Skip to main content

Adenosine A2aR Antibody

Novus Biologicals, part of Bio-Techne | Catalog # NB300-597

Novus Biologicals, part of Bio-Techne
Catalog #
Availability
Size / Price
Qty
Loading...
NB300-597
NB300-597-0.025ml

Key Product Details

Species Reactivity

Validated:

Human, Mouse, Rat, Canine

Cited:

Human

Applications

Validated:

Immunohistochemistry, Immunohistochemistry-Paraffin, Western Blot, Flow Cytometry, Immunocytochemistry/ Immunofluorescence, Simple Western, Immunoprecipitation

Cited:

Western Blot, Flow Cytometry, IF/IHC

Label

Unconjugated

Antibody Source

Polyclonal Rabbit IgG

Concentration

0.69 mg/ml

Product Specifications

Immunogen

Synthetic peptide corresponding to residues E(373) S H G D M G L P D V E L L S H E L K(391) of canine A2aAR.

Localization

Cell Membrane

Specificity

Detects adenosine receptor A2a. This does not detect other AR subtypes.

Clonality

Polyclonal

Host

Rabbit

Isotype

IgG

Theoretical MW

45 kDa.
Disclaimer note: The observed molecular weight of the protein may vary from the listed predicted molecular weight due to post translational modifications, post translation cleavages, relative charges, and other experimental factors.

Description

Novus Biologicals Rabbit Adenosine A2aR Antibody (NB300-597) is a polyclonal antibody validated for use in IHC, WB, Flow, ICC/IF, Simple Western and IP. Anti-Adenosine A2aR Antibody: Cited in 3 publications. All Novus Biologicals antibodies are covered by our 100% guarantee.

Scientific Data Images for Adenosine A2aR Antibody

Western Blot: Adenosine A2aR Antibody [NB300-597]

Western Blot: Adenosine A2aR Antibody [NB300-597]

Western Blot: Adenosine A2aR Antibody [NB300-597] - Analysis of 25 ug of human placenta (lane 1), HepG2 (lane 2), Hela (lane 3) and mouse liver (lane 4) cell lysates.
Simple Western: Adenosine A2aR Antibody [NB300-597]

Simple Western: Adenosine A2aR Antibody [NB300-597]

Simple Western: Adenosine A2aR Antibody [NB300-597] - Simple Western lane view shows a specific band for Adenosine A2a R in 0.5 mg/ml of HeLa lysate. This experiment was performed under reducing conditions using the 12-230 kDa separation system.
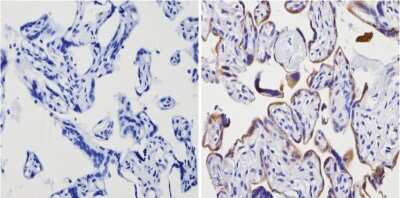
Immunohistochemistry-Paraffin: Adenosine A2aR Antibody [NB300-597]

Immunohistochemistry-Paraffin: Adenosine A2aR Antibody [NB300-597]

Immunohistochemistry-Paraffin: Adenosine A2aR Antibody [NB300-597] - Analysis showing positive staining in the cytoplasm and membrane of Human placenta tissue (right) compared with a negative control in the absence of primary antibody (left).

Applications for Adenosine A2aR Antibody

Application
Recommended Usage

Immunocytochemistry/ Immunofluorescence

1:10 - 1:100

Immunohistochemistry

1:10-1:500

Immunohistochemistry-Paraffin

1:20-1:200

Immunoprecipitation

1:10-1:500

Simple Western

1:20

Western Blot

1:1000
Application Notes
Use in Flow reported in scientific literature (PMID:34536555). WB: Detects an approx. 45 kDa protein from canine striatum representing A2aAR.

See Simple Western Antibody Database for Simple Western validation: tested in HeLa lysate (0.5 mg/ml); antibody dilution of 1:20; separated by size; detects a band at 51 kDa

Reviewed Applications

Read 1 review rated 5 using NB300-597 in the following applications:

Formulation, Preparation, and Storage

Purification

Immunogen affinity purified

Formulation

PBS with 1 mg/ml BSA

Preservative

0.05% Sodium Azide

Concentration

0.69 mg/ml

Shipping

The product is shipped with polar packs. Upon receipt, store it immediately at the temperature recommended below.

Stability & Storage

Store at -20C. Avoid freeze-thaw cycles.

Background: Adenosine A2aR

Adenosine receptors (ARs) are members of the 7-transmembrane domain G-protein-coupled receptor superfamily. Structural, biochemical and pharmacological analyses of the AR genes and protein has led to the discovery of four distinct AR subtypes (A1, A2a, A2b, A3). Activation of ARs mediates several receptor subtype-specific physiological processes that include cardiac rate, smooth muscle tone, platelet aggregation, inflammation, cell growth and death, and neurotransmission. The A2aAR is a glycoprotein that can activate adenylyl cyclase via Gs interactions. Stimulation of A2aAR and the resultant accumulation of cAMP inhibits platelet aggregation and in certain vascular beds is associated with vasodilation and drop in blood pressure. A2aAR is reported to interact with D2 dopamine receptor sites in the brain where they co-express (striatum, olfactory tubercle and nucleus accumbens). Other tissues including heart, kidney, and lung also express A2aAR.

Long Name

Adenosine A2A Receptor

Alternate Names

A2aR, Adenosine A2a R, ADORA2A, RDC8

Entrez Gene IDs

135 (Human); 25369 (Rat)

Gene Symbol

ADORA2A

Additional Adenosine A2aR Products

Product Documents for Adenosine A2aR Antibody

Certificate of Analysis

To download a Certificate of Analysis, please enter a lot number in the search box below.

Product Specific Notices for Adenosine A2aR Antibody

This product is for research use only and is not approved for use in humans or in clinical diagnosis. Primary Antibodies are guaranteed for 1 year from date of receipt.

Loading...
Loading...
Loading...
Loading...
Loading...