Skip to main content

Adenosylhomocysteinase/AHCY Antibody - BSA Free

Novus Biologicals, part of Bio-Techne | Catalog # NBP2-20246

Novus Biologicals, part of Bio-Techne
Catalog #
Availability
Size / Price
Qty
Loading...
NBP2-20246

Key Product Details

Species Reactivity

Human

Applications

Immunohistochemistry, Immunohistochemistry-Paraffin, Western Blot, Immunocytochemistry/ Immunofluorescence

Label

Unconjugated

Antibody Source

Polyclonal Rabbit IgG

Format

BSA Free

Concentration

Concentrations vary lot to lot. See vial label for concentration. If unlisted please contact technical services.

Product Specifications

Immunogen

Recombinant protein encompassing a sequence within the center region of human Adenosylhomocysteinase/AHCY. The exact sequence is proprietary.

Reactivity Notes

Immunogen displays the following percentage of sequence identity for non-tested species: Zebrafish (86%), Xenopus tropicalis (88%).

Localization

Cytoplasm; Melanosome

Clonality

Polyclonal

Host

Rabbit

Isotype

IgG

Theoretical MW

48 kDa.
Disclaimer note: The observed molecular weight of the protein may vary from the listed predicted molecular weight due to post translational modifications, post translation cleavages, relative charges, and other experimental factors.

Description

Novus Biologicals Rabbit Adenosylhomocysteinase/AHCY Antibody - BSA Free (NBP2-20246) is a polyclonal antibody validated for use in IHC, WB and ICC/IF. All Novus Biologicals antibodies are covered by our 100% guarantee.

Scientific Data Images for Adenosylhomocysteinase/AHCY Antibody - BSA Free

Western Blot: Adenosylhomocysteinase/AHCY Antibody [NBP2-20246]

Western Blot: Adenosylhomocysteinase/AHCY Antibody [NBP2-20246]

Western Blot: Adenosylhomocysteinase/AHCY Antibody [NBP2-20246] - Sample (30 ug of whole cell lysate) A: Hep G2 7. 5% SDS PAGE gel, diluted at 1:1000.
Immunocytochemistry/ Immunofluorescence: Adenosylhomocysteinase/AHCY Antibody [NBP2-20246]

Immunocytochemistry/ Immunofluorescence: Adenosylhomocysteinase/AHCY Antibody [NBP2-20246]

Immunocytochemistry/Immunofluorescence: Adenosylhomocysteinase/AHCY Antibody [NBP2-20246] - Analysis of methanol-fixed A431, using antibody at 1:500 dilution.
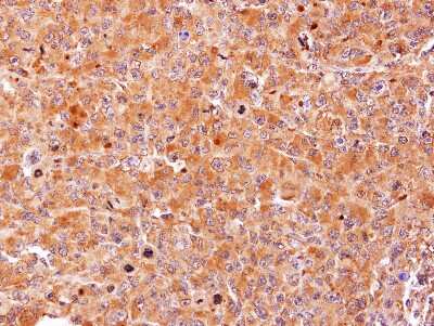
Immunohistochemistry-Paraffin: Adenosylhomocysteinase/AHCY Antibody [NBP2-20246]

Immunohistochemistry-Paraffin: Adenosylhomocysteinase/AHCY Antibody [NBP2-20246]

Immunohistochemistry-Paraffin: Adenosylhomocysteinase/AHCY Antibody [NBP2-20246] - Analysis of paraffin-embedded H1299 xenograft, using antibody at 1:100 dilution.

Applications for Adenosylhomocysteinase/AHCY Antibody - BSA Free

Application
Recommended Usage

Immunocytochemistry/ Immunofluorescence

1:100-1:1000

Immunohistochemistry

10 - 1:500

Immunohistochemistry-Paraffin

1:100-1:1000

Western Blot

1:500-1:3000

Formulation, Preparation, and Storage

Purification

Protein A purified

Formulation

0.1M Tris, 0.1M Glycine, 10% Glycerol

Format

BSA Free

Preservative

0.01% Thimerosal

Concentration

Concentrations vary lot to lot. See vial label for concentration. If unlisted please contact technical services.

Shipping

The product is shipped with polar packs. Upon receipt, store it immediately at the temperature recommended below.

Stability & Storage

Aliquot and store at -20C or -80C. Avoid freeze-thaw cycles.

Background: Adenosylhomocysteinase/AHCY

S-adenosylhomocysteine hydrolase catalyzes the reversible hydrolysis of S-adenosylhomocysteine (AdoHcy) to adenosine (Ado) and L-homocysteine (Hcy). Thus, it regulates the intracellular S-adenosylhomocysteine (SAH) concentration thought to be important for transmethylation reactions. Deficiency in this protein is one of the different causes of hypermethioninemia. S-adenosylhomocysteine hydrolase belongs to the adenosylhomocysteinase family. [provided by RefSeq]

Alternate Names

AdoHcyase, AHCY, SAHH

Gene Symbol

AHCY

UniProt

Additional Adenosylhomocysteinase/AHCY Products

Product Documents for Adenosylhomocysteinase/AHCY Antibody - BSA Free

Certificate of Analysis

To download a Certificate of Analysis, please enter a lot number in the search box below.

Product Specific Notices for Adenosylhomocysteinase/AHCY Antibody - BSA Free

This product is for research use only and is not approved for use in humans or in clinical diagnosis. Primary Antibodies are guaranteed for 1 year from date of receipt.

Loading...
Loading...
Loading...
Loading...

⚠ WARNING: This product can expose you to chemicals including mercury, which is known to the State of California to cause reproductive toxicity with developmental effects.  For more information go to www.P65Warnings.ca.gov.