Skip to main content

Adenosine A2aR Antibody (7F6-G5-A2) - BSA Free

Novus Biologicals, part of Bio-Techne | Catalog # NBP1-39474

Novus Biologicals, part of Bio-Techne
Catalog #
Availability
Size / Price
Qty
Loading...
NBP1-39474
NBP1-39474SS

Key Product Details

Species Reactivity

Validated:

Human, Mouse, Rat, Porcine, Canine, Guinea Pig, Rabbit, Sheep

Cited:

Human, Mouse, Rat, Porcine, Ovine

Applications

Validated:

Immunohistochemistry, Immunohistochemistry-Paraffin, Immunohistochemistry-Frozen, Western Blot, Flow Cytometry, Flow (Intracellular), Immunocytochemistry/ Immunofluorescence, CyTOF-ready

Cited:

Immunohistochemistry-Frozen, Western Blot, Flow Cytometry, Immunocytochemistry, Immunocytochemistry/ Immunofluorescence, IF/IHC

Label

Unconjugated

Antibody Source

Monoclonal Mouse IgG2A Clone # 7F6-G5-A2

Format

BSA Free

Concentration

1.0 mg/ml

Product Specifications

Immunogen

Full length recombinant human Adenosine A2a R. [UniProt# P29274]

Epitope

Epitope mapped to SQPLPGER in the third intracellular loop (PMID 9822147).

Reactivity Notes

Sheep reactivity reported in scientific literature (PMID: 29791204). Please note that this antibody is reactive to Mouse and derived from the same host, Mouse. Mouse-On-Mouse blocking reagent may be needed for IHC and ICC experiments to reduce high background signal. You can find these reagents under catalog numbers PK-2200-NB and MP-2400-NB. Please contact Technical Support if you have any questions.

Clonality

Monoclonal

Host

Mouse

Isotype

IgG2A

Theoretical MW

43 kDa.
Disclaimer note: The observed molecular weight of the protein may vary from the listed predicted molecular weight due to post translational modifications, post translation cleavages, relative charges, and other experimental factors.

Description

Novus Biologicals Mouse Adenosine A2aR Antibody (7F6-G5-A2) - BSA Free (NBP1-39474) is a monoclonal antibody validated for use in IHC, WB, Flow and ICC/IF. Anti-Adenosine A2aR Antibody: Cited in 17 publications. All Novus Biologicals antibodies are covered by our 100% guarantee.

Scientific Data Images for Adenosine A2aR Antibody (7F6-G5-A2) - BSA Free

Western Blot: Adenosine A2aR Antibody (7F6-G5-A2)BSA Free [NBP1-39474]

Western Blot: Adenosine A2aR Antibody (7F6-G5-A2)BSA Free [NBP1-39474]

Western Blot: Adenosine A2aR Antibody (7F6-G5-A2) [NBP1-39474] - Total protein from mouse brain was separated on a 12% gel by SDS-PAGE, transferred to PVDF membrane and blocked in 5% non-fat milk in TBST. The membrane was probed with 1.0 ug/mL anti-Adenosine A2a R (7F6-G5-A2) in 1% milk, and detected with an anti-mouse HRP secondary antibody using chemiluminescence.
Immunocytochemistry/ Immunofluorescence: Adenosine A2aR Antibody (7F6-G5-A2) - BSA Free [NBP1-39474]

Immunocytochemistry/ Immunofluorescence: Adenosine A2aR Antibody (7F6-G5-A2) - BSA Free [NBP1-39474]

Immunocytochemistry/Immunofluorescence: Adenosine A2aR Antibody (7F6-G5-A2) [NBP1-39474] - HeLa cells were fixed for 10 minutes using 10% formalin and then permeabilized for 5 minutes using 1X TBS + 0.5% Triton X-100. The cells were incubated with anti-Adenosine A2a R (7F6-G5-A2), NBP1-39474, at a 1:50 dilution overnight at 4C and detected with an anti-mouse Dylight 488 (Green) at a 1:500 dilution. Actin was detected with Phalloidin 568 (Red) at a 1:200 dilution. Nuclei were counterstained with DAPI (Blue). Cells were imaged using a 40X objective.
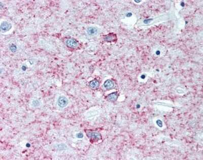
Immunohistochemistry-Paraffin: Adenosine A2aR Antibody (7F6-G5-A2) - BSA Free [NBP1-39474]

Immunohistochemistry-Paraffin: Adenosine A2aR Antibody (7F6-G5-A2) - BSA Free [NBP1-39474]

Immunohistochemistry-Paraffin: Adenosine A2aR Antibody (7F6-G5-A2) [NBP1-39474] - Staining of human brain (putamen), antibody at 5 ug/mL.

Applications for Adenosine A2aR Antibody (7F6-G5-A2) - BSA Free

Application
Recommended Usage

Flow (Intracellular)

1 - 5 ug/ml

Flow Cytometry

1-5 ug/mL

Immunocytochemistry/ Immunofluorescence

1:50-1:100. Use reported in scientific literature (PMID 25836920)

Immunohistochemistry

1 -5 ug/ml

Immunohistochemistry-Frozen

reported in scientific literature (PMID 9822147)

Immunohistochemistry-Paraffin

1 -5 ug/ml

Western Blot

1:1000

Formulation, Preparation, and Storage

Purification

Protein G purified

Formulation

PBS

Format

BSA Free

Preservative

0.02% Sodium Azide

Concentration

1.0 mg/ml

Shipping

The product is shipped with polar packs. Upon receipt, store it immediately at the temperature recommended below.

Stability & Storage

Store at 4C short term. Aliquot and store at -20C long term. Avoid freeze-thaw cycles.

Background: Adenosine A2aR

This gene encodes a protein which is one of several receptor subtypes for adenosine. The activity of the encoded protein, a G-protein coupled receptor family member, is mediated by G proteins which activate adenylyl cyclase. The encoded protein is abundant in basal ganglia, vasculature and platelets and it is a major target of caffeine.

Long Name

Adenosine A2A Receptor

Alternate Names

A2aR, Adenosine A2a R, ADORA2A, RDC8

Entrez Gene IDs

135 (Human); 11540 (Mouse); 25369 (Rat)

Gene Symbol

ADORA2A

Additional Adenosine A2aR Products

Product Documents for Adenosine A2aR Antibody (7F6-G5-A2) - BSA Free

Certificate of Analysis

To download a Certificate of Analysis, please enter a lot number in the search box below.

Product Specific Notices for Adenosine A2aR Antibody (7F6-G5-A2) - BSA Free

This product is for research use only and is not approved for use in humans or in clinical diagnosis. Primary Antibodies are guaranteed for 1 year from date of receipt.

Loading...
Loading...
Loading...
Loading...
Loading...
Loading...