15-PGDH/HPGD Antibody (OTI2C10) - Azide and BSA Free
Novus Biologicals, part of Bio-Techne | Catalog # NBP2-70933
Conjugate
Catalog #
Key Product Details
Species Reactivity
Human, Mouse, Rat
Applications
Immunohistochemistry, Immunohistochemistry-Paraffin, Western Blot, Flow Cytometry, CyTOF-ready
Label
Unconjugated
Antibody Source
Monoclonal Mouse IgG1 Clone # OTI2C10
Format
Azide and BSA Free
Concentration
LYOPH mg/ml
Product Specifications
Immunogen
Full length human recombinant protein of human HPGD (NP_000851) produced in HEK293T cell.
Reactivity Notes
Please note that this antibody is reactive to Mouse and derived from the same host, Mouse. Mouse-On-Mouse blocking reagent may be needed for IHC and ICC experiments to reduce high background signal. You can find these reagents under catalog numbers PK-2200-NB and MP-2400-NB. Please contact Technical Support if you have any questions.
Clonality
Monoclonal
Host
Mouse
Isotype
IgG1
Theoretical MW
28.8 kDa.
Disclaimer note: The observed molecular weight of the protein may vary from the listed predicted molecular weight due to post translational modifications, post translation cleavages, relative charges, and other experimental factors.
Disclaimer note: The observed molecular weight of the protein may vary from the listed predicted molecular weight due to post translational modifications, post translation cleavages, relative charges, and other experimental factors.
Description
Novus Biologicals Mouse 15-PGDH/HPGD Antibody (OTI2C10) - Azide and BSA Free (NBP2-00490) is a monoclonal antibody validated for use in IHC, WB and Flow. All Novus Biologicals antibodies are covered by our 100% guarantee.
Scientific Data Images for 15-PGDH/HPGD Antibody (OTI2C10) - Azide and BSA Free
Western Blot: 15-PGDH/HPGD Antibody (OTI2C10)Azide and BSA Free [NBP2-70933]
Western Blot: 15-PGDH/HPGD Antibody (OTI2C10) - Azide and BSA Free [NBP2-70933] - HEK293T cells were transfected with the pCMV6-ENTRY control (Left lane) or pCMV6-ENTRY 15-PGDH (Right lane) cDNA for 48 hrs and lysed. Equivalent amounts of cell lysates (5 ug per lane) were separated by SDS-PAGE and immunoblotted with anti-15-PGDH.Immunohistochemistry: 15-PGDH/HPGD Antibody (OTI2C10) - Azide and BSA Free [NBP2-70933]
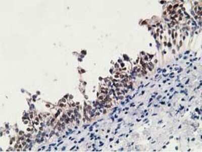
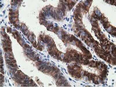
Immunohistochemistry: 15-PGDH/HPGD Antibody (OTI2C10) - Azide and BSA Free [NBP2-70933] - Staining of Human bladder tissue using anti-15-PGDH mouse monoclonal antibody.Flow Cytometry: 15-PGDH/HPGD Antibody (OTI2C10) - Azide and BSA Free [NBP2-70933]
Flow Cytometry: 15-PGDH/HPGD Antibody (OTI2C10) - Azide and BSA Free [NBP2-70933] - HEK293T cells transfected with either overexpression plasmid (Red) or empty vector control plasmid (Blue) were immunostaining by anti-15-PGDH antibody, and then analyzed by flow cytometry.Applications for 15-PGDH/HPGD Antibody (OTI2C10) - Azide and BSA Free
Application
Recommended Usage
Flow Cytometry
1:100
Immunohistochemistry
1:150
Western Blot
1:2000
Formulation, Preparation, and Storage
Purification
Immunogen affinity purified
Reconstitution
we recommend adding 100uL distilled water to a final antibody concentration of about 1 mg/mL. To use this carrier-free antibody for conjugation experiment, we strongly recommend performing another round of desalting process.
Formulation
Lyophilized from PBS (pH 7.3) with 8% Trehalose
Format
Azide and BSA Free
Preservative
No Preservative
Concentration
LYOPH mg/ml
Shipping
The product is shipped with polar packs. Upon receipt, store it immediately at the temperature recommended below.
Stability & Storage
Store at -20C. Avoid freeze-thaw cycles.
Background: 15-PGDH/HPGD
15-PGDH is a novel tumor suppressor in the COX-2 pathway. 15-PGDH is found in many normal tissues and appears to be down-regulated in colorectal and lung carcinoma tissue.
Long Name
15-Hydroxyprostaglandin Dehydrogenase
Alternate Names
15PGDH, HPGD, PGDH1, SDR36C1
Gene Symbol
HPGD
Additional 15-PGDH/HPGD Products
Product Documents for 15-PGDH/HPGD Antibody (OTI2C10) - Azide and BSA Free
Product Specific Notices for 15-PGDH/HPGD Antibody (OTI2C10) - Azide and BSA Free
This product is for research use only and is not approved for use in humans or in clinical diagnosis. Primary Antibodies are guaranteed for 1 year from date of receipt.
Loading...
Loading...
Loading...
Loading...
Loading...
Loading...