Activin RIA/ALK-2/Activin Receptor Type 1 Antibody (2E2C11) - BSA Free
Novus Biologicals, part of Bio-Techne | Catalog # NBP2-61799
Key Product Details
Species Reactivity
Human
Applications
Immunohistochemistry, Immunohistochemistry-Paraffin, Western Blot, ELISA, Flow Cytometry, Immunocytochemistry/ Immunofluorescence
Label
Unconjugated
Antibody Source
Monoclonal Mouse IgG1 Clone # 2E2C11
Format
BSA Free
Concentration
1 mg/ml
Product Specifications
Immunogen
Purified recombinant fragment of human Activin RIA/ALK-2/Activin Receptor Type 1 (AA: 21-120) expressed in E. Coli.
Clonality
Monoclonal
Host
Mouse
Isotype
IgG1
Theoretical MW
57.2 kDa.
Disclaimer note: The observed molecular weight of the protein may vary from the listed predicted molecular weight due to post translational modifications, post translation cleavages, relative charges, and other experimental factors.
Disclaimer note: The observed molecular weight of the protein may vary from the listed predicted molecular weight due to post translational modifications, post translation cleavages, relative charges, and other experimental factors.
Description
Novus Biologicals Mouse Activin RIA/ALK-2/Activin Receptor Type 1 Antibody (2E2C11) - BSA Free (NBP2-61799) is a monoclonal antibody validated for use in IHC, WB, ELISA, Flow and ICC/IF. All Novus Biologicals antibodies are covered by our 100% guarantee.
Scientific Data Images
Western Blot: Activin RIA/ALK-2/Activin Receptor Type 1 Antibody (2E2C11)BSA Free [NBP2-61799]
Western Blot: Activin RIA/ALK-2/Activin Receptor Type 1 Antibody (2E2C11) [NBP2-61799] - Analysis using ACVR1 mAb against human ACVR1 (AA: 21-120) recombinant protein. (Expected MW is 37.1 kDa)Immunocytochemistry/ Immunofluorescence: Activin RIA/ALK-2/Activin Receptor Type 1 Antibody (2E2C11) - BSA Free [NBP2-61799]
Immunocytochemistry/Immunofluorescence: Activin RIA/ALK-2/Activin Receptor Type 1 Antibody (2E2C11) [NBP2-61799] - Analysis of Hela cells using ACVR1 mouse mAb (green). Blue: DRAQ5 fluorescent DNA dye. Red: Actin filaments have been labeled with Alexa Fluor- 555 phalloidin. Goat anti-Mouse IgG (H+L) DyLight 488 Secondary antibody was used.Immunohistochemistry-Paraffin: Activin RIA/ALK-2/Activin Receptor Type 1 Antibody (2E2C11) - BSA Free [NBP2-61799]
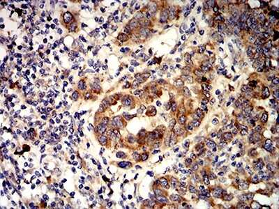
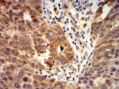
Immunohistochemistry-Paraffin: Activin RIA/ALK-2/Activin Receptor Type 1 Antibody (2E2C11) [NBP2-61799] - Analysis of endometrial cancer tissues using ACVR1 mouse mAb with DAB staining.Applications
Application
Recommended Usage
ELISA
1:10000
Flow Cytometry
1:200-1:400
Immunocytochemistry/ Immunofluorescence
1:10-1:500
Immunohistochemistry
1:200-1:1000
Immunohistochemistry-Paraffin
1:200-1:1000
Western Blot
1:500-1:2000
Formulation, Preparation, and Storage
Purification
Protein G purified
Formulation
PBS
Format
BSA Free
Preservative
0.05% Sodium Azide
Concentration
1 mg/ml
Shipping
The product is shipped with polar packs. Upon receipt, store it immediately at the temperature recommended below.
Stability & Storage
Store at 4C short term. Aliquot and store at -20C long term. Avoid freeze-thaw cycles.
Background: Activin RIA/ALK-2
Long Name
Activin Receptor IA
Alternate Names
ActivinRIA, ACVR1, ALK-2, ALK2
Gene Symbol
ACVR1
Additional Activin RIA/ALK-2 Products
Product Specific Notices
This product is for research use only and is not approved for use in humans or in clinical diagnosis. Primary Antibodies are guaranteed for 1 year from date of receipt.
Loading...
Loading...
Loading...
Loading...
Loading...