paraffin: ADI1 Antibody (5C2) [NBP2-03121] Staining of paraffin-embedded Human prostate tissue using anti-ADI1 mouse monoclonal antibody.
Flow Cytometry: ADI1 Antibody (OTI5C2) [NBP2-03121]

Flow Cytometry: ADI1 Antibody (OTI5C2) [NBP2-03121]

Flow Cytometry: ADI1 Antibody (5C2) [NBP2-03121] - HEK293T cells transfected with either overexpression plasmid (Red) or empty vector control plasmid (Blue) were immunostained by anti-ADI1 antibody, and then analyzed by flow cytometry.

Applications for ADI1 Antibody (OTI5C2)

Application
Recommended Usage

Flow Cytometry

1:100

Immunohistochemistry

1:150

Immunohistochemistry-Paraffin

1:150

Western Blot

1:2000

Formulation, Preparation, and Storage

Purification

Immunogen affinity purified

Formulation

PBS (pH 7.3), 1.0% BSA and 50% Glycerol

Preservative

0.02% Sodium Azide

Concentration

0.7 mg/ml

Shipping

The product is shipped with polar packs. Upon receipt, store it immediately at the temperature recommended below.

Stability & Storage

Store at -20C. Avoid freeze-thaw cycles.

Background: ADI1

This gene encodes an enzyme that belongs to the aci-reductone dioxygenase family of metal-binding enzymes, which are involved in methionine salvage. This enzyme may regulate mRNA processing in the nucleus, and may carry out different functions depending on its localization. Related pseudogenes have been defined on chromosomes 8 and 20. [provided by RefSeq]. COMPLETENESS: complete on the 3' end.

Alternate Names

1,2-dihydroxy-3-keto-5-methylthiopentene dioxygenase, Acireductone dioxygenase (Ni(2+)-requiring), acireductone dioxygenase 1, APL1, ARDsubmergence induced protein 2, EC 1.13.11.53, FLJ10913, HMFT1638, membrane-type 1 matrix metalloproteinase cytoplasmic tail binding protein-1, Membrane-type 1 matrix metalloproteinase cytoplasmic tail-binding protein 1, MTCBP1, MTCBP-1, Ni-ARD, SIPLMT1-MMP cytoplasmic tail-binding protein-1, Submergence-induced protein 2 homolog

Entrez Gene IDs

55256 (Human)

Gene Symbol

ADI1

Additional ADI1 Products

Product Documents for ADI1 Antibody (OTI5C2)

Certificate of Analysis

To download a Certificate of Analysis, please enter a lot number in the search box below.

Product Specific Notices for ADI1 Antibody (OTI5C2)

This product is for research use only and is not approved for use in humans or in clinical diagnosis. Primary Antibodies are guaranteed for 1 year from date of receipt.

Loading...
Loading...
Loading...
Loading...
Loading...