Skip to main content

Acetyl CoA synthetase Antibody (OTI3H4)

Novus Biologicals, part of Bio-Techne | Catalog # NBP2-01269

Novus Biologicals, part of Bio-Techne
Catalog #
Availability
Size / Price
Qty
Loading...
NBP2-01269

Key Product Details

Species Reactivity

Human, Mouse, Rat

Applications

Immunohistochemistry, Immunohistochemistry-Paraffin, Western Blot, Flow Cytometry

Label

Unconjugated

Antibody Source

Monoclonal Mouse IgG2A Clone # OTI3H4

Concentration

1 mg/ml

Product Specifications

Immunogen

Full length human recombinant protein of human ACSS2(NP_061147) produced in HEK293T cell.

Reactivity Notes

Please note that this antibody is reactive to Mouse and derived from the same host, Mouse. Mouse-On-Mouse blocking reagent may be needed for IHC and ICC experiments to reduce high background signal. You can find these reagents under catalog numbers PK-2200-NB and MP-2400-NB. Please contact Technical Support if you have any questions.

Clonality

Monoclonal

Host

Mouse

Isotype

IgG2A

Theoretical MW

78.4 kDa.
Disclaimer note: The observed molecular weight of the protein may vary from the listed predicted molecular weight due to post translational modifications, post translation cleavages, relative charges, and other experimental factors.

Description

Novus Biologicals Mouse Acetyl CoA synthetase Antibody (OTI3H4) (NBP2-01269) is a monoclonal antibody validated for use in IHC, WB and Flow. Anti-Acetyl CoA synthetase Antibody: Cited in 1 publication. All Novus Biologicals antibodies are covered by our 100% guarantee.

Scientific Data Images for Acetyl CoA synthetase Antibody (OTI3H4)

Western Blot: Acetyl CoA synthetase Antibody (OTI3H4) [NBP2-01269]

Western Blot: Acetyl CoA synthetase Antibody (OTI3H4) [NBP2-01269]

Western Blot: Acetyl CoA synthetase Antibody (3H4) [NBP2-01269] - HEK293T cells were transfected with the pCMV6-ENTRY control (Left lane) or pCMV6-ENTRY Acetyl CoA synthetase (Right lane) cDNA for 48 hrs and lysed. Equivalent amounts of cell lysates (5 ug per lane) were separated by SDS-PAGE and immunoblotted with anti-Acetyl CoA synthetase.
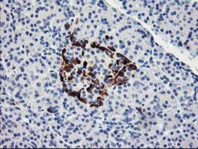
Immunohistochemistry-Paraffin: Acetyl CoA synthetase Antibody (3H4) [NBP2-01269] Staining of paraffin-embedded Human pancreas tissue using anti-Acetyl CoA synthetase mouse monoclonal antibody.
Flow Cytometry: Acetyl CoA synthetase Antibody (OTI3H4) [NBP2-01269]

Flow Cytometry: Acetyl CoA synthetase Antibody (OTI3H4) [NBP2-01269]

Flow Cytometry: Acetyl CoA synthetase Antibody (3H4) [NBP2-01269] - HEK293T cells transfected with either overexpression plasmid (Red) or empty vector control plasmid (Blue) were immunostained by anti-Acetyl CoA synthetase antibody, and then analyzed by flow cytometry.

Applications for Acetyl CoA synthetase Antibody (OTI3H4)

Application
Recommended Usage

Flow Cytometry

1:100

Immunohistochemistry

1:150

Immunohistochemistry-Paraffin

1:150

Western Blot

1:2000

Formulation, Preparation, and Storage

Purification

Immunogen affinity purified

Formulation

PBS (pH 7.3), 1.0% BSA and 50% Glycerol

Preservative

0.02% Sodium Azide

Concentration

1 mg/ml

Shipping

The product is shipped with polar packs. Upon receipt, store it immediately at the temperature recommended below.

Stability & Storage

Store at -20C. Avoid freeze-thaw cycles.

Background: Acetyl CoA synthetase

This gene encodes a cytosolic enzyme that catalyzes the activation of acetate for use in lipid synthesis and energy generation. The protein acts as a monomer and produces acetyl-CoA from acetate in a reaction that requires ATP. Expression of this gene is regulated by sterol regulatory element-binding proteins, transcription factors that activate genes required for the synthesis of cholesterol and unsaturated fatty acids. Alternative splicing results in multiple transcript variants. [provided by RefSeq].

Alternate Names

ACAS2, AceCS, acetate thiokinase, acetate-CoA ligase, Acetate--CoA ligase, Acetyl-CoA synthetase, acetyl-Coenzyme A synthetase 2 (ADP forming), acetyl-coenzyme A synthetase, cytoplasmic, ACSA, ACSACECS, Acyl-activating enzyme, acyl-CoA synthetase short-chain family member 2EC 6.2.1.1, cytoplasmic acetyl-coenzyme A synthetase, dJ1161H23.1, DKFZp762G026, EC 6.2.1

Entrez Gene IDs

55902 (Human)

Gene Symbol

ACSS2

Additional Acetyl CoA synthetase Products

Product Documents for Acetyl CoA synthetase Antibody (OTI3H4)

Certificate of Analysis

To download a Certificate of Analysis, please enter a lot number in the search box below.

Product Specific Notices for Acetyl CoA synthetase Antibody (OTI3H4)

This product is for research use only and is not approved for use in humans or in clinical diagnosis. Primary Antibodies are guaranteed for 1 year from date of receipt.

Loading...
Loading...
Loading...
Loading...
Loading...