Skip to main content

Adenylosuccinate Lyase Antibody (OTI2D10) - Azide and BSA Free

Novus Biologicals, part of Bio-Techne | Catalog # NBP2-70101

Novus Biologicals, part of Bio-Techne
Catalog #
Availability
Size / Price
Qty
Loading...
NBP2-70101

Key Product Details

Species Reactivity

Human, Mouse, Rat, Canine, Monkey, Primate

Applications

Immunohistochemistry, Immunohistochemistry-Paraffin, Western Blot, Flow Cytometry, CyTOF-ready

Label

Unconjugated

Antibody Source

Monoclonal Mouse IgG1 Clone # OTI2D10

Format

Azide and BSA Free

Concentration

LYOPH mg/ml

Product Specifications

Immunogen

Full length human recombinant protein of human ADSL (NP_000017) produced in HEK293T cell.

Reactivity Notes

Please note that this antibody is reactive to Mouse and derived from the same host, Mouse. Mouse-On-Mouse blocking reagent may be needed for IHC and ICC experiments to reduce high background signal. You can find these reagents under catalog numbers PK-2200-NB and MP-2400-NB. Please contact Technical Support if you have any questions.

Clonality

Monoclonal

Host

Mouse

Isotype

IgG1

Theoretical MW

54.7 kDa.
Disclaimer note: The observed molecular weight of the protein may vary from the listed predicted molecular weight due to post translational modifications, post translation cleavages, relative charges, and other experimental factors.

Description

Novus Biologicals Mouse Adenylosuccinate Lyase Antibody (OTI2D10) - Azide and BSA Free (NBP2-03107) is a monoclonal antibody validated for use in IHC, WB and Flow. All Novus Biologicals antibodies are covered by our 100% guarantee.

Scientific Data Images for Adenylosuccinate Lyase Antibody (OTI2D10) - Azide and BSA Free

Western Blot: Adenylosuccinate Lyase Antibody (OTI2D10)Azide and BSA Free [NBP2-70101]

Western Blot: Adenylosuccinate Lyase Antibody (OTI2D10)Azide and BSA Free [NBP2-70101]

Western Blot: Adenylosuccinate Lyase Antibody (OTI2D10) - Azide and BSA Free [NBP2-70101] - HEK293T cells were transfected with the pCMV6-ENTRY control (Left lane) or pCMV6-ENTRY Adenylosuccinate Lyase (Right lane) cDNA for 48 hrs and lysed. Equivalent amounts of cell lysates (5 ug per lane) were separated by SDS-PAGE and immunoblotted with anti
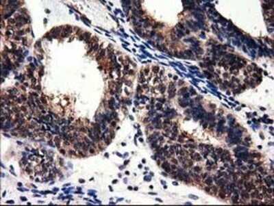
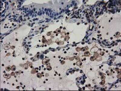
Immunohistochemistry: Adenylosuccinate Lyase Antibody (OTI2D10) - Azide and BSA Free [NBP2-70101]

Immunohistochemistry: Adenylosuccinate Lyase Antibody (OTI2D10) - Azide and BSA Free [NBP2-70101]

Immunohistochemistry: Adenylosuccinate Lyase Antibody (OTI2D10) - Azide and BSA Free [NBP2-70101] - Staining of paraffin-embedded Human liver tissue using anti-Adenylosuccinate Lyase mouse monoclonal antibody.
Flow Cytometry: Adenylosuccinate Lyase Antibody (OTI2D10) - Azide and BSA Free [NBP2-70101]

Flow Cytometry: Adenylosuccinate Lyase Antibody (OTI2D10) - Azide and BSA Free [NBP2-70101]

Flow Cytometry: Adenylosuccinate Lyase Antibody (OTI2D10) - Azide and BSA Free [NBP2-70101] - HEK293T cells transfected with either overexpression plasmid (Red) or empty vector control plasmid (Blue) were immunostaining by anti-Adenylosuccinate Lyase antibody, and then analyzed by flow cytometry.

Applications for Adenylosuccinate Lyase Antibody (OTI2D10) - Azide and BSA Free

Application
Recommended Usage

Flow Cytometry

1:100

Immunohistochemistry

1:150

Western Blot

1:500-2000

Formulation, Preparation, and Storage

Purification

Immunogen affinity purified

Reconstitution

we recommend adding 100uL distilled water to a final antibody concentration of about 1 mg/mL. To use this carrier-free antibody for conjugation experiment, we strongly recommend performing another round of desalting process.

Formulation

Lyophilized from PBS (pH 7.3) with 8% Trehalose

Format

Azide and BSA Free

Preservative

No Preservative

Concentration

LYOPH mg/ml

Shipping

The product is shipped with polar packs. Upon receipt, store it immediately at the temperature recommended below.

Stability & Storage

Store at -20C. Avoid freeze-thaw cycles.

Background: Adenylosuccinate Lyase

Adenylsuccinate lyase is involved in both de novo synthesis of purines and formation of adenosine monophosphate from inosine monophosphate. It catalyzes two reactions in AMP biosynthesis: the removal of a fumarate from succinylaminoimidazole carboxamide (SAICA) ribotide to give aminoimidazole carboxamide ribotide (AICA) and removal of fumarate from adenylosuccinate to give AMP. Adenylosuccinase deficiency results in succinylpurinemic autism, psychomotor retardation, and , in some cases, growth retardation associated with muscle wasting and epilepsy. Two transcript variants encoding different isoforms have been found for this gene. [provided by RefSeq]

Alternate Names

Adenylosuccinase, adenylosuccinate lyase, AMPS, ASASE, ASL, EC 4.3.2, EC 4.3.2.2

Gene Symbol

ADSL

Additional Adenylosuccinate Lyase Products

Product Documents for Adenylosuccinate Lyase Antibody (OTI2D10) - Azide and BSA Free

Certificate of Analysis

To download a Certificate of Analysis, please enter a lot number in the search box below.

Product Specific Notices for Adenylosuccinate Lyase Antibody (OTI2D10) - Azide and BSA Free

This product is for research use only and is not approved for use in humans or in clinical diagnosis. Primary Antibodies are guaranteed for 1 year from date of receipt.

Loading...
Loading...
Loading...
Loading...
Loading...
Loading...